验证数据展示
经过测试的应用
| Positive WB detected in | mouse spleen tissue, rat spleen tissue |
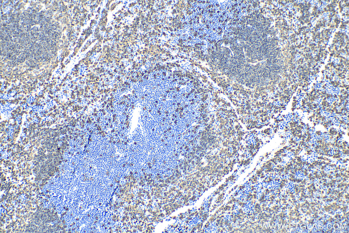
| Positive IHC detected in | mouse spleen tissue, rat spleen tissue Note: suggested antigen retrieval with TE buffer pH 9.0; (*) Alternatively, antigen retrieval may be performed with citrate buffer pH 6.0 |
| Positive IF-P detected in | mouse spleen tissue, mouse colon tissue, rat spleen tissue |
推荐稀释比
| 应用 | 推荐稀释比 |
|---|---|
| Western Blot (WB) | WB : 1:5000-1:50000 |
| Immunohistochemistry (IHC) | IHC : 1:500-1:2000 |
| Immunofluorescence (IF)-P | IF-P : 1:200-1:800 |
| It is recommended that this reagent should be titrated in each testing system to obtain optimal results. | |
| Sample-dependent, Check data in validation data gallery. | |
产品信息
31909-1-AP targets CD20 in WB, IHC, IF-P, ELISA applications and shows reactivity with mouse, rat samples.
| 经测试应用 | WB, IHC, IF-P, ELISA Application Description |
| 经测试反应性 | mouse, rat |
| 免疫原 |
CatNo: Ag36918 Product name: Recombinant mouse Ms4a1 protein Source: e coli.-derived, PGEX-4T Tag: GST Domain: 204-291 aa of NM_007641 Sequence: GIVENEWKRMCTRSKSNVVLLSAGEKNEQTIKMKEEIIELSGVSSQPKNEEEIEIIPVQEEEEEEAEINFPAPPQEQESLPVENEIAP* 种属同源性预测 |
| 宿主/亚型 | Rabbit / IgG |
| 抗体类别 | Polyclonal |
| 产品类型 | Antibody |
| 全称 | membrane-spanning 4-domains, subfamily A, member 1 |
| 别名 | Membrane-spanning 4-domains subfamily A member 1, Lymphocyte antigen 44, B-lymphocyte antigen CD20, B-cell differentiation antigen Ly-44 |
| 计算分子量 | 32 kDa |
| 观测分子量 | 35 kDa |
| GenBank蛋白编号 | NM_007641 |
| 基因名称 | Ms4a1 |
| Gene ID (NCBI) | 12482 |
| RRID | AB_3742492 |
| 偶联类型 | Unconjugated |
| 形式 | Liquid |
| 纯化方式 | Antigen affinity Purification |
| UNIPROT ID | P19437 |
| 储存缓冲液 | PBS with 0.02% sodium azide and 50% glycerol, pH 7.3. |
| 储存条件 | Store at -20°C. Stable for one year after shipment. Aliquoting is unnecessary for -20oC storage. |
背景介绍
CD20 is a 33-37 kDa transmembrane phosphoprotein. CD20 is a B-lymphocyte surface molecule that is widely expressed during B-cell ontogeny, from early pre-B-cell developmental stages until final differentiation into plasma cells. CD20 functions as a calcium-permeable cation channel. It is involved in the regulation of B-cell activation and proliferation. CD20 serves as a useful target for antibody-mediated therapeutic depletion of B-cells.
实验方案
| Product Specific Protocols | |
|---|---|
| IF protocol for CD20 antibody 31909-1-AP | Download protocol |
| IHC protocol for CD20 antibody 31909-1-AP | Download protocol |
| WB protocol for CD20 antibody 31909-1-AP | Download protocol |
| Standard Protocols | |
|---|---|
| Click here to view our Standard Protocols |










