验证数据展示
经过测试的应用
| Positive WB detected in | human placenta tissue |
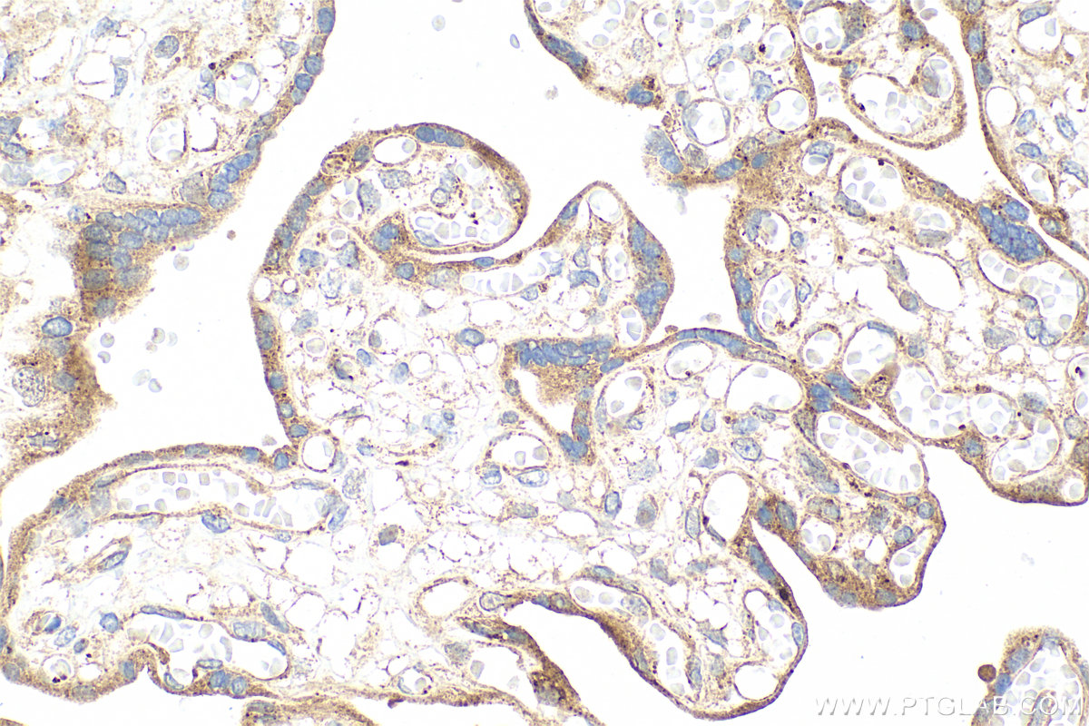
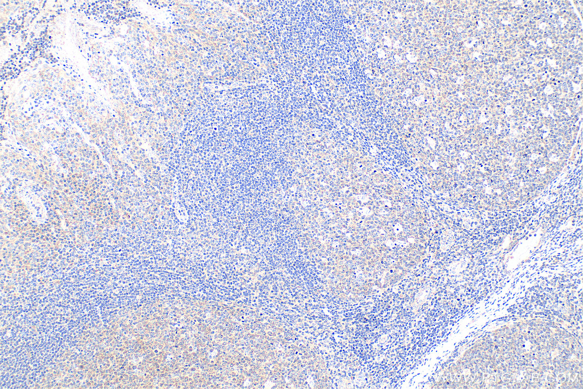
| Positive IHC detected in | human tonsillitis tissue, human placenta tissue Note: suggested antigen retrieval with TE buffer pH 9.0; (*) Alternatively, antigen retrieval may be performed with citrate buffer pH 6.0 |
| Positive FC (Intra) detected in | HeLa cells, MDA-MB-231 cells |
推荐稀释比
| 应用 | 推荐稀释比 |
|---|---|
| Western Blot (WB) | WB : 1:5000-1:50000 |
| Immunohistochemistry (IHC) | IHC : 1:200-1:800 |
| Flow Cytometry (FC) (INTRA) | FC (INTRA) : 0.25 ug per 10^6 cells in a 100 µl suspension |
| It is recommended that this reagent should be titrated in each testing system to obtain optimal results. | |
| Sample-dependent, Check data in validation data gallery. | |
产品信息
83627-1-RR targets Timp-3 in WB, IHC, FC (Intra), ELISA applications and shows reactivity with human samples.
| 经测试应用 | WB, IHC, FC (Intra), ELISA Application Description |
| 经测试反应性 | human |
| 免疫原 |
CatNo: Ag34657 Product name: Recombinant human Timp-3 protein Source: e coli.-derived, PGEX-4T Tag: GST Domain: 168-211 aa of BC014277 Sequence: MLSNFGYPGYQSKHYACIRQKGGYCSWYRGWAPPDKSIINATDP 种属同源性预测 |
| 宿主/亚型 | Rabbit / IgG |
| 抗体类别 | Recombinant |
| 产品类型 | Antibody |
| 全称 | TIMP metallopeptidase inhibitor 3 |
| 别名 | TIMP3, 240374D8, HSMRK222, K222, K222TA2 |
| 计算分子量 | 24 kDa |
| 观测分子量 | 24-33 kDa |
| GenBank蛋白编号 | BC014277 |
| 基因名称 | TIMP3 |
| Gene ID (NCBI) | 7078 |
| RRID | AB_3671240 |
| 偶联类型 | Unconjugated |
| 形式 | Liquid |
| 纯化方式 | Protein A purfication |
| UNIPROT ID | P35625 |
| 储存缓冲液 | PBS with 0.02% sodium azide and 50% glycerol, pH 7.3. |
| 储存条件 | Store at -20°C. Stable for one year after shipment. Aliquoting is unnecessary for -20oC storage. |
背景介绍
Timp-3 (TIMP metallopeptidase inhibitor 3), also known as SFD. It is expected to be located in extracellular space, and the protein is enriched in the placenta tissue and fat tissue. The proteins encoded by this gene family are inhibitors of the matrix metalloproteinases, a group of peptidases involved in degradation of the extracellular matrix (ECM). Expression of this gene is induced in response to mitogenic stimulation, and this netrin domain-containing protein is localized to the ECM. Mutations in this gene have been associated with the autosomal dominant disorder Sorsby's fundus dystrophy. TIMP-3 is expressed as an unglycosylated 24 kDa and glycosylated 29 kDa protein with inhibitory activity against interstitial collagenase, stromelysin-1, and gelatinases A and B (PMID:11827795).
实验方案
| Product Specific Protocols | |
|---|---|
| FC protocol for Timp-3 antibody 83627-1-RR | Download protocol |
| IHC protocol for Timp-3 antibody 83627-1-RR | Download protocol |
| WB protocol for Timp-3 antibody 83627-1-RR | Download protocol |
| Standard Protocols | |
|---|---|
| Click here to view our Standard Protocols |





