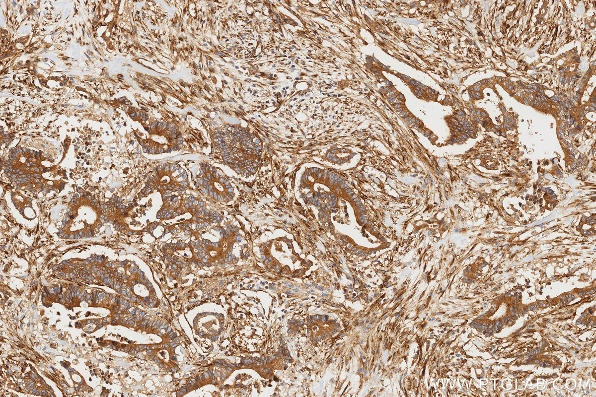
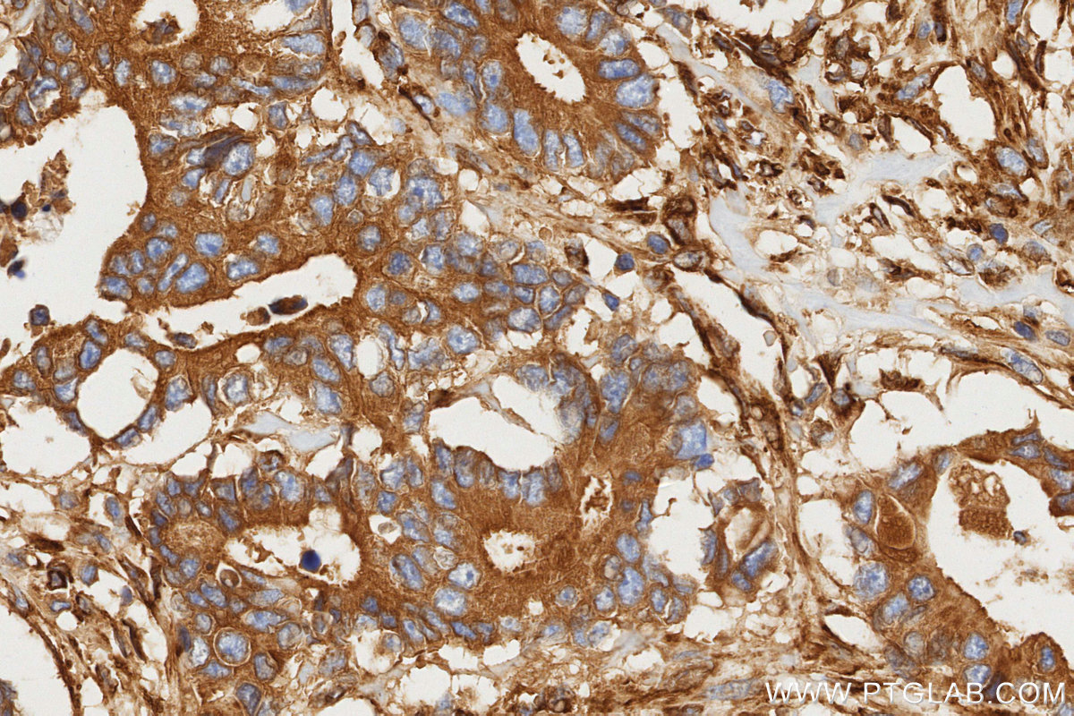
验证数据展示
产品信息
81615-1-PBS targets pan RAS as part of a matched antibody pair:
MP80009-1: 60309-1-PBS capture and 81615-1-PBS detection (validated in Cytometric bead array)
Unconjugated rabbit recombinant monoclonal antibody in PBS only (BSA and azide free) storage buffer at a concentration of 1 mg/mL, ready for conjugation. Created using Proteintech’s proprietary in-house recombinant technology. Recombinant production enables unrivalled batch-to-batch consistency, easy scale-up, and future security of supply.
This conjugation ready format makes antibodies ideal for use in many applications including: ELISAs, multiplex assays requiring matched pairs, mass cytometry, and multiplex imaging applications.Antibody use should be optimized by the end user for each application and assay.
| 经测试应用 | WB, IHC, IF/ICC, Cytometric bead array, Indirect ELISA Application Description |
| 经测试反应性 | human, mouse, rat, pig |
| 免疫原 |
CatNo: Ag2700 Product name: Recombinant human KRAS protein Source: e coli.-derived, PGEX-4T Tag: GST Domain: 1-188 aa of BC013572 Sequence: MTEYKLVVVGAGGVGKSALTIQLIQNHFVDEYDPTIEDSYRKQVVIDGETCLLDILDTAGHEEYSAMRDQYMRTGEGFLCVFAINNTKSFEDIHHYREQIKRVKDSEDVPMVLVGNKCDLPSRTVDTKQAQDLARSYGIPFIETSAKTRQGVDDAFYTLVREIRKHKEKMSKDGKKKKKKSKTKCVIM 种属同源性预测 |
| 宿主/亚型 | Rabbit / IgG |
| 抗体类别 | Recombinant |
| 产品类型 | Antibody |
| 全称 | v-Ki-ras2 Kirsten rat sarcoma viral oncogene homolog |
| 别名 | KRAS, C K RAS, c Ki ras, c-Ki-ras, c-K-ras |
| 计算分子量 | 188 aa, 21 kDa |
| 观测分子量 | 21 kDa |
| GenBank蛋白编号 | BC013572 |
| 基因名称 | KRAS |
| Gene ID (NCBI) | 3845 |
| RRID | AB_2935567 |
| 偶联类型 | Unconjugated |
| 形式 | Liquid |
| 纯化方式 | Protein A purification |
| UNIPROT ID | P01116 |
| 储存缓冲液 | PBS only, pH 7.3. |
| 储存条件 | Store at -80°C. The product is shipped with ice packs. Upon receipt, store it immediately at -80°C |
背景介绍
The 21 kDa guanine-nucleotide binding proteins (K-Ras, H-Ras, and N-Ras) belong to the Ras oncogene family, whose members are related to the transforming genes of mammalian sarcoma retroviruses. K-Ras, H-Ras, and N-Ras have similar structure and sequences. These proteins can bind GTP and GDP, and they have intrinsic GTPase activity. The ras genes are ubiquitously expressed although mRNA analysis suggests different level expression in tissue. Mutations in each ras gene frequently were found in different tumors, suggesting their involvement in the development of specific neoplasia. This antibody can recognize K-Ras, H-Ras, and N-Ras.








