验证数据展示
经过测试的应用
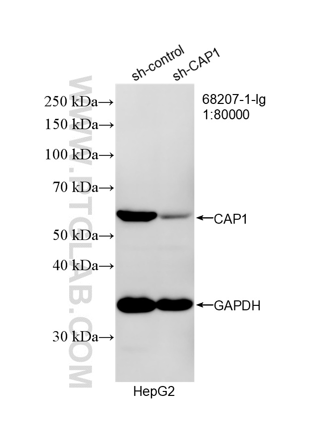
| Positive WB detected in | mouse testis tissue, HepG2 cells, human placenta tissue, pig lung tissue, mouse lung tissue, rat lung tissue, rabbit lung tissue |
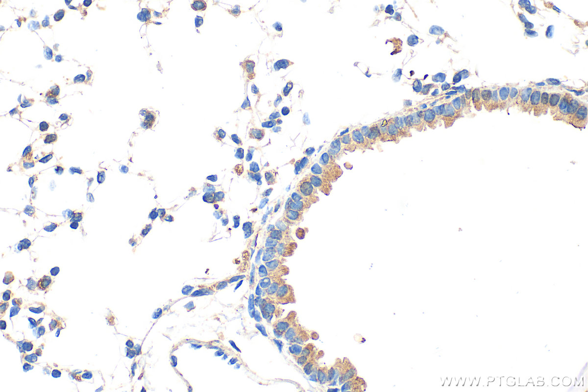
| Positive IHC detected in | human colon cancer tissue, mouse lung tissue, mouse testis tissue Note: suggested antigen retrieval with TE buffer pH 9.0; (*) Alternatively, antigen retrieval may be performed with citrate buffer pH 6.0 |
| Positive IF/ICC detected in | HepG2 cells, HeLa cells |
推荐稀释比
| 应用 | 推荐稀释比 |
|---|---|
| Western Blot (WB) | WB : 1:5000-1:50000 |
| Immunohistochemistry (IHC) | IHC : 1:1000-1:4000 |
| Immunofluorescence (IF)/ICC | IF/ICC : 1:400-1:1600 |
| It is recommended that this reagent should be titrated in each testing system to obtain optimal results. | |
| Sample-dependent, Check data in validation data gallery. | |
发表文章中的应用
| WB | See 1 publications below |
| IF | See 1 publications below |
产品信息
68207-1-Ig targets CAP1 in WB, IHC, IF/ICC, ELISA applications and shows reactivity with human, mouse, rat, pig, rabbit samples.
| 经测试应用 | WB, IHC, IF/ICC, ELISA Application Description |
| 文献引用应用 | WB, IF |
| 经测试反应性 | human, mouse, rat, pig, rabbit |
| 文献引用反应性 | human |
| 免疫原 |
CatNo: Ag8876 Product name: Recombinant human CAP1 protein Source: e coli.-derived, PET28a Tag: 6*His Domain: 125-475 aa of BC013963 Sequence: SKLFNHLSAVSESIQALGWVAMAPKPGPYVKEMNDAAMFYTNRVLKEYKDVDKKHVDWVKAYLSIWTELQAYIKEFHTTGLAWSKTGPVAKELSGLPSGPSAGSGPPPPPPGPPPPPVSTSSGSDESASRSALFAQINQGESITHALKHVSDDMKTHKNPALKAQSGPVRSGPKPFSAPKPQTSPSPKRATKKEPAVLELEGKKWRVENQENVSNLVIEDTELKQVAYIYKCVNTTLQIKGKINSITVDNCKKLGLVFDDVVGIVEIINSKDVKVQVMGKVPTISINKTDGCHAYLSKNSLDCEIVSAKSSEMNVLIPTEGGDFNEFPVPEQFKTLWNGQKLVTTVTEIAG 种属同源性预测 |
| 宿主/亚型 | Mouse / IgG1 |
| 抗体类别 | Monoclonal |
| 产品类型 | Antibody |
| 全称 | CAP, adenylate cyclase-associated protein 1 (yeast) |
| 别名 | 2H3A10, Adenylyl cyclase associated protein 1, Adenylyl cyclase-associated protein 1, CAP 1, CAP1 PEN |
| 计算分子量 | 475 aa, 52 kDa |
| 观测分子量 | 50-55 kDa |
| GenBank蛋白编号 | BC013963 |
| 基因名称 | CAP1 |
| Gene ID (NCBI) | 10487 |
| RRID | AB_2935295 |
| 偶联类型 | Unconjugated |
| 形式 | Liquid |
| 纯化方式 | Protein G purification |
| UNIPROT ID | Q01518 |
| 储存缓冲液 | PBS with 0.02% sodium azide and 50% glycerol, pH 7.3. |
| 储存条件 | Store at -20°C. Stable for one year after shipment. Aliquoting is unnecessary for -20oC storage. |
背景介绍
CAP1, also known as CAP, CAP1-PEN, belongs to the CAP family and contains 1 C-CAP/cofactor C-like domain. CAP1 binds to monomeric actin and regulates the actin cytoskeleton to control cell size, adhesion, and migration (PMID: 23737525). CAP1 also functions as a receptor for inflammatory cytokine resistin (PMID: 24606903). CAP1 is an abundant and ubiquitously expressed protein. Western blot analysis detected CAP1 at an apparent molecular mass of 50-55 kDa.
实验方案
| Product Specific Protocols | |
|---|---|
| IF protocol for CAP1 antibody 68207-1-Ig | Download protocol |
| IHC protocol for CAP1 antibody 68207-1-Ig | Download protocol |
| WB protocol for CAP1 antibody 68207-1-Ig | Download protocol |
| Standard Protocols | |
|---|---|
| Click here to view our Standard Protocols |
发表文章
| Species | Application | Title |
|---|---|---|
Int Immunopharmacol Single-cell RNA sequencing reveals cell-cell communication and potential biomarker in sepsis and septic shock patients | ||
Acta Neuropathol Enhanced microglial dynamics and a paucity of tau seeding in the amyloid plaque microenvironment contribute to cognitive resilience in Alzheimer's disease | ||









