验证数据展示
经过测试的应用
| Positive WB detected in | L02 cells, HeLa cells, MCF-7 cells |
| Positive IP detected in | L02 cells |
| Positive IF/ICC detected in | HepG2 cells |
| Positive FC (Intra) detected in | HepG2 cells |
推荐稀释比
| 应用 | 推荐稀释比 |
|---|---|
| Western Blot (WB) | WB : 1:200-1:1000 |
| Immunoprecipitation (IP) | IP : 0.5-4.0 ug for 1.0-3.0 mg of total protein lysate |
| Immunofluorescence (IF)/ICC | IF/ICC : 1:200-1:800 |
| Flow Cytometry (FC) (INTRA) | FC (INTRA) : 0.40 ug per 10^6 cells in a 100 µl suspension |
| It is recommended that this reagent should be titrated in each testing system to obtain optimal results. | |
| Sample-dependent, Check data in validation data gallery. | |
发表文章中的应用
| WB | See 8 publications below |
| IF | See 2 publications below |
产品信息
16462-1-AP targets XPA in WB, IF/ICC, FC (Intra), IP, ELISA applications and shows reactivity with human, mouse samples.
| 经测试应用 | WB, IF/ICC, FC (Intra), IP, ELISA Application Description |
| 文献引用应用 | WB, IF |
| 经测试反应性 | human, mouse |
| 文献引用反应性 | human, mouse, zebrafish |
| 免疫原 |
CatNo: Ag9536 Product name: Recombinant human XPA protein Source: e coli.-derived, PGEX-4T Tag: GST Domain: 1-273 aa of BC014965 Sequence: MAAADGALPEAAALEQPAELPASVRASIERKRQRALMLRQARLAARPYSATAAAATGGMANVKAAPKIIDTGGGFILEEEEEEEQKIGKVVHQPGPVMEFDYVICEECGKEFMDSYLMNHFDLPTCDNCRDADDKHKLITKTEAKQEYLLKDCDLEKREPPLKFIVKKNPHHSQWGDMKLYLKLQIVKRSLEVWGSQEALEEAKEVRQENREKMKQKKFDKKVKELRRAVRSSVWKRETIVHQHEYGPEENLEDDMYRKTCTMCGHELTYEKM 种属同源性预测 |
| 宿主/亚型 | Rabbit / IgG |
| 抗体类别 | Polyclonal |
| 产品类型 | Antibody |
| 全称 | xeroderma pigmentosum, complementation group A |
| 别名 | DNA repair protein complementing XP-A cells, Xeroderma pigmentosum group A-complementing protein, XP1, XPAC |
| 计算分子量 | 374aa,42 kDa; 273aa,31 kDa |
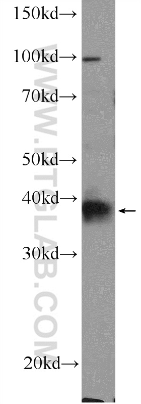
| 观测分子量 | 40 kDa |
| GenBank蛋白编号 | BC014965 |
| 基因名称 | XPA |
| Gene ID (NCBI) | 7507 |
| RRID | AB_2878261 |
| 偶联类型 | Unconjugated |
| 形式 | Liquid |
| 纯化方式 | Antigen affinity purification |
| UNIPROT ID | P23025 |
| 储存缓冲液 | PBS with 0.02% sodium azide and 50% glycerol, pH 7.3. |
| 储存条件 | Store at -20°C. Stable for one year after shipment. Aliquoting is unnecessary for -20oC storage. |
背景介绍
XPA, also named as DNA repair protein complementing XP-A cells, is a 272 amino acid protein, which belongs to the XPA family. XPA is expressed in various cell lines and in skin fibroblasts. XPA is involved in DNA excision repair. Initiates repair by binding to damaged sites with various affinities, depending on the photoproduct and the transcriptional state of the region. XPA is required for UV-induced CHEK1 phosphorylation and the recruitment of CEP164 to cyclobutane pyrimidine dimmers (CPD), sites of DNA damage after UV irradiation. The calculated molecular weight of XPA is 31 kDa, but modified XPA protein is about 40 kDa (PMID: 17848622).
实验方案
| Product Specific Protocols | |
|---|---|
| FC protocol for XPA antibody 16462-1-AP | Download protocol |
| IF protocol for XPA antibody 16462-1-AP | Download protocol |
| IP protocol for XPA antibody 16462-1-AP | Download protocol |
| WB protocol for XPA antibody 16462-1-AP | Download protocol |
| Standard Protocols | |
|---|---|
| Click here to view our Standard Protocols |
发表文章
| Species | Application | Title |
|---|---|---|
Adv Healthc Mater Macromolecular NO-Donor Micelles for Targeted and Augmented Chemotherapy against Prostate Cancer | ||
Front Pharmacol Triptolide enhances carboplatin-induced apoptosis by inhibiting nucleotide excision repair (NER) activity in melanoma | ||
Sci Total Environ AHR-mediated DNA damage contributes to BaP-induced cardiac malformations in zebrafish |










