验证数据展示
产品信息
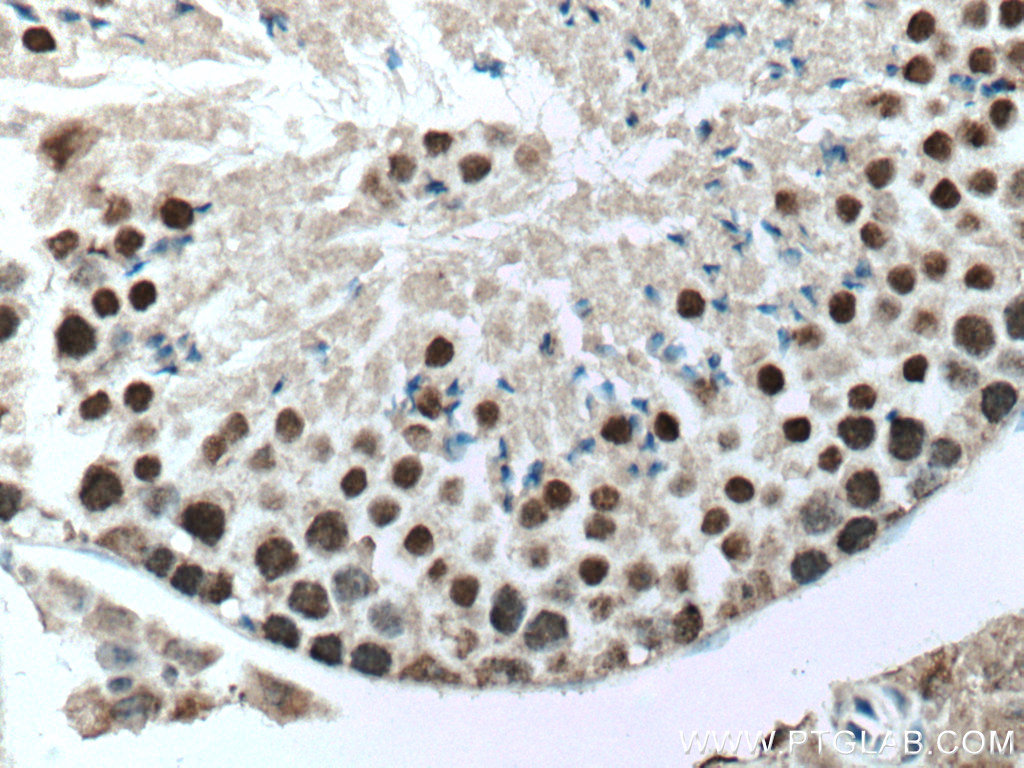
66937-1-PBS targets UBR5 in WB, IHC, Indirect ELISA applications and shows reactivity with Human, mouse, rat samples.
| 经测试应用 | WB, IHC, Indirect ELISA Application Description |
| 经测试反应性 | Human, mouse, rat |
| 免疫原 |
CatNo: Ag18753 Product name: Recombinant human UBR5 protein Source: e coli.-derived, PET28a Tag: 6*His Domain: 2450-2799 aa of BC137234 Sequence: IAHGRENGADSILDLGLVDSSEKVQQENRKRHGSSRSVVDMDLDDTDDGDDNAPLFYQPGKRGFYTPRPGKNTEARLNCFRNIGRILGLCLLQNELCPITLNRHVIKVLLGRKVNWHDFAFFDPVMYESLRQLILASQSSDADAVFSAMDLAFAIDLCKEEGGGQVELIPNGVNIPVTPQNVYEYVRKYAEHRMLVVAEQPLHAMRKGLLDVLPKNSLEDLTAEDFRLLVNGCGEVNVQMLISFTSFNDESGENAEKLLQFKRWFWSIVEKMSMTERQDLVYFWTSSPSLPASEEGFQPMPSITIRPPDDQHLPTANTCISRLYVPLYSSKQILKQKLLLAIKTKNFGFV 种属同源性预测 |
| 宿主/亚型 | Mouse / IgG1 |
| 抗体类别 | Monoclonal |
| 产品类型 | Antibody |
| 全称 | ubiquitin protein ligase E3 component n-recognin 5 |
| 别名 | DD5, EDD, EDD1, FLJ11310, hHYD, HYD, KIAA0896, Progestin induced protein, UBR5 |
| 计算分子量 | 2799 aa, 309 kDa |
| 观测分子量 | 309 kDa |
| GenBank蛋白编号 | BC137234 |
| 基因名称 | UBR5 |
| Gene ID (NCBI) | 51366 |
| RRID | AB_2882261 |
| 偶联类型 | Unconjugated |
| 形式 | Liquid |
| 纯化方式 | Protein G purification |
| UNIPROT ID | O95071 |
| 储存缓冲液 | PBS only, pH 7.3. |
| 储存条件 | Store at -80°C. The product is shipped with ice packs. Upon receipt, store it immediately at -80°C |
背景介绍
UBR5, also named as ubiquitin protein ligase E3 component n-reconin5, is a HECT domain-containing protein as a myocardin-binding protein. UBR5 is highly conserved in metazoans, has unique structural features, and has been implicated in regulation of DNA damage response, metabolism, transcription, and apoptosis. Hence, UBR5 is a key regulator of cell signaling relevant to broad areas of cancer biology (PMID: 26464214). The human UBR5 gene has 59 exons, encoding an approximately 10kb mRNA and >300 kDa protein with widespread expression in various cell types.















