验证数据展示
经过测试的应用
| Positive WB detected in | HeLa cells, bEnd.3 cells, HepG2 cells, Caco-2 cells, HT-29 cells, MCF-7 cells |
| Positive IP detected in | HEK-293 cells |
| Positive IHC-Autostainer detected in | mouse colon tissue |
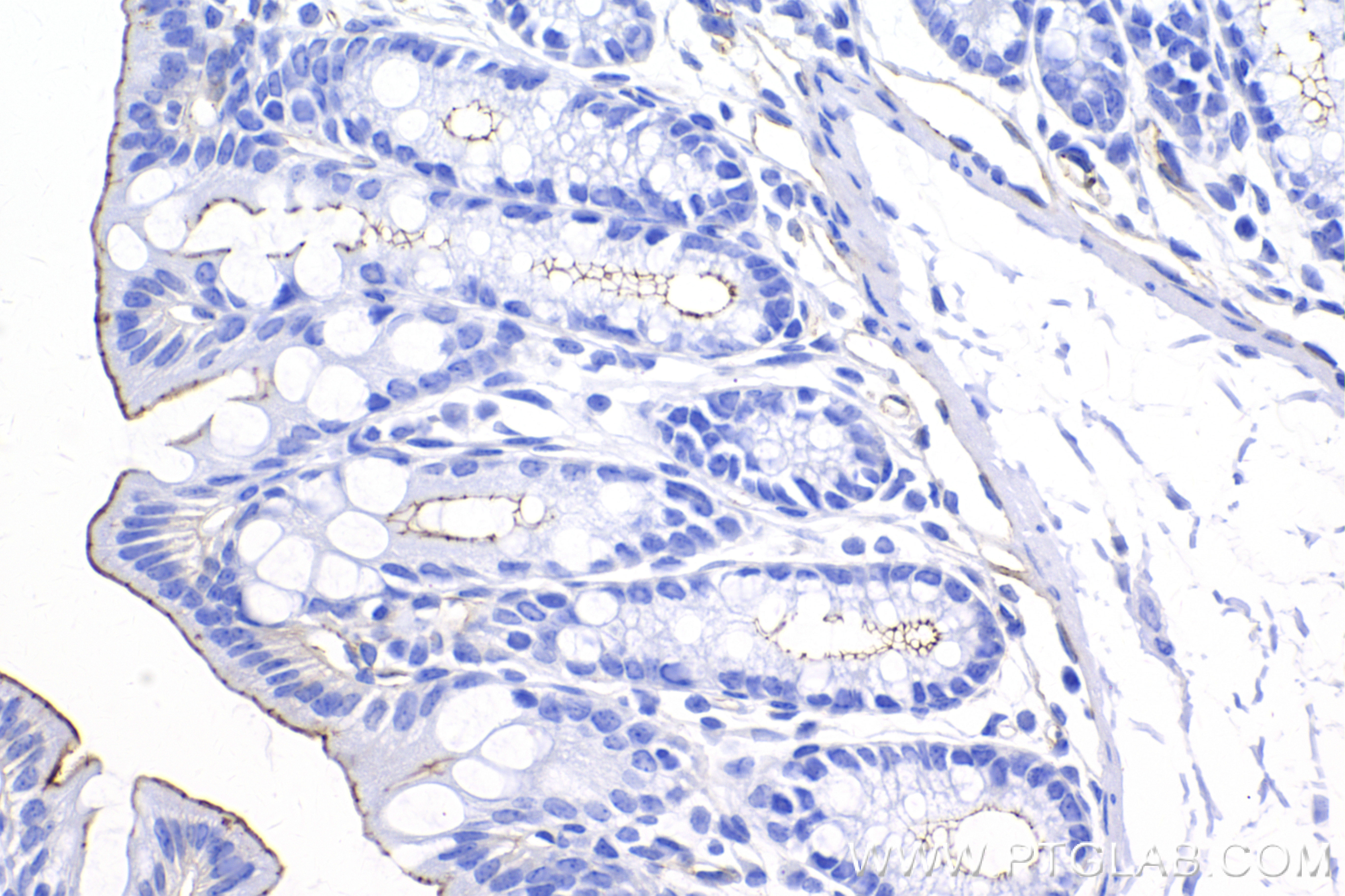
| Positive IHC detected in | mouse colon tissue, human kidney tissue, human placenta tissue, mouse kidney tissue Note: suggested antigen retrieval with TE buffer pH 9.0; (*) Alternatively, antigen retrieval may be performed with citrate buffer pH 6.0 |
| Positive IF-P detected in | mouse colon tissue |
| Positive IF/ICC detected in | MCF-7 cells, U2OS cells, MDCK cells, Caco-2 cells |
| Positive FC (Intra) detected in | MCF-7 cells |
Freshly prepared samples are recommended.
推荐稀释比
| 应用 | 推荐稀释比 |
|---|---|
| Western Blot (WB) | WB : 1:5000-1:50000 |
| Immunoprecipitation (IP) | IP : 0.5-4.0 ug for 1.0-3.0 mg of total protein lysate |
| Immunohistochemistry (IHC)-AUTOSTAINER | IHC-AUTOSTAINER : 1:500-1:2000 |
| Immunohistochemistry (IHC) | IHC : 1:1000-1:4000 |
| Immunofluorescence (IF)-P | IF-P : 1:50-1:500 |
| Immunofluorescence (IF)/ICC | IF/ICC : 1:200-1:800 |
| Flow Cytometry (FC) (INTRA) | FC (INTRA) : 0.25 ug per 10^6 cells in a 100 µl suspension |
| It is recommended that this reagent should be titrated in each testing system to obtain optimal results. | |
| Sample-dependent, Check data in validation data gallery. | |
产品信息
82870-7-RR targets ZO-1 in WB, IHC, IHC-Autostainer, IF/ICC, IF-P, FC (Intra), IP, ELISA applications and shows reactivity with human, mouse, canine samples.
| 经测试应用 | WB, IHC, IHC-Autostainer, IF/ICC, IF-P, FC (Intra), IP, ELISA Application Description |
| 文献引用应用 | WB, IHC, IF |
| 经测试反应性 | human, mouse, canine |
| 文献引用反应性 | human |
| 免疫原 |
CatNo: Ag33182 Product name: Recombinant human ZO1 protein Source: e coli.-derived, PGEX-4T Tag: GST Domain: 245-428 aa of BC111712 Sequence: AKTLIERSKGKLKMVVQRDERATLLNVPDLSDSIHSANASERDDISEIQSLASDHSGRSHDRPPRRSRSRSPDQRSEPSDHSRHSPQQPSNGSLRSRDEERISKPGAVSTPVKHADDHTPKTVEEVTVERNEKQTPSLPEPKPVYAQVGQPDVDLPVSPSDGVLPNSTHEDGILRPSMKLVKFR 种属同源性预测 |
| 宿主/亚型 | Rabbit / IgG |
| 抗体类别 | Recombinant |
| 产品类型 | Antibody |
| 全称 | tight junction protein 1 (zona occludens 1) |
| 别名 | TJP1, 240150D7, Tight junction protein 1, Tight junction protein ZO 1, Tight junction protein ZO-1 |
| 计算分子量 | 1748 aa, 195 kDa |
| 观测分子量 | 230 kDa |
| GenBank蛋白编号 | BC111712 |
| 基因名称 | ZO-1 |
| Gene ID (NCBI) | 7082 |
| RRID | AB_3670590 |
| 偶联类型 | Unconjugated |
| 形式 | Liquid |
| 纯化方式 | Protein A purfication |
| UNIPROT ID | Q07157 |
| 储存缓冲液 | PBS with 0.02% sodium azide and 50% glycerol, pH 7.3. |
| 储存条件 | Store at -20°C. Stable for one year after shipment. Aliquoting is unnecessary for -20oC storage. |
背景介绍
Tight junction (or zonula occludens) form the continuous intercellular barrier between epithelial and endothelial cells, which is required to separate tissue spaces and regulate selective movement of solutes across the epithelium and endothelium (PMID: 20066090). ZO-1 (also known as TJP1) is a peripheral membrane phosphoprotein located on the cytoplasmic face and is expressed in tight junctions of both epithelial and endothelial cells (PMID: 3528172). It binds the transmembrane proteins occludin and the claudins linking them to cytoskeletal actin (PMID: 17418867). ZO-1 belongs to a family of multidomain proteins known as the membrane-associated guanylate kinase homologs (MAGUKs). It is a pivotal tight junction protein and may be involved in signaling mechanisms regulating cell proliferation and differentiation (PMID: 22782886).
实验方案
| Product Specific Protocols | |
|---|---|
| FC protocol for ZO-1 antibody 82870-7-RR | Download protocol |
| IF protocol for ZO-1 antibody 82870-7-RR | Download protocol |
| IHC protocol for ZO-1 antibody 82870-7-RR | Download protocol |
| IP protocol for ZO-1 antibody 82870-7-RR | Download protocol |
| WB protocol for ZO-1 antibody 82870-7-RR | Download protocol |
| Standard Protocols | |
|---|---|
| Click here to view our Standard Protocols |
发表文章
| Species | Application | Title |
|---|---|---|
Front Pharmacol Paricalcitol alleviates intestinal ischemia-reperfusion injury via inhibition of the ATF4-CHOP pathway | ||
Chin J Integr Med Colon Dialysis with Yishen Decoction Improves Autophagy Disorder in Intestinal Mucosal Epithelial Cells of Chronic Renal Failure by Regulating SIRT1 Pathway | ||
Commun Biol Endoplasmic reticulum-mitochondria coupling prompts ZBP1-mediated RPE cell PANoptosis in age-related macular degeneration | ||
Vet Microbiol Evaluation of the C protein of BVDV as a vaccine candidate: Immunoprotective studies in mice | ||
Pharmaceutics Liposomal Delivery of Macleaya cordata Extract Alleviates Bacterial Diarrhea Through Intestinal Barrier Restoration, Microbiota Remodeling, and Inhibition of Inflammatory Factor Release. |




















