验证数据展示
经过测试的应用
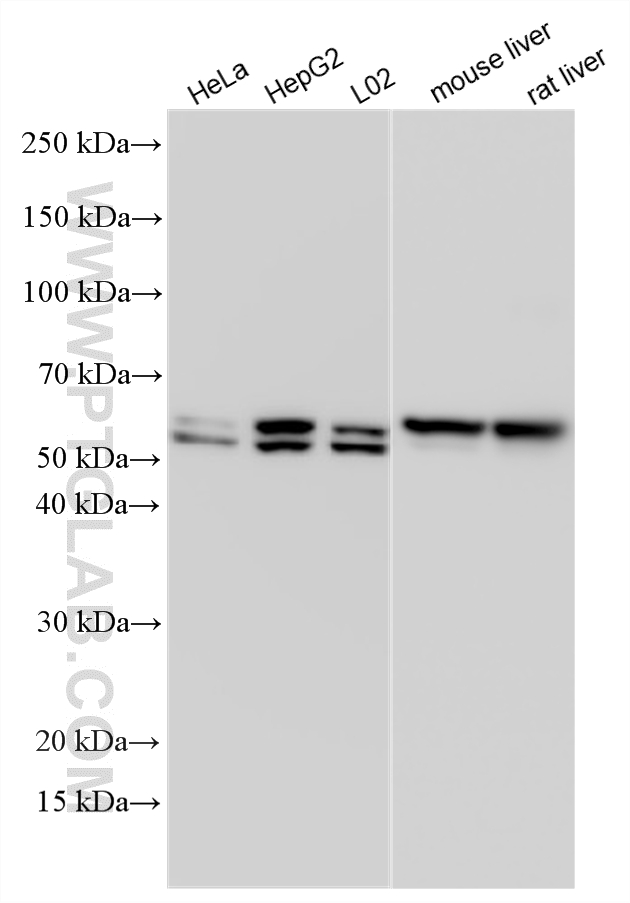
| Positive WB detected in | HeLa cells, HepG2 cells, mouse liver tissue, L02 cells, rat liver tissue |
| Positive IHC detected in | human ovary tumor tissue, human kidney tissue, human liver cancer tissue Note: suggested antigen retrieval with TE buffer pH 9.0; (*) Alternatively, antigen retrieval may be performed with citrate buffer pH 6.0 |
| Positive IF/ICC detected in | HepG2 cells |
推荐稀释比
| 应用 | 推荐稀释比 |
|---|---|
| Western Blot (WB) | WB : 1:2000-1:20000 |
| Immunohistochemistry (IHC) | IHC : 1:100-1:1000 |
| Immunofluorescence (IF)/ICC | IF/ICC : 1:50-1:500 |
| It is recommended that this reagent should be titrated in each testing system to obtain optimal results. | |
| Sample-dependent, Check data in validation data gallery. | |
发表文章中的应用
| KD/KO | See 3 publications below |
| WB | See 5 publications below |
| IHC | See 3 publications below |
产品信息
10391-1-AP targets UGP2 in WB, IHC, IF/ICC, ELISA applications and shows reactivity with human, mouse, rat samples.
| 经测试应用 | WB, IHC, IF/ICC, ELISA Application Description |
| 文献引用应用 | WB, IHC |
| 经测试反应性 | human, mouse, rat |
| 文献引用反应性 | human, rat |
| 免疫原 |
CatNo: Ag0590 Product name: Recombinant human UGP2 protein Source: e coli.-derived, PGEX-4T Tag: GST Domain: 2-288 aa of BC002954 Sequence: SQDGASQFQEVIRQELELSVKKELEKILTTASSHEFEHTKKDLDGFRKLFHRFLQEKGPSVDWGKIQRPPEDSIQPYEKIKARGLPDNISSVLNKLVVVKLNGGLGTSMGCKGPKSLIGVRNENTFLDLTVQQIEHLNKTYNTDVPLVLMNSFNTDEDTKKILQKYNHCRVKIYTFNQSRYPRINKESLLPVAKDVSYSGENTEAWYPPGHGDIYASFYNSGLLDTFIGEGKEYIFVSNIDNLGATVDLYILNHLMNPPNGKRCEFVMEVTNKTRADVKGGTLTQYE 种属同源性预测 |
| 宿主/亚型 | Rabbit / IgG |
| 抗体类别 | Polyclonal |
| 产品类型 | Antibody |
| 全称 | UDP-glucose pyrophosphorylase 2 |
| 别名 | EC:2.7.7.9, UDPG, UDP-glucose pyrophosphorylase, UDPGP2, UGPase |
| 计算分子量 | 56 kDa |
| 观测分子量 | 50-56 kDa |
| GenBank蛋白编号 | BC002954 |
| 基因名称 | UGP2 |
| Gene ID (NCBI) | 7360 |
| RRID | AB_2272775 |
| 偶联类型 | Unconjugated |
| 形式 | Liquid |
| 纯化方式 | Antigen affinity purification |
| UNIPROT ID | Q16851 |
| 储存缓冲液 | PBS with 0.02% sodium azide and 50% glycerol, pH 7.3. |
| 储存条件 | Store at -20°C. Stable for one year after shipment. Aliquoting is unnecessary for -20oC storage. |
背景介绍
UDP-glucose pyrophosphorylase 2 (UGP2, synonyms: UDPG, UGPP2, UDPGP2, Phc379)is an important intermediary in mammalian carbohydrate interconversions. It transfers a glucose moiety from glucose-1-phosphate to MgUTP and forms UDP-glucose and MgPPi. In liver and muscle tissue, UDP-glucose is a direct precursor of glycogen; in lactating mammary gland it is converted to UDP-galactose which is then converted to lactose. So far two isoforms are encoded by two transcript variants have been found.
实验方案
| Product Specific Protocols | |
|---|---|
| IF protocol for UGP2 antibody 10391-1-AP | Download protocol |
| IHC protocol for UGP2 antibody 10391-1-AP | Download protocol |
| WB protocol for UGP2 antibody 10391-1-AP | Download protocol |
| Standard Protocols | |
|---|---|
| Click here to view our Standard Protocols |
发表文章
| Species | Application | Title |
|---|---|---|
iScience MYCT1 alters the glycogen shunt by regulating selective translation of RACK1-mediated enzymes. | ||
Toxicol Sci Mitochondrial prohibitins and septin 9 are implicated in the onset of rat hepatocarcinogenesis. | ||
Dis Markers Low UGP2 Expression Is Associated with Tumour Progression and Predicts Poor Prognosis in Hepatocellular Carcinoma. | ||
J Cell Biochem Identification of UGP2 as a progression marker that promotes cell growth and motility in human glioma.
| ||
bioRxiv Glucose-dependent glycosphingolipid biosynthesis fuels CD8 + T cell function and tumor control
| ||
Sci Rep UGP2 is a potential target for breast cancer, based on bioinformatics analysis and in vitro experiments.
|








