验证数据展示
经过测试的应用
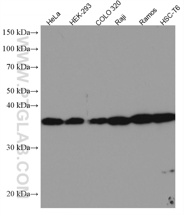
| Positive WB detected in | HeLa cells, COLO 320 cells, HEK-293 cells, Raji cells, Ramos cells, HSC-T6 cells | 
| Positive IP detected in | HeLa cells | 
| Positive IHC detected in | human breast cancer tissue, human liver cancer tissue Note: suggested antigen retrieval with TE buffer pH 9.0; (*) Alternatively, antigen retrieval may be performed with citrate buffer pH 6.0 | 
| Positive IF/ICC detected in | HEK-293 cells, HepG2 cells | 
| Positive FC (Intra) detected in | Ramos cells | 
推荐稀释比
| 应用 | 推荐稀释比 | 
|---|---|
| Western Blot (WB) | WB : 1:1000-1:6000 | 
| Immunoprecipitation (IP) | IP : 0.5-4.0 ug for 1.0-3.0 mg of total protein lysate | 
| Immunohistochemistry (IHC) | IHC : 1:500-1:2000 | 
| Immunofluorescence (IF)/ICC | IF/ICC : 1:1000-1:4000 | 
| Flow Cytometry (FC) (INTRA) | FC (INTRA) : 0.40 ug per 10^6 cells in a 100 µl suspension | 
| It is recommended that this reagent should be titrated in each testing system to obtain optimal results. | |
| Sample-dependent, Check data in validation data gallery. | |
发表文章中的应用
| WB | See 6 publications below | 
产品信息
60289-1-Ig targets U2AF35 in WB, IHC, IF/ICC, FC (Intra), IP, ELISA applications and shows reactivity with human, mouse, rat samples.
| 经测试应用 | WB, IHC, IF/ICC, FC (Intra), IP, ELISA Application Description | 
| 文献引用应用 | WB | 
| 经测试反应性 | human, mouse, rat | 
| 文献引用反应性 | human | 
| 免疫原 | CatNo: Ag0399 Product name: Recombinant human U2AF35 protein Source: e coli.-derived, PGEX-4T Tag: GST Domain: 26-240 aa of BC001923 Sequence: ACRHGDRCSRLHNKPTFSQTIALLNIYRNPQNSSQSADGLRCAVSDVEMQEHYDEFFEEVFTEMEEKYGEVEEMNVCDNLGDHLVGNVYVKFRREEDAEKAVIDLNNRWFNGQPIHAELSPVTDFREACCRQYEMGECTRGGFCNFMHLKPISRELRRELYGRRRKKHRSRSRSRERRSRSRDRGRGGGGGGGGGGGGRERDRRRSRDRERSGRF种属同源性预测 | 
| 宿主/亚型 | Mouse / IgG2c | 
| 抗体类别 | Monoclonal | 
| 产品类型 | Antibody | 
| 全称 | U2 small nuclear RNA auxiliary factor 1 | 
| 别名 | U2AF1, U2AFBP, RNU2AF1, RN, FP793 | 
| 计算分子量 | 28 kDa | 
| 观测分子量 | 35-40 kDa | 
| GenBank蛋白编号 | BC001923 | 
| 基因名称 | U2AF1 | 
| Gene ID (NCBI) | 7307 | 
| RRID | AB_2858277 | 
| 偶联类型 | Unconjugated | 
| 形式 | Liquid | 
| 纯化方式 | Protein A purification | 
| UNIPROT ID | Q01081 | 
| 储存缓冲液 | PBS with 0.02% sodium azide and 50% glycerol, pH 7.3. | 
| 储存条件 | Store at -20°C. Stable for one year after shipment. Aliquoting is unnecessary for -20oC storage. | 
背景介绍
U2 auxiliary factor (U2AF), comprising a large and a small subunit, is a non-snRNP protein required for the binding of U2 snRNP to the pre-mRNA branch site. U2 (RNU2) small nuclear RNA auxiliary factor 1 (U2AF1,synonyms: RN, FP793, U2AF35, U2AFBP, RNU2AF1)is the small subunit which plays a critical role in both constitutive and enhancer-dependent RNA splicing by directly mediating interactions between the large subunit and proteins bound to the enhancers. The U2AF1 gene is localized to chromosome 21q22.3, which is the critical region for three diseases, progressive myoclonus epilepsy, autoimmune polyglandular disease type 1, and one form of bipolar affective disorder. The calculated molecular weight of U2AF35 is 28 kDa, but the modified U2AF35 protein is about 35-40 kDa.
实验方案
| Product Specific Protocols | |
|---|---|
| IF protocol for U2AF35 antibody 60289-1-Ig | Download protocol | 
| IHC protocol for U2AF35 antibody 60289-1-Ig | Download protocol | 
| IP protocol for U2AF35 antibody 60289-1-Ig | Download protocol | 
| WB protocol for U2AF35 antibody 60289-1-Ig | Download protocol | 
| Standard Protocols | |
|---|---|
| Click here to view our Standard Protocols | 
发表文章
| Species | Application | Title | 
|---|---|---|
| Nat Commun SPF45/RBM17-dependent, but not U2AF-dependent, splicing in a distinct subset of human short introns. | ||
| Mol Neurodegener Nuclear speckle specific hnRNP D-like prevents age- and AD-related cognitive decline by modulating RNA splicing. | ||
| Nucleic Acids Res Stoichiometries of U2AF35, U2AF65 and U2 snRNP reveal new early spliceosome assembly pathways. | ||
| Cancer Res Mutant U2AF1-induced mis-splicing of mRNA translation genes confers resistance to chemotherapy in acute myeloid leukemia | ||
| Nat Commun Metabolic labeling based methylome profiling enables functional dissection of histidine methylation in C3H1 zinc fingers | 











