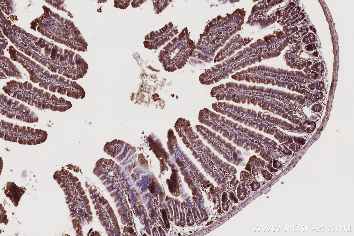
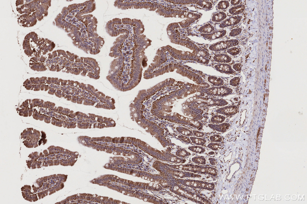
IHCeasy® USP9X Ready-To-Use IHC Kit
USP9X Ready-to-use reagent kit for IHC.
Reactivity
Human, Mouse, Rat
Sample Type
FFPE tissue
Cat no : KHC2770
Synonyms
Deubiquitinating enzyme FAF-X, DFFRX, EC:3.4.19.12, FAF, FAM
Validation Data Gallery
Product Information
KHC2770 is a ready-to-use IHC kit for staining of USP9X. The kit provides all reagents, from antigen retrieval to cover slip mounting, that require little to no diluting or handling prior to use. Simply apply the reagents to your sample slide according to the protocol and you're steps away from obtaining high-quality IHC data.
| Product name | IHCeasy USP9X Ready-To-Use IHC Kit |
| Sample type | FFPE tissue |
| Assay type | Immunohistochemistry |
| Primary antibody type | Rabbit Polyclonal |
| Secondary antibody type | Polymer-HRP-Goat anti-Rabbit |
| Reactivity | Human, Mouse, Rat |
Kit components
| Component | Size | Concentration |
|---|---|---|
| Antigen Retrieval Buffer | 100 mL | 50× |
| Washing Buffer | 100 mL ×2 | 20× |
| Blocking Buffer | 5 mL | RTU |
| Primary Antibody | 5 mL | RTU |
| Secondary Antibody | 5 mL | RTU |
| Chromogen Component A | 0.2 mL | RTU |
| Chromogen Component B | 4 mL | RTU |
| Signal Enhancer | 5 mL | RTU |
| Counter Staining Reagent | 5 mL | RTU |
| Mounting Media | 5 mL | RTU |
| Datasheet | 1 Copy | |
| Manual | 1 Copy |
Background Information
USP9X, also named as DFFRX, FAM and USP9, belongs to the peptidase C19 family. It may function as a ubiquitin-protein or polyubiquitin hydrolase involved both in the processing of ubiquitin precursors and of ubiquitinated proteins. It plays an important role regulatory role at the level of protein turnover by preventing degradation of proteins through the removal of conjugated ubiquitin. USP9X is an essential component of TGF-beta/BMP signaling cascade. Deubiqitination of SMAD4 by USP9X restores its competence to mediate TGF-beta signaling. USP9X regulates chromosome alignment and segregation in mitosis by regulating the localization of BIRC5/survivin to mitotic centromeres.
Properties
| Storage Instructions | All the reagents are stored at 2-8°C. The kit is stable for 6 months from the date of receipt. |
| Synonyms | Deubiquitinating enzyme FAF-X, DFFRX, EC:3.4.19.12, FAF, FAM |







