验证数据展示
产品信息
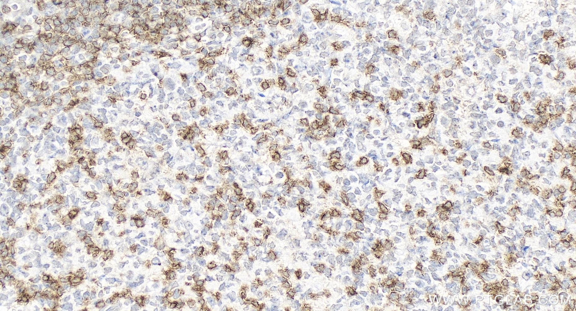
65613-1-PBS targets CD45RO in IHC, FC applications and shows reactivity with human samples.
| 经测试应用 | IHC, FC Application Description |
| 经测试反应性 | human |
| 免疫原 |
IL-2 dependent T cell line, CA1 种属同源性预测 |
| 宿主/亚型 | Mouse / IgG2a |
| 抗体类别 | Recombinant |
| 产品类型 | Antibody |
| 全称 | protein tyrosine phosphatase, receptor type, C |
| 别名 | CD45, EC:3.1.3.48, GP180, L CA, LCA |
| GenBank蛋白编号 | BC014239 |
| 基因名称 | CD45 |
| Gene ID (NCBI) | 5788 |
| ENSEMBL Gene ID | ENSG00000081237 |
| RRID | AB_3670360 |
| 偶联类型 | Unconjugated |
| 形式 | Liquid |
| 纯化方式 | Protein A purification |
| UNIPROT ID | P08575 |
| 储存缓冲液 | PBS only, pH 7.3. |
| 储存条件 | Store at -80°C. The product is shipped with ice packs. Upon receipt, store it immediately at -80°C |
背景介绍
CD45, also known as protein tyrosine phosphatase, receptor type C, is a type I transmembrane protein expressed on the surface of all haematopoietic cells with the exception of erythrocytes and platelets (PMID: 3489673; 28615666). CD45 is a pan-haematopoietic cell marker and has been shown to be essential for T- and B-cell activation and signalling (PMID: 9429890; 16378097). CD45 exists as multiple isoforms due to alternative splicing of three exons (4, 5, and 6, designated A, B, and C) in the extracellular domain (PMID: 12414720). CD45RO is the shortest CD45 isoform (lacking all three exons) and is expressed by activated and memory T cells, thymocytes, some B cells, and weakly on granulocytes and macrophage (PMID: 27100180; 12414720).



