IHCeasy® U2AF1 Ready-To-Use IHC Kit
U2AF1 Ready-to-use reagent kit for IHC.
Reactivity
Human, Mouse, Rat
Sample Type
FFPE tissue
Cat no : KHC1661
Synonyms
FP793, RN, RNU2AF1, U2AF1, U2AF35, U2AFBP
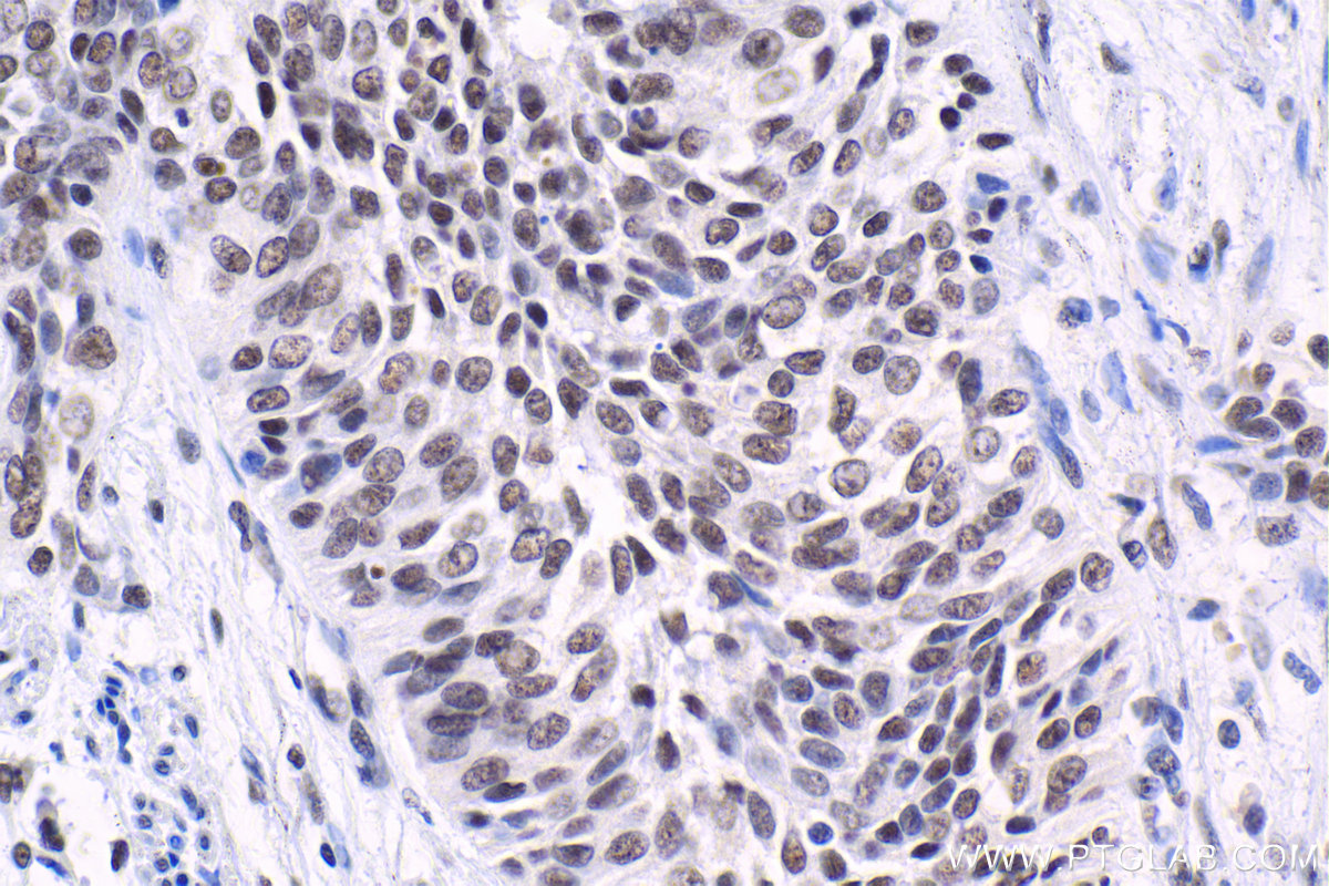
Validation Data Gallery
Product Information
KHC1661 is a ready-to-use IHC kit for staining of U2AF1. The kit provides all reagents, from antigen retrieval to cover slip mounting, that require little to no diluting or handling prior to use. Simply apply the reagents to your sample slide according to the protocol and you're steps away from obtaining high-quality IHC data.
| Product name | IHCeasy U2AF1 Ready-To-Use IHC Kit |
| Sample type | FFPE tissue |
| Assay type | Immunohistochemistry |
| Primary antibody type | Mouse Monoclonal |
| Secondary antibody type | Polymer-HRP-Goat anti-Mouse |
| Reactivity | Human, Mouse, Rat |
Kit components
| Component | Size | Concentration |
|---|---|---|
| Antigen Retrieval Buffer | 100 mL | 50× |
| Washing Buffer | 100 mL ×2 | 20× |
| Blocking Buffer | 5 mL | RTU |
| Primary Antibody | 5 mL | RTU |
| Secondary Antibody | 5 mL | RTU |
| Chromogen Component A | 0.2 mL | RTU |
| Chromogen Component B | 4 mL | RTU |
| Signal Enhancer | 5 mL | RTU |
| Counter Staining Reagent | 5 mL | RTU |
| Mounting Media | 5 mL | RTU |
| Datasheet | 1 Copy | |
| Manual | 1 Copy |
Background Information
U2 auxiliary factor (U2AF), comprising a large and a small subunit, is a non-snRNP protein required for the binding of U2 snRNP to the pre-mRNA branch site. U2 (RNU2) small nuclear RNA auxiliary factor 1 (U2AF1,synonyms: RN, FP793, U2AF35, U2AFBP, RNU2AF1)is the small subunit which plays a critical role in both constitutive and enhancer-dependent RNA splicing by directly mediating interactions between the large subunit and proteins bound to the enhancers. The U2AF1 gene is localized to chromosome 21q22.3, which is the critical region for three diseases, progressive myoclonus epilepsy, autoimmune polyglandular disease type 1, and one form of bipolar affective disorder.
Properties
| Storage Instructions | All the reagents are stored at 2-8°C. The kit is stable for 6 months from the date of receipt. |
| Synonyms | FP793, RN, RNU2AF1, U2AF1, U2AF35, U2AFBP |




