验证数据展示
经过测试的应用
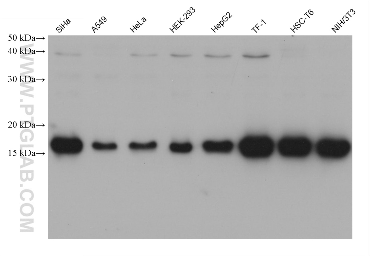
| Positive WB detected in | SiHa cells, HeLa cells, HEK-293 cells, HepG2 cells, A549 cells, TF-1 cells, HSC-T6 cells, NIH/3T3 cells |
| Positive IHC detected in | human lung cancer tissue, human colon cancer tissue Note: suggested antigen retrieval with TE buffer pH 9.0; (*) Alternatively, antigen retrieval may be performed with citrate buffer pH 6.0 |
| Positive IF/ICC detected in | HeLa cells |
推荐稀释比
| 应用 | 推荐稀释比 |
|---|---|
| Western Blot (WB) | WB : 1:5000-1:50000 |
| Immunohistochemistry (IHC) | IHC : 1:200-1:800 |
| Immunofluorescence (IF)/ICC | IF/ICC : 1:400-1:1600 |
| It is recommended that this reagent should be titrated in each testing system to obtain optimal results. | |
| Sample-dependent, Check data in validation data gallery. | |
产品信息
66087-1-Ig targets UBE2C in WB, IHC, IF/ICC, CoIP, ELISA applications and shows reactivity with human, mouse, rat samples.
| 经测试应用 | WB, IHC, IF/ICC, ELISA Application Description |
| 文献引用应用 | WB, IHC, IF, CoIP |
| 经测试反应性 | human, mouse, rat |
| 文献引用反应性 | human, mouse |
| 免疫原 |
CatNo: Ag19235 Product name: Recombinant human UBE2C protein Source: e coli.-derived, PET28a Tag: 6*His Domain: 1-179 aa of BC016292 Sequence: MASQNRDPAATSVAAARKGAEPSGGAARGPVGKRLQQELMTLMMSGDKGISAFPESDNLFKWVGTIHGAAGTVYEDLRYKLSLEFPSGYPYNAPTVKFLTPCYHPNVDTQGNICLDILKEKWSALYDVRTILLSIQSLLGEPNIDSPLNTHAAELWKNPTAFKKYLQETYSKQVTSQEP 种属同源性预测 |
| 宿主/亚型 | Mouse / IgG1 |
| 抗体类别 | Monoclonal |
| 产品类型 | Antibody |
| 全称 | ubiquitin-conjugating enzyme E2C |
| 别名 | (E3-independent) E2 ubiquitin-conjugating enzyme C, 1C12H8, E2 ubiquitin-conjugating enzyme C, EC:2.3.2.23, EC:2.3.2.24 |
| 计算分子量 | 179 aa, 20 kDa |
| 观测分子量 | 20 kDa |
| GenBank蛋白编号 | BC016292 |
| 基因名称 | UBE2C |
| Gene ID (NCBI) | 11065 |
| RRID | AB_11232220 |
| 偶联类型 | Unconjugated |
| 形式 | Liquid |
| 纯化方式 | Protein G purification |
| UNIPROT ID | O00762 |
| 储存缓冲液 | PBS with 0.02% sodium azide and 50% glycerol, pH 7.3. |
| 储存条件 | Store at -20°C. Stable for one year after shipment. Aliquoting is unnecessary for -20oC storage. |
背景介绍
UBE2C(Ubiquitin-conjugating enzyme E2 C) is also known as UBCH10 and belongs to the ubiquitin-conjugating enzyme family. It is highly expressed in a variety of human primary tumors, and it is able to promote cell proliferation and malignant transformation(PMID:18703417). UBE2C, along with the E3 ligase of the anaphasepromoting complex (APC), catalyzes the ubiquitination of mitotic cyclins A and B, as well as securin. UBE2C is essential for cell cycle progression, and mutation of its active site cysteine confers a dominant-negative phenotype(PMID:17217624).
实验方案
| Product Specific Protocols | |
|---|---|
| IF protocol for UBE2C antibody 66087-1-Ig | Download protocol |
| IHC protocol for UBE2C antibody 66087-1-Ig | Download protocol |
| WB protocol for UBE2C antibody 66087-1-Ig | Download protocol |
| Standard Protocols | |
|---|---|
| Click here to view our Standard Protocols |
发表文章
| Species | Application | Title |
|---|---|---|
Cell Rep Med Distinctive multicellular immunosuppressive hubs confer different intervention strategies for left- and right-sided colon cancers | ||
Elife Renal medullary carcinomas depend upon SMARCB1 loss and are sensitive to proteasome inhibition. | ||
Cancer Lett LINC01194 recruits NUMA1 to promote ubiquitination of RYR2 to enhance malignant progression in triple-negative breast cancer. | ||
Int J Biol Sci PRPF6 promotes androgen receptor/androgen receptor-variant 7 actions in castration-resistant prostate cancer cells. | ||
FEBS J Silencing ubiquitin-conjugating enzyme 2C inhibits proliferation and epithelial-mesenchymal transition in pancreatic ductal adenocarcinoma.
|







