验证数据展示
经过测试的应用
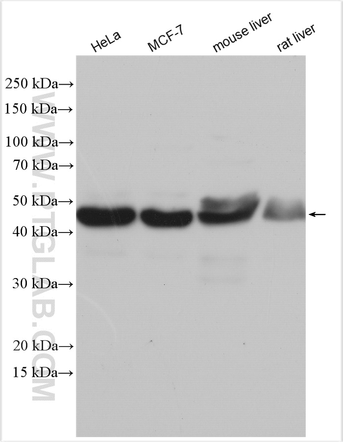
| Positive WB detected in | HeLa cells, human liver tissue, MCF-7 cells, mouse liver tissue, rat liver tissue |
| Positive IHC detected in | human kidney tissue Note: suggested antigen retrieval with TE buffer pH 9.0; (*) Alternatively, antigen retrieval may be performed with citrate buffer pH 6.0 |
| Positive IF-P detected in | human liver tissue |
推荐稀释比
| 应用 | 推荐稀释比 |
|---|---|
| Western Blot (WB) | WB : 1:1000-1:8000 |
| Immunohistochemistry (IHC) | IHC : 1:50-1:500 |
| Immunofluorescence (IF)-P | IF-P : 1:50-1:500 |
| It is recommended that this reagent should be titrated in each testing system to obtain optimal results. | |
| Sample-dependent, Check data in validation data gallery. | |
产品信息
11870-1-AP targets VPS37A in WB, IHC, IF-P, IP, ELISA applications and shows reactivity with human, mouse, rat samples.
| 经测试应用 | WB, IHC, IF-P, ELISA Application Description |
| 文献引用应用 | WB, IHC, IF, IP |
| 经测试反应性 | human, mouse, rat |
| 文献引用反应性 | human, mouse |
| 免疫原 |
CatNo: Ag2453 Product name: Recombinant human VPS37A protein Source: e coli.-derived, PGEX-4T Tag: GST Domain: 1-174 aa of BC022363 Sequence: MPDVPDAFPELSELSVSQLTDMNEQEEVLLEQFLTLPQLKQIITDKDDLVKSIEELARKNLLLEPSLEAKRQTVLDKYELLTQMKSTFEKKMQRQHELSESCSASALQARLKVAAHEAEEESDNIAEDFLEGKMEIDDFLSSFMEKRTICHCRRAKEEKLQQAIAMHSQFHAPL 种属同源性预测 |
| 宿主/亚型 | Rabbit / IgG |
| 抗体类别 | Polyclonal |
| 产品类型 | Antibody |
| 全称 | vacuolar protein sorting 37 homolog A (S. cerevisiae) |
| 别名 | Vacuolar protein sorting-associated protein 37A, hVps37A, Hepatocellular carcinoma-related protein 1, HCRP1, ESCRT-I complex subunit VPS37A |
| 计算分子量 | 44 kDa |
| 观测分子量 | 45 kDa |
| GenBank蛋白编号 | BC022363 |
| 基因名称 | VPS37A |
| Gene ID (NCBI) | 137492 |
| RRID | AB_2215230 |
| 偶联类型 | Unconjugated |
| 形式 | Liquid |
| 纯化方式 | Antigen affinity purification |
| UNIPROT ID | Q8NEZ2 |
| 储存缓冲液 | PBS with 0.02% sodium azide and 50% glycerol, pH 7.3. |
| 储存条件 | Store at -20°C. Stable for one year after shipment. Aliquoting is unnecessary for -20oC storage. |
背景介绍
VPS37A, also named as HCRP1, belongs to the VPS37 family. It is a regulator of vesicular trafficking process. VPS37A is a member of the endosomal sorting complex required for transport (ESCRT) system, in upper motor neuron disease. ESCRT has been shown to play a central role in intracellular trafficking, in the maturation of multivesicular bodies and the sorting of ubiquitinated membrane proteins into internal luminal vesicles.
实验方案
| Product Specific Protocols | |
|---|---|
| IF protocol for VPS37A antibody 11870-1-AP | Download protocol |
| IHC protocol for VPS37A antibody 11870-1-AP | Download protocol |
| WB protocol for VPS37A antibody 11870-1-AP | Download protocol |
| Standard Protocols | |
|---|---|
| Click here to view our Standard Protocols |
发表文章
| Species | Application | Title |
|---|---|---|
Curr Biol UBAP1 is a component of an endosome-specific ESCRT-I complex that is essential for MVB sorting. | ||
Cell Death Dis HCRP-1 regulates EGFR-AKT-BIM-mediated anoikis resistance and serves as a prognostic marker in human colon cancer.
| ||
J Cell Sci The molecular basis for selective assembly of the UBAP1-containing endosome-specific ESCRT-I complex. | ||
J Med Genet A founder mutation in Vps37A causes autosomal recessive complex hereditary spastic paraparesis. |










