验证数据展示
产品信息
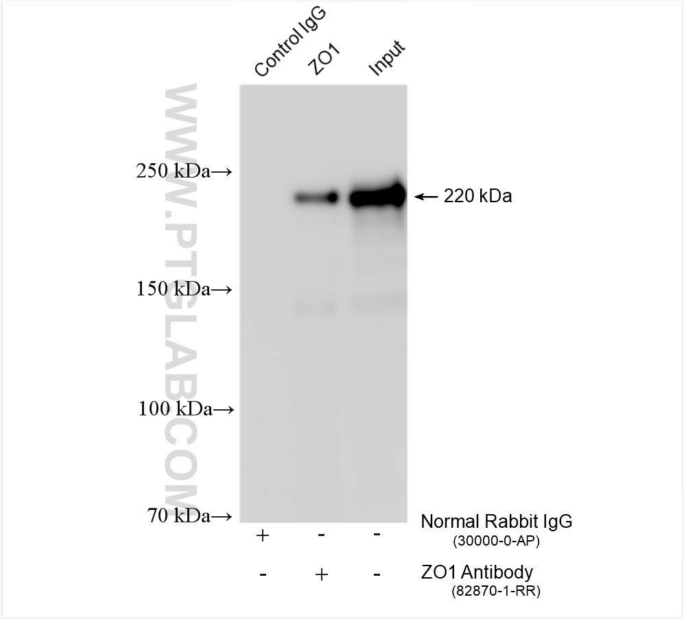
82870-1-PBS targets ZO-1 in WB, IHC, IF/ICC, IP, Indirect ELISA applications and shows reactivity with human, mouse samples.
| 经测试应用 | WB, IHC, IF/ICC, IP, Indirect ELISA Application Description |
| 经测试反应性 | human, mouse |
| 免疫原 |
CatNo: Ag33182 Product name: Recombinant human ZO1 protein Source: e coli.-derived, PGEX-4T Tag: GST Domain: 245-428 aa of BC111712 Sequence: AKTLIERSKGKLKMVVQRDERATLLNVPDLSDSIHSANASERDDISEIQSLASDHSGRSHDRPPRRSRSRSPDQRSEPSDHSRHSPQQPSNGSLRSRDEERISKPGAVSTPVKHADDHTPKTVEEVTVERNEKQTPSLPEPKPVYAQVGQPDVDLPVSPSDGVLPNSTHEDGILRPSMKLVKFR 种属同源性预测 |
| 宿主/亚型 | Rabbit / IgG |
| 抗体类别 | Recombinant |
| 产品类型 | Antibody |
| 全称 | tight junction protein 1 (zona occludens 1) |
| 别名 | TJP1, ZO 1, Tight junction protein ZO-1, Tight junction protein ZO 1, Tight junction protein 1 |
| 计算分子量 | 1748 aa, 195 kDa |
| 观测分子量 | 230 kDa |
| GenBank蛋白编号 | BC111712 |
| 基因名称 | ZO-1 |
| Gene ID (NCBI) | 7082 |
| 偶联类型 | Unconjugated |
| 形式 | Liquid |
| 纯化方式 | Protein A purification |
| UNIPROT ID | Q07157 |
| 储存缓冲液 | PBS only, pH 7.3. |
| 储存条件 | Store at -80°C. The product is shipped with ice packs. Upon receipt, store it immediately at -80°C |
背景介绍
Tight junction (or zonula occludens) forms the continuous intercellular barrier between epithelial and endothelial cells, which is required to separate tissue spaces and regulate the selective movement of solutes across the epithelium and endothelium (PMID: 20066090). ZO-1 (also known as TJP1) is a peripheral membrane phosphoprotein located on the cytoplasmic face and is expressed in tight junctions of both epithelial and endothelial cells (PMID: 3528172). It binds the transmembrane proteins occludin and the claudins linking them to cytoskeletal actin (PMID: 17418867). ZO-1 belongs to a family of multidomain proteins known as the membrane-associated guanylate kinase homologs (MAGUKs). It is a pivotal tight junction protein and may be involved in signaling mechanisms regulating cell proliferation and differentiation (PMID: 22782886).








