验证数据展示
经过测试的应用
| Positive WB detected in | HEK-293 cells, HeLa cells, HepG2 cells, MDCK cells, NIH/3T3 cells, PC-12 cells, mouse heart tissue, rat heart tissue |
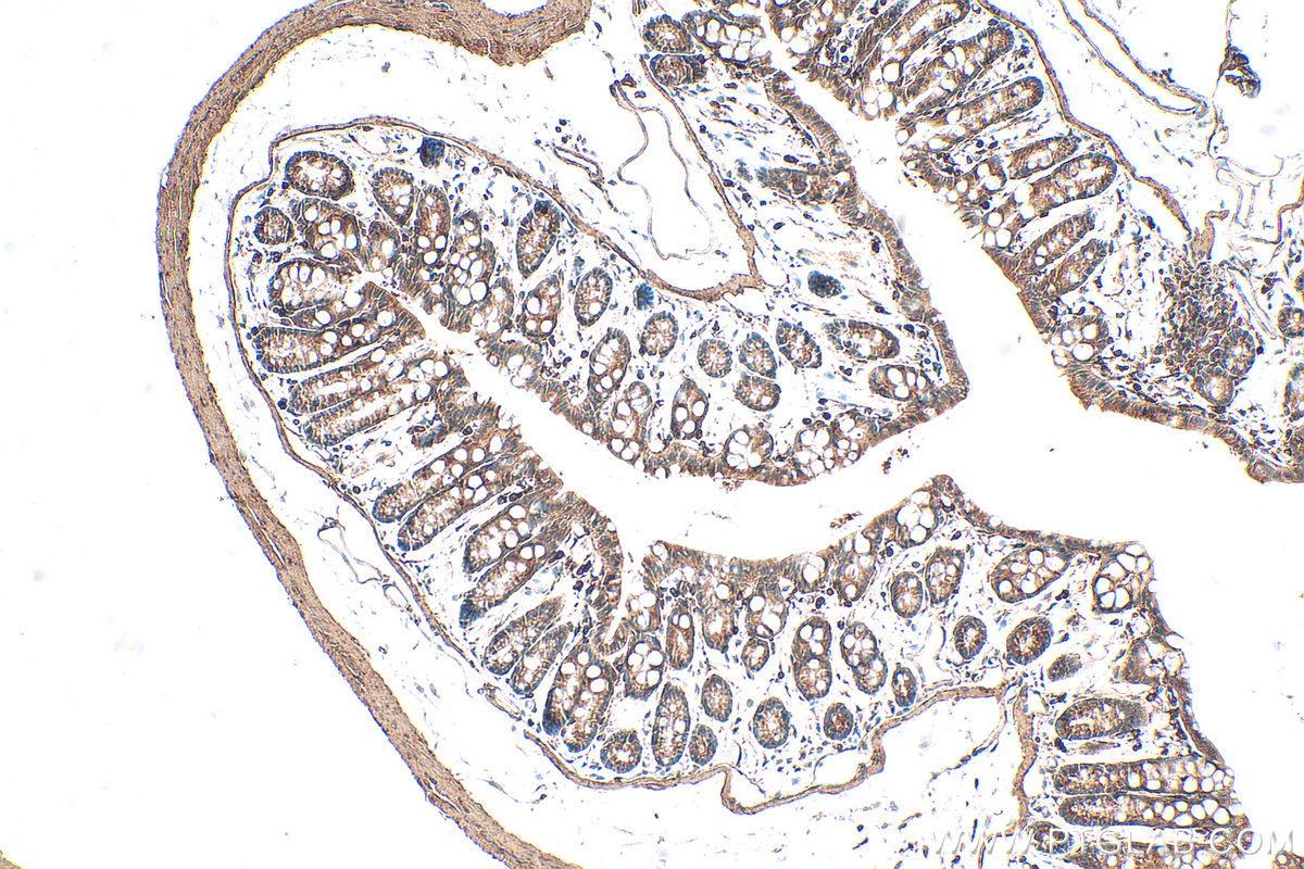
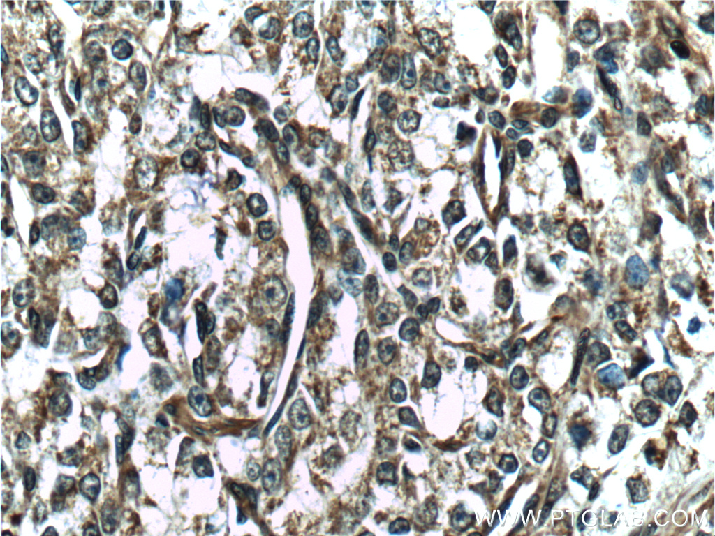
| Positive IHC detected in | mouse colon tissue, human breast cancer tissue, human prostate cancer tissue, human skeletal muscle tissue, mouse skeletal muscle tissue Note: suggested antigen retrieval with TE buffer pH 9.0; (*) Alternatively, antigen retrieval may be performed with citrate buffer pH 6.0 |
| Positive IF-P detected in | mouse colon tissue |
| Positive IF/ICC detected in | HepG2 cells, A549 cells |
| Positive FC (Intra) detected in | HepG2 cells |
推荐稀释比
| 应用 | 推荐稀释比 |
|---|---|
| Western Blot (WB) | WB : 1:5000-1:60000 |
| Immunohistochemistry (IHC) | IHC : 1:1000-1:4000 |
| Immunofluorescence (IF)-P | IF-P : 1:50-1:500 |
| Immunofluorescence (IF)/ICC | IF/ICC : 1:200-1:800 |
| Flow Cytometry (FC) (INTRA) | FC (INTRA) : 0.20 ug per 10^6 cells in a 100 µl suspension |
| It is recommended that this reagent should be titrated in each testing system to obtain optimal results. | |
| Sample-dependent, Check data in validation data gallery. | |
产品信息
26520-1-AP targets Vinculin in WB, IHC, IF/ICC, IF-P, FC (Intra), IP, ELISA applications and shows reactivity with human, mouse, rat, canine samples.
| 经测试应用 | WB, IHC, IF/ICC, IF-P, FC (Intra), ELISA Application Description |
| 文献引用应用 | WB, IF, IP |
| 经测试反应性 | human, mouse, rat, canine |
| 文献引用反应性 | human, mouse, rat, pig, rabbit, canine |
| 免疫原 |
CatNo: Ag24942 Product name: Recombinant human Vinculin protein Source: e coli.-derived, PGEX-4T Tag: GST Domain: 777-1066 aa of BC039174 Sequence: PKFREAVKAASDELSKTISPMVMDAKAVAGNISDPGLQKSFLDSGYRILGAVAKVREAFQPQEPDFPPPPPDLEQLRLTDELAPPKPPLPEGEVPPPRPPPPEEKDEEFPEQKAGEVINQPMMMAARQLHDEARKWSSKGNDIIAAAKRMALLMAEMSRLVRGGSGTKRALIQCAKDIAKASDEVTRLAKEVAKQCTDKRIRTNLLQVCERIPTISTQLKILSTVKATMLGRTNISDEESEQATEMLVHNAQNLMQSVKETVREAEAASIKIRTDAGFTLRWVRKTPWYQ 种属同源性预测 |
| 宿主/亚型 | Rabbit / IgG |
| 抗体类别 | Polyclonal |
| 产品类型 | Antibody |
| 全称 | vinculin |
| 别名 | CMD1W, Metavinculin, MV, MVCL, VCL |
| 计算分子量 | 1133 aa, 124 kDa |
| 观测分子量 | 124 kDa |
| GenBank蛋白编号 | BC039174 |
| 基因名称 | Vinculin |
| Gene ID (NCBI) | 7414 |
| RRID | AB_2868558 |
| 偶联类型 | Unconjugated |
| 形式 | Liquid |
| 纯化方式 | Antigen affinity purification |
| UNIPROT ID | P18206 |
| 储存缓冲液 | PBS with 0.02% sodium azide and 50% glycerol, pH 7.3. |
| 储存条件 | Store at -20°C. Stable for one year after shipment. Aliquoting is unnecessary for -20oC storage. |
背景介绍
Vinculin belongs to the vinculin/alpha-catenin family. It is an actin filament (F-actin)-binding protein which involved in cell-matrix adhesion and cell-cell adhesion. Vinculin regulates cell-surface E-cadherin expression and potentiates mechanosensing by the E-cadherin complex. It may also play important roles in cell morphology and locomotion. Vinculin is a 117-kDa, 1,066-amino-acid protein which is ubiquitously expressed. Its splice variant, metavinculin (124 kDa), is muscle-specific.
实验方案
| Product Specific Protocols | |
|---|---|
| FC protocol for Vinculin antibody 26520-1-AP | Download protocol |
| IF protocol for Vinculin antibody 26520-1-AP | Download protocol |
| IHC protocol for Vinculin antibody 26520-1-AP | Download protocol |
| WB protocol for Vinculin antibody 26520-1-AP | Download protocol |
| Standard Protocols | |
|---|---|
| Click here to view our Standard Protocols |
发表文章
| Species | Application | Title |
|---|---|---|
Cell Metab Electron transport chain inhibition increases cellular dependence on purine transport and salvage | ||
Blood Epigenetic Regulation of Non-canonical Menin Targets Modulates Menin Inhibitor Response in Acute Myeloid Leukemia | ||
ACS Nano Polyethylenimine-Modified Mesoporous Silica Nanoparticles Induce a Survival Mechanism in Vascular Endothelial Cells via Microvesicle-Mediated Autophagosome Release | ||
Adv Sci (Weinh) Highly Effective and Noninvasive Near-Infrared Eradication of a Staphylococcus aureus Biofilm on Implants by a Photoresponsive Coating within 20 Min. | ||
















