验证数据展示
产品信息
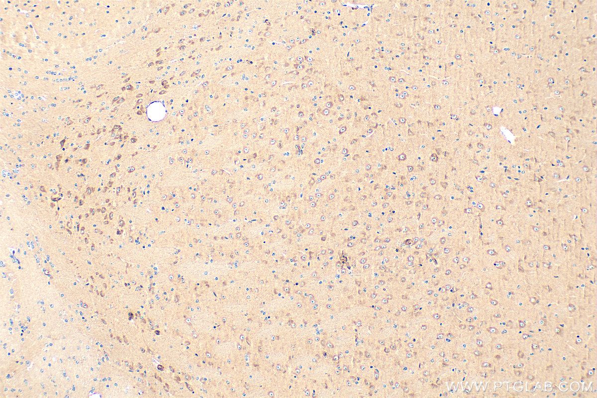
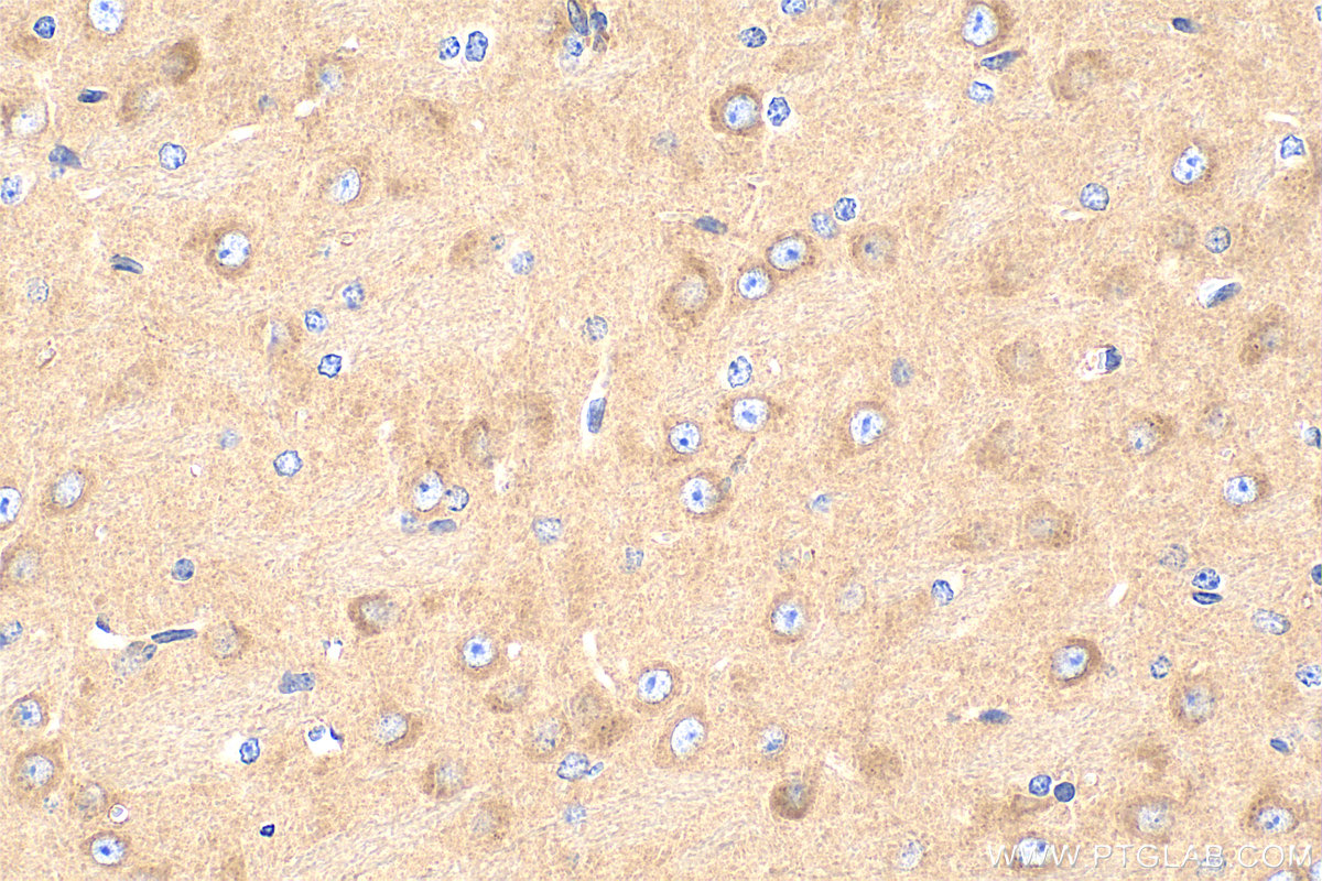
81670-1-PBS targets mTOR in WB, IHC, IF/ICC, FC (Intra), IP, Indirect ELISA applications and shows reactivity with human, mouse, rat samples.
| 经测试应用 | WB, IHC, IF/ICC, FC (Intra), IP, Indirect ELISA Application Description |
| 经测试反应性 | human, mouse, rat |
| 免疫原 |
CatNo: Ag28395 Product name: Recombinant human MTOR protein Source: e coli.-derived, PET28a Tag: 6*His Domain: 27-291 aa of NM_004958 Sequence: MSGLKSRNEETRAKAAKELQHYVTMELREMSQEESTRFYDQLNHHIFELVSSSDANERKGGILAIASLIGVEGGNATRIGRFANYLRNLLPSNDPVVMEMASKAIGRLAMAGDTFTAEYVEFEVKRALEWLGADRNEGRRHAAVLVLRELAISVPTFFFQQVQPFFDNIFVAVWDPKQAIREGAVAALRACLILTTQREPKEMQKPQWYRHTFEEAEKGFDETLAKEKGMNRDDRIHGALLILNELVRISSMEGERLREEMEEITQ 种属同源性预测 |
| 宿主/亚型 | Rabbit / IgG |
| 抗体类别 | Recombinant |
| 产品类型 | Antibody |
| 全称 | FK506 binding protein 12-rapamycin associated protein 1 |
| 别名 | FRAP1, 6H23, EC:2.7.11.1, FKBP12-rapamycin complex-associated protein, FRAP |
| 计算分子量 | 289 kDa |
| 观测分子量 | 250-289 kDa |
| GenBank蛋白编号 | NM_004958 |
| 基因名称 | mTOR |
| Gene ID (NCBI) | 2475 |
| 偶联类型 | Unconjugated |
| 形式 | Liquid |
| 纯化方式 | Protein A purification |
| UNIPROT ID | P42345 |
| 储存缓冲液 | PBS only, pH 7.3. |
| 储存条件 | Store at -80°C. The product is shipped with ice packs. Upon receipt, store it immediately at -80°C |
背景介绍
mTOR, also named as FRAP1, FRAP, FRAP2 and RAPT1, belongs to the PI3/PI4-kinase family. MTOR is a Ser/Thr protein kinase that functions as an ATP and amino acid sensor to balance nutrient availability and cell growth. MTOR is kinase subunit of both mTORC1 and mTORC2, which regulate cell growth and survival in response to nutrient and hormonal signals. mTORC1 is activated in response to growth factors or amino-acids. mTORC2 is also activated by growth factors, but seems to be nutrient-insensitive. mTORC2 seems to function upstream of Rho GTPases to regulate the actin cytoskeleton, probably by activating one or more Rho-type guanine nucleotide exchange factors. mTORC2 promotes the serum-induced formation of stress-fibers or F-actin. mTOR is phosphorylated at Ser2448 via the PI3 kinase/Akt signaling pathway and autophosphorylated at Ser2481. mTOR plays a key role in cell growth and homeostasis and may be abnormally regulated in tumors.










