验证数据展示
经过测试的应用
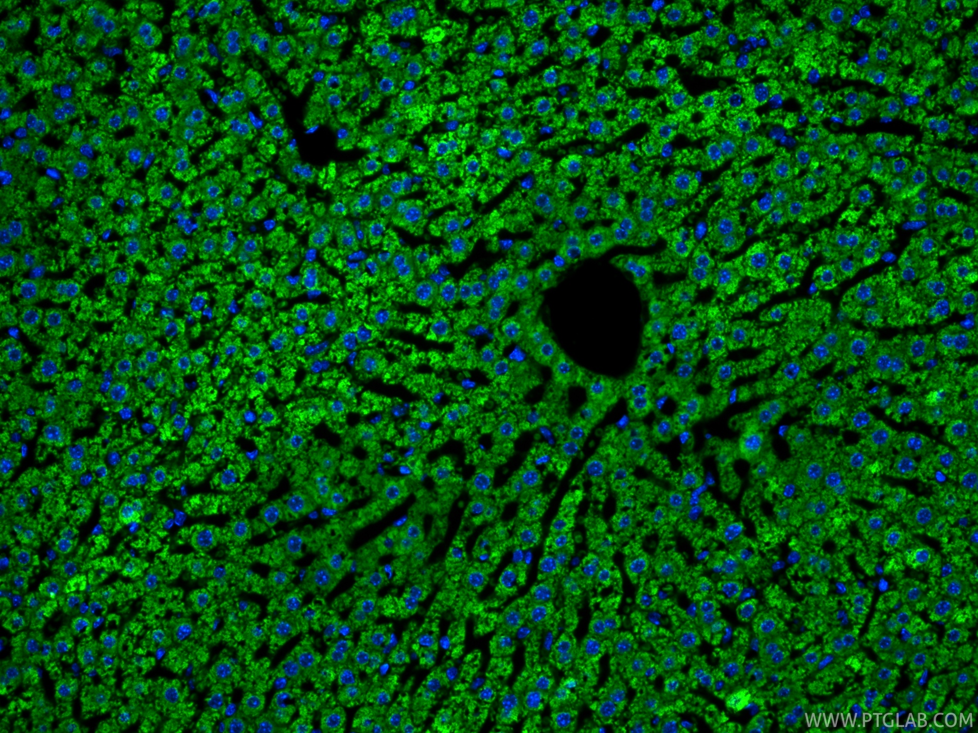
| Positive IF-P detected in | mouse liver tissue |
推荐稀释比
| 应用 | 推荐稀释比 |
|---|---|
| Immunofluorescence (IF)-P | IF-P : 1:50-1:500 |
| It is recommended that this reagent should be titrated in each testing system to obtain optimal results. | |
| Sample-dependent, Check data in validation data gallery. | |
产品信息
CL488-85288-2 targets ATP7B-Specific in IF-P applications and shows reactivity with human, mouse, rat samples.
| 经测试应用 | IF-P Application Description |
| 经测试反应性 | human, mouse, rat |
| 免疫原 |
Peptide 种属同源性预测 |
| 宿主/亚型 | Rabbit / IgG |
| 抗体类别 | Recombinant |
| 产品类型 | Antibody |
| 全称 | ATPase, Cu++ transporting, beta polypeptide |
| 别名 | ATP7B, 242827B3, ATPase, Cu++ transporting, beta polypeptide, Copper-transporting ATPase 2, EC:7.2.2.8 |
| 计算分子量 | 157 kDa |
| 观测分子量 | 150 kDa |
| GenBank蛋白编号 | NM_000053 |
| 基因名称 | ATP7B |
| Gene ID (NCBI) | 540 |
| RRID | AB_3747747 |
| 偶联类型 | CoraLite® Plus 488 Fluorescent Dye |
| 最大激发/发射波长 | 493 nm / 522 nm |
| 激发激光 | Blue laser (488 nm) |
| 形式 | Liquid |
| 纯化方式 | Protein A purification |
| UNIPROT ID | P35670 |
| 储存缓冲液 | PBS with 50% glycerol, 0.05% Proclin300, 0.5% BSA, pH 7.3. |
| 储存条件 | Store at -20°C. Avoid exposure to light. Stable for one year after shipment. Aliquoting is unnecessary for -20oC storage. |
背景介绍
ATP7B, also named as PWD, WC1 and WND, belongs to the cation transport ATPase (P-type) family and Type IB subfamily. ATP7B is involved in the export of copper out of the cells, such as the efflux of hepatic copper into the bile. ATP7B catalyzes the reaction: ATP + H2O + Cu2+(In) = ADP + phosphate + Cu2+(Out). Defects in ATP7B are the cause of Wilson disease (WD). This antibody is specific to ATP7B.
实验方案
| Product Specific Protocols | |
|---|---|
| IF protocol for CL Plus 488 ATP7B-Specific antibody CL488-85288-2 | Download protocol |
| Standard Protocols | |
|---|---|
| Click here to view our Standard Protocols |

