Product focus on Proteintech's TDP-43 antibody
Proteintech’s TDP-43 polyclonal antibody played a seminal role in the discovery of this protein
TDP-43 accumulation aggregation in the brain is a hallmark feature of many neurodegeneration diseases including frontotemporal lobar dementia (FTLD), amyotrophic lateral sclerosis (ALS) and alzheimers disease.
Proteintech’s TDP-43 polyclonal antibody 10782-2-AP played a seminal role in the discovery of this protein (Neuman et al. 2006). Our whole protein immunogen strategy enabled the visualisation of aggregated TDP-43 in more disease scenarios.
Proteintech TDP43 products have over 1450 citations to date, and we have developed a wide range of products to target TDP-43 in a variety of states such as the pathogenic c-terminal fragment and phosphorylated TDP-43.
TDP43 polyclonal antibody 10782-2-AP
1293 publications KD/KO validated
40X of FTLD-U case stained by 10782-2-AP (1:3000) showing dystrophic neurites.
*New* IHCeasy TDP-43 Ready-to-Use IHC Kit KHC0001
|
Immunohistochemical analysis of paraffin-embedded mouse cerebellum tissue slide using KHC0001 (TDP-43 IHC Kit).. |
|
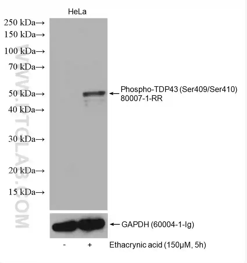
*New* Phospo-TDP43 (Ser409/410) recombinant antibody 80007-1-RR

Control and ethacrynic acid treated HeLa cells. 80007-1-RR 1:300
CoraLite®488-conjugated recombinant TDP-43 antibody for ImmunoFluoresence and Intracellular flow cytometry CL488-80002
| Immunofluorescence | Intracellular Flow Cytometry |
|
4% PFA fixed mouse brain using 1:100 of CL488-80002 |
HeLa cells stained with 0.2 µg CL488-80002. Cells were fixed with Transcription Factor Staining Buffer Kit (PF00011). |
List of TDP-43 products
Antigen Name |
CatalogNo |
Host and Clonality |
Application |
|
TDP-43 |
Rabbit Polyclonal |
FC, IF, IHC, WB, ELISA |
|
|
TDP-43 (C-terminal) |
Rabbit Polyclonal |
IF, IHC, IP, WB, ELISA |
|
|
TDP-43 |
Rabbit Polyclonal |
FC, IF, IHC, IP, WB, ELISA |
|
|
Phospho-TDP43 (Ser409/410) |
Rabbit Polyclonal |
WB, ELISA |
|
|
TDP-43 (human specific) |
Mouse Monoclonal |
FC, IHC, IP, WB, ELISA |
|
|
Phospho-TDP43 (Ser403/404) |
Mouse Monoclonal |
FC, WB, ELISA |
|
|
Phospho-TDP43 (Ser409/410) |
Mouse Monoclonal |
WB, ELISA |
|
|
TDP-43 |
Mouse Monoclonal |
FC, IHC, WB, ELISA |
|
|
TDP-43 (C-terminal) |
Mouse Monoclonal |
FC, IF, IHC, WB, ELISA |
|
|
TDP-43 |
Rabbit Recombinant |
FC, IHC, WB, ELISA |
|
|
TDP-43 (for IF/FC) |
Rabbit Recombinant |
FC, IF, ELISA |
|
|
Phospho-TDP43 (Ser409/410) |
Rabbit Recombinant |
IHC, WB, ELISA |
|
|
TDP-43 |
Rabbit Polyclonal |
FC (Intra), IF |
|
|
TDP-43 (C-terminal) |
Rabbit Polyclonal |
FC (Intra), IF |
|
|
TDP-43 (C-terminal) |
Mouse Monoclonal |
IF |
|
|
TDP-43 (for IF/FC) |
Rabbit Recombinant |
FC (Intra), IF |
|
|
TDP-43 (C-terminal) |
Rabbit Polyclonal |
FC (Intra), IF |
|
|
TDP-43 (C-terminal) |
Mouse Monoclonal |
IF |
|
|
TDP-43 (for IF/FC) |
Rabbit Recombinant |
FC (Intra), IF |
|
|
Human TDP-43 ELISA kit |
Mix |
ELISA (plasma and serum) |
|
|
Human TDP-43 ELISA kit |
Mix |
ELISA (CSF and cell lysate) |







