验证数据展示
经过测试的应用
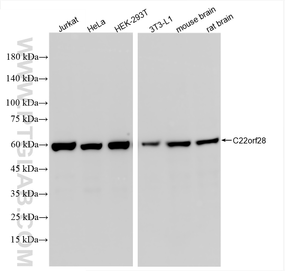
| Positive WB detected in | Jurkat cells, HeLa cells, HEK-293T cells, 3T3-L1 cells, mouse brain tissue, rat brain tissue |
| Positive IF/ICC detected in | Jurkat cells |
推荐稀释比
| 应用 | 推荐稀释比 |
|---|---|
| Western Blot (WB) | WB : 1:5000-1:50000 |
| Immunofluorescence (IF)/ICC | IF/ICC : 1:250-1:1000 |
| It is recommended that this reagent should be titrated in each testing system to obtain optimal results. | |
| Sample-dependent, Check data in validation data gallery. | |
产品信息
86258-4-RR targets RTCB in WB, IF/ICC, ELISA applications and shows reactivity with human, mouse, rat samples.
| 经测试应用 | WB, IF/ICC, ELISA Application Description |
| 经测试反应性 | human, mouse, rat |
| 免疫原 |
CatNo: Ag13836 Product name: Recombinant human C22orf28 protein Source: e coli.-derived, PGEX-4T Tag: GST Domain: 159-505 aa of BC000151 Sequence: GVIPMNAKDLEEALEMGVDWSLREGYAWAEDKEHCEEYGRMLQADPNKVSARAKKRGLPQLGTLGAGNHYAEIQVVDEIFNEYAAKKMGIDHKGQVCVMIHSGSRGLGHQVATDALVAMEKAMKRDKIIVNDRQLACARIASPEGQDYLKGMAAAGNYAWVNRSSMTFLTRQAFAKVFNTTPDDFDLHVIYDVSHNIAKVEQHVVDGKERTLLVHRKGSTRAFPPHHPLIAVDYQLTGQPVLIGGTMGTCSYVLTGTEQGMTETFGTTCHGAGRALSRAKSRRNLDFQDVLDKLADMGIAIRVASPKLVMEEAPESYKNVTDVVNTCHDAGISKKAIKLRPIAVIKG 种属同源性预测 |
| 宿主/亚型 | Rabbit / IgG |
| 抗体类别 | Recombinant |
| 产品类型 | Antibody |
| 全称 | chromosome 22 open reading frame 28 |
| 别名 | HSPC117, 3'-phosphate/5'-hydroxy nucleic acid ligase, C22orf28, EC:6.5.1.8, FAAP |
| 计算分子量 | 55 kDa |
| 观测分子量 | 55 kDa |
| GenBank蛋白编号 | BC000151 |
| 基因名称 | RTCB |
| Gene ID (NCBI) | 51493 |
| 偶联类型 | Unconjugated |
| 形式 | Liquid |
| 纯化方式 | Protein A purification |
| UNIPROT ID | Q9Y3I0 |
| 储存缓冲液 | PBS with 0.02% sodium azide and 50% glycerol, pH 7.3. |
| 储存条件 | Store at -20°C. Stable for one year after shipment. Aliquoting is unnecessary for -20oC storage. |
背景介绍
RTCB (also known as HSPC117, C22orf28, FAAP and D10Wsu52e) is an essential subunit of a tRNA ligase complex that is involved in RNA repair and stress-induced splicing. As a multifunctional protein, RTCB is also a cell adhesion protein and is important in embryo and placenta development. Recently RTCB has been identified as UPR RNA ligase catalyzing unconventional XBP1 mRNA splicing. This antibody specifically recognizes endogenous RTCB protein. (25087875)
实验方案
| Product Specific Protocols | |
|---|---|
| IF protocol for RTCB antibody 86258-4-RR | Download protocol |
| WB protocol for RTCB antibody 86258-4-RR | Download protocol |
| Standard Protocols | |
|---|---|
| Click here to view our Standard Protocols |

