验证数据展示
经过测试的应用
| Positive WB detected in | Jurkat cells, HeLa cells, HL-60 cells |
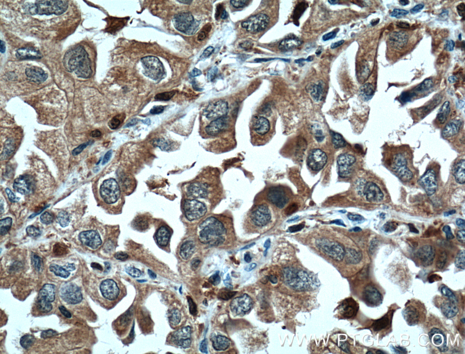
| Positive IHC detected in | human lung cancer tissue Note: suggested antigen retrieval with TE buffer pH 9.0; (*) Alternatively, antigen retrieval may be performed with citrate buffer pH 6.0 |
| Positive IF/ICC detected in | HeLa cells |
推荐稀释比
| 应用 | 推荐稀释比 |
|---|---|
| Western Blot (WB) | WB : 1:500-1:2000 |
| Immunohistochemistry (IHC) | IHC : 1:50-1:500 |
| Immunofluorescence (IF)/ICC | IF/ICC : 1:50-1:500 |
| It is recommended that this reagent should be titrated in each testing system to obtain optimal results. | |
| Sample-dependent, Check data in validation data gallery. | |
产品信息
66277-1-Ig targets CAPG in WB, IHC, IF/ICC, ELISA applications and shows reactivity with human samples.
| 经测试应用 | WB, IHC, IF/ICC, ELISA Application Description |
| 经测试反应性 | human |
| 免疫原 |
CatNo: Ag24676 Product name: Recombinant human CAPG protein Source: e coli.-derived, PET28a Tag: 6*His Domain: 62-348 aa of BC000728 Sequence: HLWIGQQSSRDEQGACAVLAVHLNTLLGERPVQHREVQGNESDLFMSYFPRGLKYQEGGVESAFHKTSTGAPAAIKKLYQVKGKKNIRATERALNWDSFNTGDCFILDLGQNIFAWCGGKSNILERNKARDLALAIRDSERQGKAQVEIVTDGEEPAEMIQVLGPKPALKEGNPEEDLTADKANAQAAALYKVSDATGQMNLTKVADSSPFALELLISDDCFVLDNGLCGKIYIWKGRKANEKERQAALQVAEGFISRMQYAPNTQVEILPQGRESPIFKQFFKDWK 种属同源性预测 |
| 宿主/亚型 | Mouse / IgG1 |
| 抗体类别 | Monoclonal |
| 产品类型 | Antibody |
| 全称 | capping protein (actin filament), gelsolin-like |
| 别名 | Actin regulatory protein CAP G, AFCP, CAPG, Macrophage capping protein, MCP |
| 计算分子量 | 39 kDa |
| 观测分子量 | 39-40 kDa |
| GenBank蛋白编号 | BC000728 |
| 基因名称 | CAPG |
| Gene ID (NCBI) | 822 |
| RRID | AB_2881660 |
| 偶联类型 | Unconjugated |
| 形式 | Liquid |
| 纯化方式 | Protein G purification |
| UNIPROT ID | P40121 |
| 储存缓冲液 | PBS with 0.02% sodium azide and 50% glycerol, pH 7.3. |
| 储存条件 | Store at -20°C. Stable for one year after shipment. Aliquoting is unnecessary for -20oC storage. |
背景介绍
CapG (gelsolin-like actin-capping protein) is a member of the gelsolin superfamily proteins, which regulates actin filament length by capping or severing filaments. Studies have shown a role for CapG in regulating cell motility. The expression of CapG is upregulated under hypoxia and in turn increases the motility of cells. Recently it has been reported that the overexpression of CapG is associated with the progression of lung adenocarcinoma as well as lyphatic invasion status of cholangiocarcinoma, which may be used for prognosis of these tumors.(21908955,22155129)
实验方案
| Product Specific Protocols | |
|---|---|
| IF protocol for CAPG antibody 66277-1-Ig | Download protocol |
| IHC protocol for CAPG antibody 66277-1-Ig | Download protocol |
| WB protocol for CAPG antibody 66277-1-Ig | Download protocol |
| Standard Protocols | |
|---|---|
| Click here to view our Standard Protocols |






