验证数据展示
经过测试的应用
| Positive WB detected in | BxPC-3 cells |
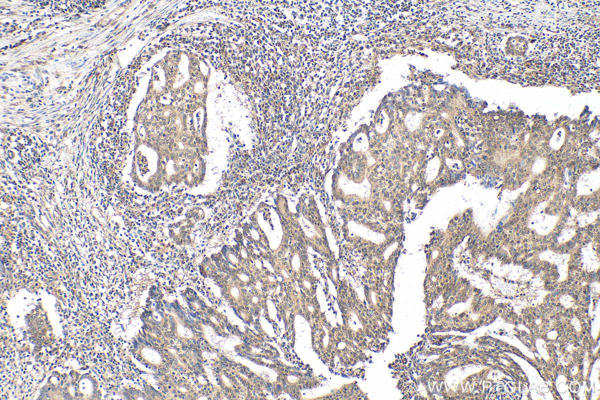
| Positive IHC detected in | human endometrial cancer tissue Note: suggested antigen retrieval with TE buffer pH 9.0; (*) Alternatively, antigen retrieval may be performed with citrate buffer pH 6.0 |
推荐稀释比
| 应用 | 推荐稀释比 |
|---|---|
| Western Blot (WB) | WB : 1:500-1:2000 |
| Immunohistochemistry (IHC) | IHC : 1:50-1:500 |
| It is recommended that this reagent should be titrated in each testing system to obtain optimal results. | |
| Sample-dependent, Check data in validation data gallery. | |
产品信息
15403-1-AP targets YPEL3 in WB, IF, IHC, ELISA applications and shows reactivity with human, mouse, rat samples.
| 经测试应用 | WB, IHC, ELISA Application Description |
| 文献引用应用 | WB, IF, IHC |
| 经测试反应性 | human, mouse, rat |
| 文献引用反应性 | human |
| 免疫原 |
CatNo: Ag7626 Product name: Recombinant human YPEL3 protein Source: e coli.-derived, PET28a Tag: 6*His Domain: 1-119 aa of BC005009 Sequence: MVRISKPKTFQAYLDDCHRRYSCAHCRAHLANHDDLISKSFQGSQGRAYLFNSVVNVGCGPAEERVLLTGLHAVADIHCENCKTTLGWKYEQAFESSQKYKEGKYIIELNHMIKDNGWD 种属同源性预测 |
| 宿主/亚型 | Rabbit / IgG |
| 抗体类别 | Polyclonal |
| 产品类型 | Antibody |
| 全称 | yippee-like 3 (Drosophila) |
| 别名 | Protein yippee like 3, yippee like 3 (Drosophila), YPEL3 |
| 计算分子量 | 14 kDa |
| 观测分子量 | 14 kDa |
| GenBank蛋白编号 | BC005009 |
| 基因名称 | YPEL3 |
| Gene ID (NCBI) | 83719 |
| RRID | AB_11042587 |
| 偶联类型 | Unconjugated |
| 形式 | Liquid |
| 纯化方式 | Antigen affinity purification |
| UNIPROT ID | P61236 |
| 储存缓冲液 | PBS with 0.02% sodium azide and 50% glycerol, pH 7.3. |
| 储存条件 | Store at -20°C. Stable for one year after shipment. Aliquoting is unnecessary for -20oC storage. |
背景介绍
YPEL3 is part of a five-member family of closely related paralogues: YPEL1-5, which are named in reference to their Drosophila ortholgue. Studies showed shat YPEL3 is regulated by p53 and its encoding protein induces cellular senescence in human tumor and normal cells, indicating that YPEL3 is a p53-dependent, tumor suppressor gene. (PMID:20388804) 15403-1-AP was raised against full length of YPEL3 protein (1-119aa); it can recognize YPEL1-4.
实验方案
| Product Specific Protocols | |
|---|---|
| IHC protocol for YPEL3 antibody 15403-1-AP | Download protocol |
| WB protocol for YPEL3 antibody 15403-1-AP | Download protocol |
| Standard Protocols | |
|---|---|
| Click here to view our Standard Protocols |
发表文章
| Species | Application | Title |
|---|---|---|
Int J Cancer Novel senescence associated gene, YPEL3, is repressed by estrogen in ER+ mammary tumor cells and required for tamoxifen-induced cellular senescence. | ||
Sci Rep Steroid sulfatase deficiency causes cellular senescence and abnormal differentiation by inducing Yippee-like 3 expression in human keratinocytes. | ||
Front Genet Identification of a cellular senescence-related-lncRNA (SRlncRNA) signature to predict the overall survival of glioma patients and the tumor immune microenvironment |


