验证数据展示
经过测试的应用
| Positive WB detected in | LNCaP cells, MDA-MB-231 cells, HeLa cells, HEK-293 cells, Jurkat cells, K-562 cells |
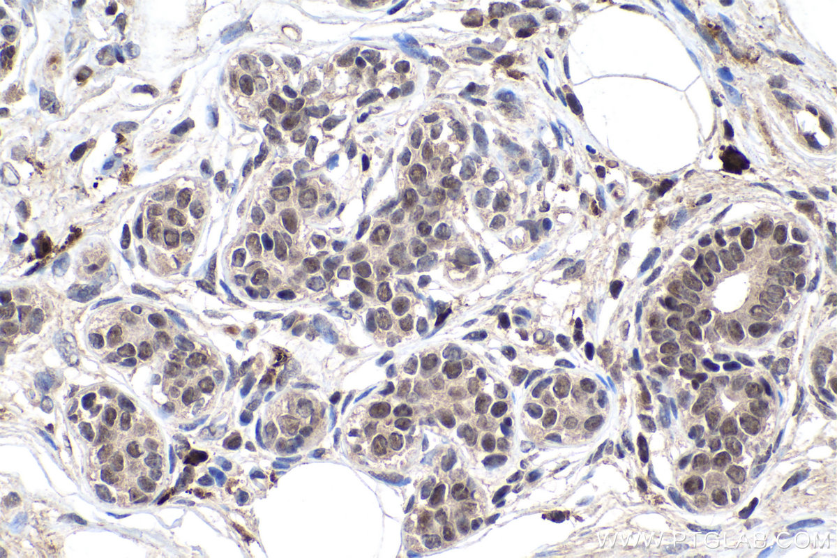
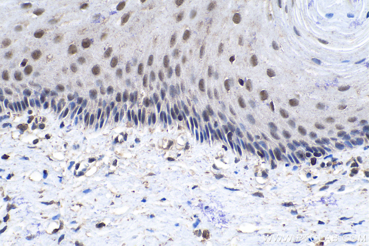
| Positive IHC detected in | human breast cancer tissue, human cervical cancer tissue, mouse testis tissue Note: suggested antigen retrieval with TE buffer pH 9.0; (*) Alternatively, antigen retrieval may be performed with citrate buffer pH 6.0 |
推荐稀释比
| 应用 | 推荐稀释比 |
|---|---|
| Western Blot (WB) | WB : 1:2000-1:10000 |
| Immunohistochemistry (IHC) | IHC : 1:2000-1:8000 |
| It is recommended that this reagent should be titrated in each testing system to obtain optimal results. | |
| Sample-dependent, Check data in validation data gallery. | |
发表文章中的应用
| WB | See 2 publications below |
| RIP | See 1 publications below |
产品信息
67911-1-Ig targets YTHDC1 in WB, IHC, RIP, ELISA applications and shows reactivity with human, mouse samples.
| 经测试应用 | WB, IHC, ELISA Application Description |
| 文献引用应用 | WB, RIP |
| 经测试反应性 | human, mouse |
| 文献引用反应性 | human, mouse |
| 免疫原 |
CatNo: Ag6289 Product name: Recombinant human YTHDC1 protein Source: e coli.-derived, PET28a Tag: 6*His Domain: 360-709 aa of BC053863 Sequence: STLPVNEKKLNLAFRSARSVILIFSVRESGKFQGFARLSSESHHGGSPIHWVLPAGMSAKMLGGVFKIDWICRRELPFTKSAHLTNPWNEHKPVKIGRDGQEIELECGTQLCLLFPPDESIDLYQVIHKMRHKRRMHSQPRSRGRPSRREPVRDVGRRRPEDYDIHNSRKKPRIDYPPEFHQRPGYLKDPRYQEVDRRFSGVRRDVFLNGSYNDYVREFHNMGPPPPWQGMPPYPGMEQPPHHPYYQHHAPPPQAHPPYSGHHPVPHEARYRDKRVHDYDMRVDDFLRRTQAVVSGRRSRPRERDRERERDRPRDNRRDRERDRGRDRERERERLCDRDRDRGERGRYRR 种属同源性预测 |
| 宿主/亚型 | Mouse / IgG1 |
| 抗体类别 | Monoclonal |
| 产品类型 | Antibody |
| 全称 | YTH domain containing 1 |
| 别名 | 1F5G11, KIAA1966, Splicing factor YT521, YT521, YT521 B |
| 计算分子量 | 85 kDa |
| 观测分子量 | ~100 kDa |
| GenBank蛋白编号 | BC053863 |
| 基因名称 | YTHDC1 |
| Gene ID (NCBI) | 91746 |
| RRID | AB_2918666 |
| 偶联类型 | Unconjugated |
| 形式 | Liquid |
| 纯化方式 | Protein G purification |
| UNIPROT ID | Q96MU7 |
| 储存缓冲液 | PBS with 0.02% sodium azide and 50% glycerol, pH 7.3. |
| 储存条件 | Store at -20°C. Stable for one year after shipment. Aliquoting is unnecessary for -20oC storage. |
背景介绍
YTHDC1, containing 1 YTH domain, is one of the m6A-binding proteins that can recognize and bind to the m6A methylation site and plays a specific role in gene expression. YTHDC1 is constitutively enriched in the nucleus. It regulates mRNA splicing by bridging the interactions between the trans- and cis-regulatory elements to bind targeted mRNAs. YTHDC1 mediates the export of m6A modified mRNA from the nucleus to the cytoplasm by interacting with SRSF3, which is an essential factor driving the tumorigenic process in various types of cancers including breast cancer, colon cancer, ovarian cancer, osteosarcoma, and glioblastoma (32368386).
实验方案
| Product Specific Protocols | |
|---|---|
| IHC protocol for YTHDC1 antibody 67911-1-Ig | Download protocol |
| WB protocol for YTHDC1 antibody 67911-1-Ig | Download protocol |
| Standard Protocols | |
|---|---|
| Click here to view our Standard Protocols |
发表文章
| Species | Application | Title |
|---|---|---|
Mol Carcinog m6A modification of VEGFA mRNA by RBM15/YTHDF2/IGF2BP3 contributes to angiogenesis of hepatocellular carcinoma | ||
Adv Sci (Weinh) Ythdc1-p300-Klf5 Complex-Mediated Golgi Dysfunction Promotes Aortic Aneurysm. |





