验证数据展示
经过测试的应用
| Positive WB detected in | HEK-293T cells, MCF-7 cells, Raji cells, HeLa cells, Jurkat cells, RAW 264.7 cells, PC-12 cells |
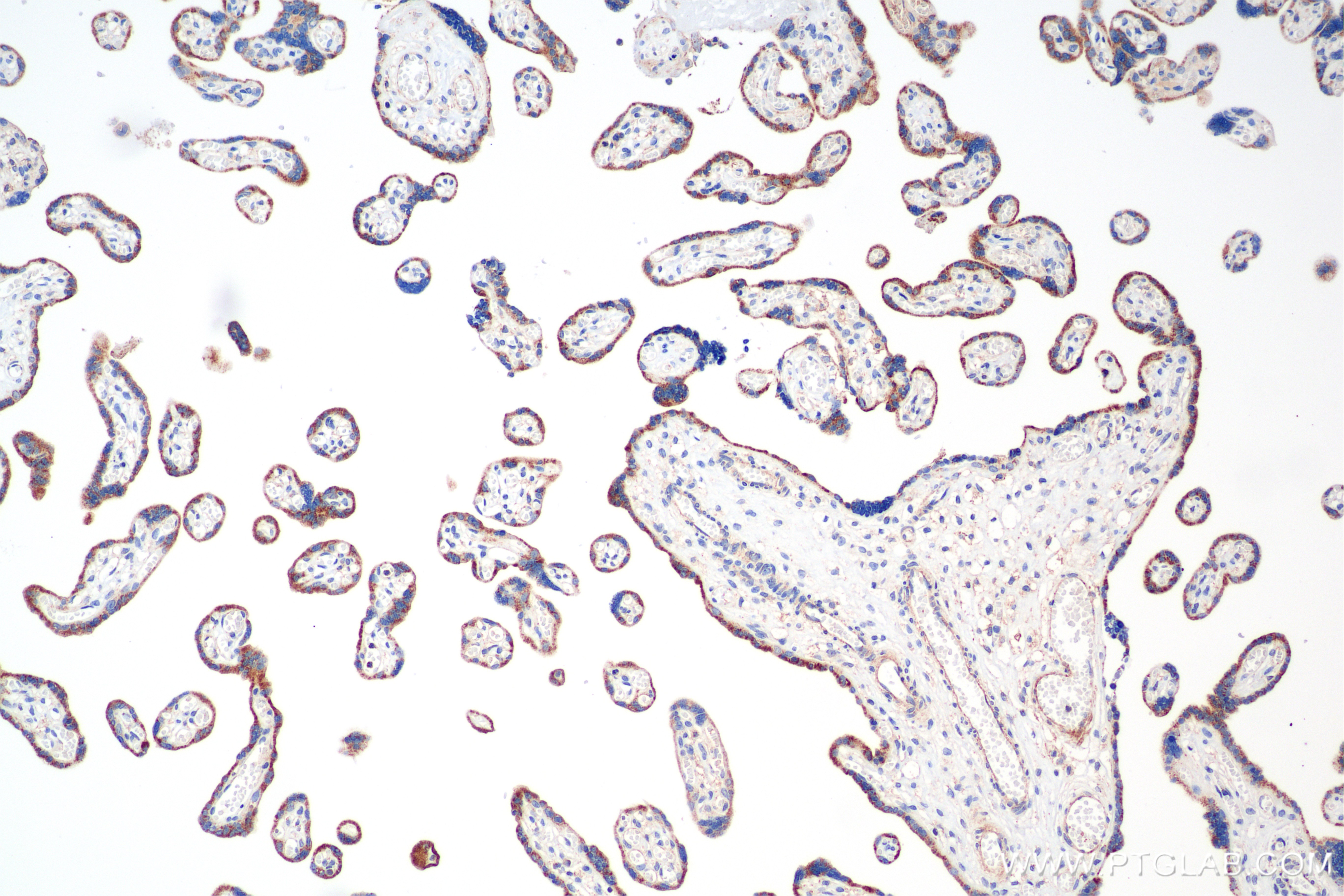
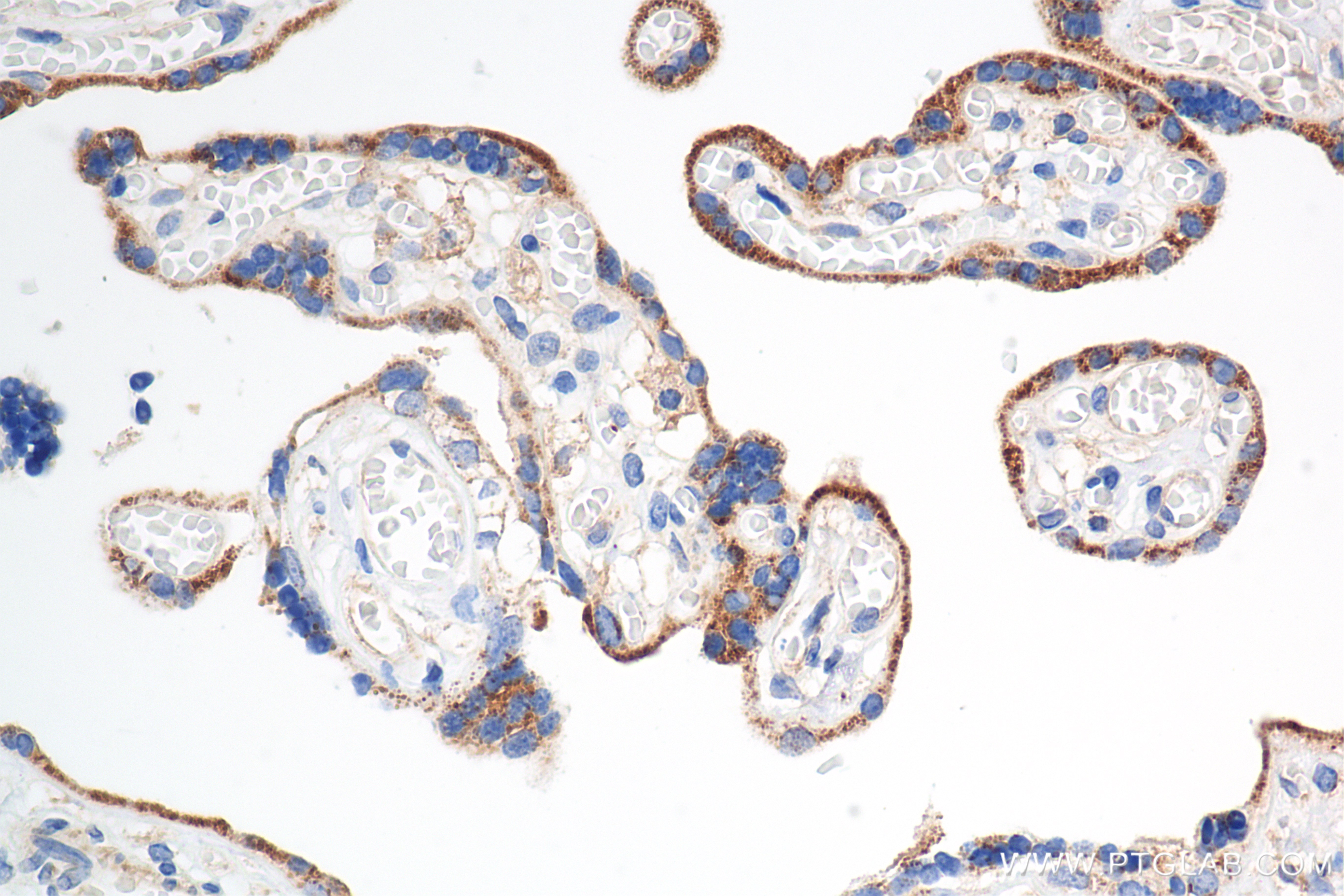
| Positive IHC detected in | human placenta tissue Note: suggested antigen retrieval with TE buffer pH 9.0; (*) Alternatively, antigen retrieval may be performed with citrate buffer pH 6.0 |
推荐稀释比
| 应用 | 推荐稀释比 |
|---|---|
| Western Blot (WB) | WB : 1:5000-1:50000 |
| Immunohistochemistry (IHC) | IHC : 1:400-1:1600 |
| It is recommended that this reagent should be titrated in each testing system to obtain optimal results. | |
| Sample-dependent, Check data in validation data gallery. | |
产品信息
86367-1-RR targets BCAT2 in WB, IHC, ELISA applications and shows reactivity with human, mouse, rat samples.
| 经测试应用 | WB, IHC, ELISA Application Description |
| 经测试反应性 | human, mouse, rat |
| 免疫原 |
CatNo: Ag9573 Product name: Recombinant human BCAT2 protein Source: e coli.-derived, PGEX-4T Tag: GST Domain: 41-392 aa of BC001900 Sequence: MTQKPHKKPGPGEPLVFGKTFTDHMLMVEWNDKGWGQPRIQPFQNLTLHPASSSLHYSLQLFEGMKAFKGKDQQVRLFRPWLNMDRMLRSAMRLCLPSFDKLELLECIRRLIEVDKDWVPDAAGTSLYVRPVLIGNEPSLGVSQPTRALLFVILCPVGAYFPGGSVTPVSLLADPAFIRAWVGGVGNYKLGGNYGPTVLVQQEALKRGCEQVLWLYGPDHQLTEVGTMNIFVYWTHEDGVLELVTPPLNGVILPGVVRQSLLDMAQTWGEFRVVERTITMKQLLRALEEGRVREVFGSGTACQVCPVHRILYKDRNLHIPTMENGPELILRFQKELKEIQYGIRAHEWMFPV 种属同源性预测 |
| 宿主/亚型 | Rabbit / IgG |
| 抗体类别 | Recombinant |
| 产品类型 | Antibody |
| 全称 | branched chain aminotransferase 2, mitochondrial |
| 别名 | Branched-chain-amino-acid aminotransferase, mitochondrial, EC:2.6.1.42, ECA40, Placental protein 18, PP18 |
| 计算分子量 | 44 kDa |
| 观测分子量 | 38 kDa |
| GenBank蛋白编号 | BC001900 |
| 基因名称 | BCAT2 |
| Gene ID (NCBI) | 587 |
| RRID | AB_3744843 |
| 偶联类型 | Unconjugated |
| 形式 | Liquid |
| 纯化方式 | Protein A purification |
| UNIPROT ID | O15382 |
| 储存缓冲液 | PBS with 0.02% sodium azide and 50% glycerol, pH 7.3. |
| 储存条件 | Store at -20°C. Stable for one year after shipment. Aliquoting is unnecessary for -20oC storage. |
背景介绍
Branched-chain amino acid transaminase 2 (BCAT2) is an important enzyme in branched-chain amino acids (BCAAs) catabolism that reversibly catalyzes the initial step of BCAA degradation to branched-chain acyl-CoA. In humans, BCAT2 encodes a mitochondrial protein that is ubiquitously expressed in all organs (except hepatocytes) (PMID:32467562). Moreover, other reports showed that overexpressed BCAT2 in pancreatic ductal adenocarcinoma (PDAC) cells enhanced cell proliferation and survival in vitro and in vivo (PMID:35663242).
实验方案
| Product Specific Protocols | |
|---|---|
| IHC protocol for BCAT2 antibody 86367-1-RR | Download protocol |
| WB protocol for BCAT2 antibody 86367-1-RR | Download protocol |
| Standard Protocols | |
|---|---|
| Click here to view our Standard Protocols |



