验证数据展示
经过测试的应用
| Positive WB detected in | HEK-293 cells, HeLa cells, K-562 cells, mouse brain tissue, rat brain tissue |
| Positive IP detected in | HeLa cells |
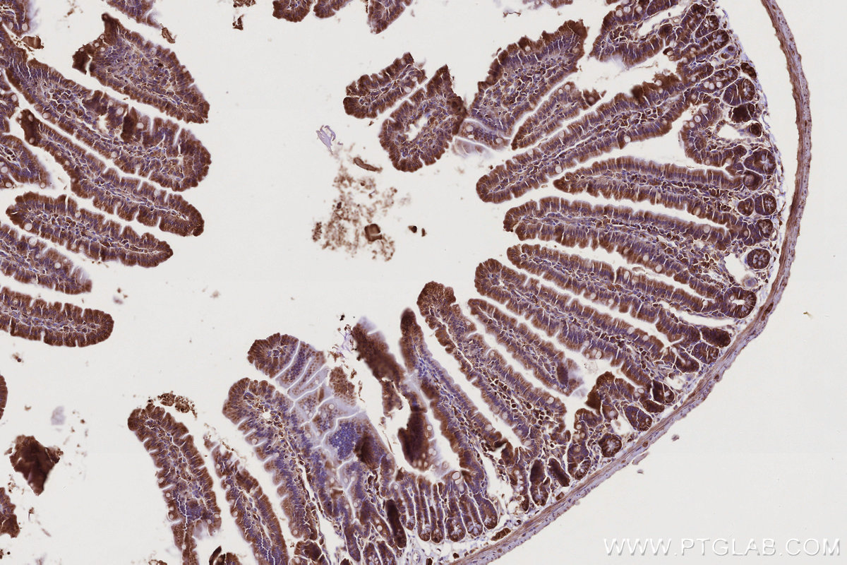
| Positive IHC detected in | human pancreas cancer tissue, human placenta tissue, mouse small intestine tissue, rat testis tissue Note: suggested antigen retrieval with TE buffer pH 9.0; (*) Alternatively, antigen retrieval may be performed with citrate buffer pH 6.0 |
| Positive IF/ICC detected in | HeLa cells |
| Positive FC (Intra) detected in | HeLa cells |
推荐稀释比
| 应用 | 推荐稀释比 |
|---|---|
| Western Blot (WB) | WB : 1:5000-1:50000 |
| Immunoprecipitation (IP) | IP : 0.5-4.0 ug for 1.0-3.0 mg of total protein lysate |
| Immunohistochemistry (IHC) | IHC : 1:50-1:500 |
| Immunofluorescence (IF)/ICC | IF/ICC : 1:200-1:800 |
| Flow Cytometry (FC) (INTRA) | FC (INTRA) : 0.40 ug per 10^6 cells in a 100 µl suspension |
| It is recommended that this reagent should be titrated in each testing system to obtain optimal results. | |
| Sample-dependent, Check data in validation data gallery. | |
产品信息
55054-1-AP targets USP9X in WB, IHC, IF/ICC, FC (Intra), IP, CoIP, ELISA applications and shows reactivity with human, mouse, rat samples.
| 经测试应用 | WB, IHC, IF/ICC, FC (Intra), IP, ELISA Application Description |
| 文献引用应用 | WB, IHC, IF, IP, CoIP |
| 经测试反应性 | human, mouse, rat |
| 文献引用反应性 | human, mouse, rat, pig |
| 免疫原 |
Peptide 种属同源性预测 |
| 宿主/亚型 | Rabbit / IgG |
| 抗体类别 | Polyclonal |
| 产品类型 | Antibody |
| 全称 | ubiquitin specific peptidase 9, X-linked |
| 别名 | Deubiquitinating enzyme FAF-X, DFFRX, EC:3.4.19.12, FAF, FAM |
| 计算分子量 | 292 kDa |
| 观测分子量 | 260-290 kDa |
| GenBank蛋白编号 | NM_001039590 |
| 基因名称 | USP9X |
| Gene ID (NCBI) | 8239 |
| RRID | AB_10792932 |
| 偶联类型 | Unconjugated |
| 形式 | Liquid |
| 纯化方式 | Antigen affinity purification |
| UNIPROT ID | Q93008 |
| 储存缓冲液 | PBS with 0.02% sodium azide and 50% glycerol, pH 7.3. |
| 储存条件 | Store at -20°C. Stable for one year after shipment. Aliquoting is unnecessary for -20oC storage. |
背景介绍
USP9X, also named as DFFRX, FAM and USP9, belongs to the peptidase C19 family. It may function as a ubiquitin-protein or polyubiquitin hydrolase involved both in the processing of ubiquitin precursors and of ubiquitinated proteins. It plays an important role regulatory role at the level of protein turnover by preventing degradation of proteins through the removal of conjugated ubiquitin. USP9X is an essential component of TGF-beta/BMP signaling cascade. Deubiqitination of SMAD4 by USP9X restores its competence to mediate TGF-beta signaling. USP9X regulates chromosome alignment and segregation in mitosis by regulating the localization of BIRC5/survivin to mitotic centromeres. The antibody is specific to USP9X. It has no cross reaction to USP9Y.
实验方案
| Product Specific Protocols | |
|---|---|
| FC protocol for USP9X antibody 55054-1-AP | Download protocol |
| IF protocol for USP9X antibody 55054-1-AP | Download protocol |
| IHC protocol for USP9X antibody 55054-1-AP | Download protocol |
| IP protocol for USP9X antibody 55054-1-AP | Download protocol |
| WB protocol for USP9X antibody 55054-1-AP | Download protocol |
| Standard Protocols | |
|---|---|
| Click here to view our Standard Protocols |
发表文章
| Species | Application | Title |
|---|---|---|
Nat Commun Pharmaceutical targeting of OTUB2 sensitizes tumors to cytotoxic T cells via degradation of PD-L1 | ||
Nat Commun Integrative oncogene-dependency mapping identifies RIT1 vulnerabilities and synergies in lung cancer.
| ||
Nat Commun Antagonistic activities of CDC14B and CDK1 on USP9X regulate WT1-dependent mitotic transcription and survival. | ||
Nat Commun USP9X regulates centrosome duplication and promotes breast carcinogenesis.
| ||
Cell Death Differ USP9X-mediated KDM4C deubiquitination promotes lung cancer radioresistance by epigenetically inducing TGF-β2 transcription. |











