验证数据展示
经过测试的应用
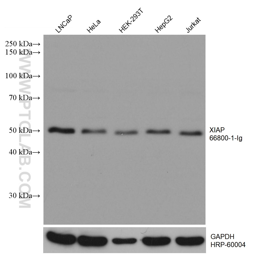
| Positive WB detected in | LNCaP cells, HEK-293 cells, HeLa cells, HepG2 cells, HEK-293T cells, Jurkat cells |
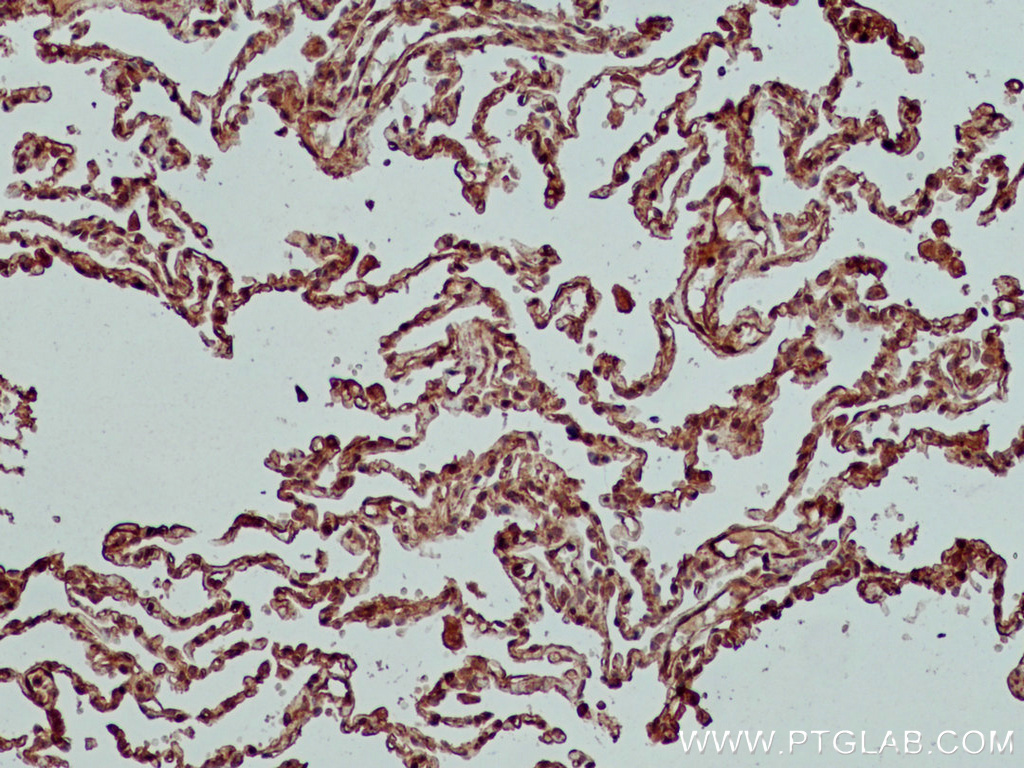
| Positive IHC detected in | human colon tissue, human lung cancer tissue Note: suggested antigen retrieval with TE buffer pH 9.0; (*) Alternatively, antigen retrieval may be performed with citrate buffer pH 6.0 |
| Positive IF-P detected in | human colon cancer tissue, human colon tissue |
| Positive FC (Intra) detected in | HeLa cells |
推荐稀释比
| 应用 | 推荐稀释比 |
|---|---|
| Western Blot (WB) | WB : 1:5000-1:50000 |
| Immunohistochemistry (IHC) | IHC : 1:250-1:1000 |
| Immunofluorescence (IF)-P | IF-P : 1:200-1:800 |
| Flow Cytometry (FC) (INTRA) | FC (INTRA) : 0.40 ug per 10^6 cells in a 100 µl suspension |
| It is recommended that this reagent should be titrated in each testing system to obtain optimal results. | |
| Sample-dependent, Check data in validation data gallery. | |
产品信息
66800-1-Ig targets XIAP in WB, IHC, IF-P, FC (Intra), ELISA applications and shows reactivity with human, mouse, rat samples.
| 经测试应用 | WB, IHC, IF-P, FC (Intra), ELISA Application Description |
| 文献引用应用 | WB, IHC, IF |
| 经测试反应性 | human, mouse, rat |
| 文献引用反应性 | human, mouse |
| 免疫原 |
CatNo: Ag18088 Product name: Recombinant human XIAP protein Source: e coli.-derived, PET28a Tag: 6*His Domain: 1-497 aa of BC032729 Sequence: MTFNSFEGSKTCVPADINKEEEFVEEFNRLKTFANFPSGSPVSASTLARAGFLYTGEGDTVRCFSCHAAVDRWQYGDSAVGRHRKVSPNCRFINGFYLENSATQSTNSGIQNGQYKVENYLGSRDHFALDRPSETHADYLLRTGQVVDISDTIYPRNPAMYSEEARLKSFQNWPDYAHLTPRELASAGLYYTGIGDQVQCFCCGGKLKNWEPCDRAWSEHRRHFPNCFFVLGRNLNIRSESDAVSSDRNFPNSTNLPRNPSMADYEARIFTFGTWIYSVNKEQLARAGFYALGEGDKVKCFHCGGGLTDWKPSEDPWEQHAKWYPGCKYLLEQKGQEYINNIHLTHSLEECLVRTTEKTPSLTRRIDDTIFQNPMVQEAIRMGFSFKDIKKIMEEKIQISGSNYKSLEVLVADLVNAQKDSMQDESSQTSLQKEISTEEQLRRLQEEKLCKICMDRNIAIVFVPCGHLVTCKQCAEAVDKCPMCYTVITFKQKIFMS 种属同源性预测 |
| 宿主/亚型 | Mouse / IgG1 |
| 抗体类别 | Monoclonal |
| 产品类型 | Antibody |
| 全称 | X-linked inhibitor of apoptosis |
| 别名 | 2A1A12, API3, Baculoviral IAP repeat-containing protein 4, E3 ubiquitin-protein ligase XIAP, EC:2.3.2.27 |
| 计算分子量 | 60 kDa |
| 观测分子量 | 57 kDa |
| GenBank蛋白编号 | BC032729 |
| 基因名称 | XIAP |
| Gene ID (NCBI) | 331 |
| RRID | AB_2882143 |
| 偶联类型 | Unconjugated |
| 形式 | Liquid |
| 纯化方式 | Protein G purification |
| UNIPROT ID | P98170 |
| 储存缓冲液 | PBS with 0.02% sodium azide and 50% glycerol, pH 7.3. |
| 储存条件 | Store at -20°C. Stable for one year after shipment. Aliquoting is unnecessary for -20oC storage. |
背景介绍
XIAP, also named as API3, BIRC4 and IAP3, belongs to the IAP family. It has E3 ubiquitin-protein ligase activity. It mediates the proteasomal degradation of target proteins, such as caspase-3, SMAC or AIFM1. XIAP is an inhibitor of caspase-3, -7 and -9. It mediates activation of MAP3K7/TAK1, leading to the activation of NF-kappa-B. XIAP is an apoptotic suppressor. It is ubiquitinated and degraded by the proteasome in apoptotic cells.
实验方案
| Product Specific Protocols | |
|---|---|
| FC protocol for XIAP antibody 66800-1-Ig | Download protocol |
| IF protocol for XIAP antibody 66800-1-Ig | Download protocol |
| IHC protocol for XIAP antibody 66800-1-Ig | Download protocol |
| WB protocol for XIAP antibody 66800-1-Ig | Download protocol |
| Standard Protocols | |
|---|---|
| Click here to view our Standard Protocols |
发表文章
| Species | Application | Title |
|---|---|---|
Int J Pharm Neutrophil membrane-coated nanoparticles for targeted delivery of toll-like receptor 4 siRNA ameliorate LPS-induced acute lung injury | ||
Int J Biol Sci Inhibition of PI3K/AKT signaling via ROS regulation is involved in Rhein-induced apoptosis and enhancement of oxaliplatin sensitivity in pancreatic cancer cells. | ||
Oncol Lett PP2A promotes apoptosis and facilitates docetaxel sensitivity via the PP2A/p-eIF4B/XIAP signaling pathway in prostate cancer. | ||
Gene Study on the mechanism of S100A4-mediated cancer oncogenesis in uveal melanoma cells through the integration of bioinformatics and in vitro experiments | ||













