WB Figures
WB analysis of HEK-293 using 16263-1-AP (same clone as 16263-1-PBS)
HEK-293 cells were subjected to SDS PAGE followed by western blot with 16263-1-AP (TSR2 Antibody) at dilution of 1:600 incubated at room temperature for 1.5 hours. This data was developed using the same antibody clone with 16263-1-PBS in a different storage buffer formulation.
WB analysis of HeLa using 16263-1-AP (same clone as 16263-1-PBS)
HeLa cells were subjected to SDS PAGE followed by western blot with 16263-1-AP (TSR2 antibody) at dilution of 1:400 incubated at room temperature for 1.5 hours. This data was developed using the same antibody clone with 16263-1-PBS in a different storage buffer formulation.
WB analysis of mouse kidney using 16263-1-AP (same clone as 16263-1-PBS)
mouse kidney tissue were subjected to SDS PAGE followed by western blot with 16263-1-AP (TSR2 Antibody) at dilution of 1:600 incubated at room temperature for 1.5 hours. This data was developed using the same antibody clone with 16263-1-PBS in a different storage buffer formulation.
IHC Figures
IHC staining of human epididymis using 16263-1-AP (same clone as 16263-1-PBS)
Immunohistochemical analysis of paraffin-embedded human epididymis using 16263-1-AP (TSR2 antibody) at dilution of 1:50 (under 10x lens). This data was developed using the same antibody clone with 16263-1-PBS in a different storage buffer formulation.
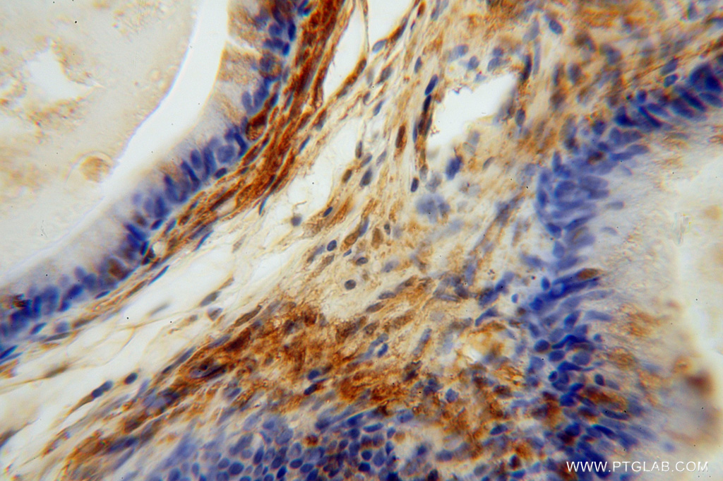
IHC staining of human epididymis using 16263-1-AP (same clone as 16263-1-PBS)
Immunohistochemical analysis of paraffin-embedded human epididymis using 16263-1-AP (TSR2 antibody) at dilution of 1:50 (under 40x lens). This data was developed using the same antibody clone with 16263-1-PBS in a different storage buffer formulation.
IHC staining of human heart using 16263-1-AP (same clone as 16263-1-PBS)
Immunohistochemical analysis of paraffin-embedded human heart using 16263-1-AP (TSR2 antibody) at dilution of 1:50 (under 10x lens). This data was developed using the same antibody clone with 16263-1-PBS in a different storage buffer formulation.
IHC staining of human heart using 16263-1-AP (same clone as 16263-1-PBS)
Immunohistochemical analysis of paraffin-embedded human heart using 16263-1-AP (TSR2 antibody) at dilution of 1:50 (under 40x lens). This data was developed using the same antibody clone with 16263-1-PBS in a different storage buffer formulation.
IHC staining of human kidney using 16263-1-AP (same clone as 16263-1-PBS)
Immunohistochemical analysis of paraffin-embedded human kidney using 16263-1-AP (TSR2 antibody) at dilution of 1:50 (under 10x lens). This data was developed using the same antibody clone with 16263-1-PBS in a different storage buffer formulation.
IHC staining of human kidney using 16263-1-AP (same clone as 16263-1-PBS)
Immunohistochemical analysis of paraffin-embedded human kidney using 16263-1-AP (TSR2 antibody) at dilution of 1:50 (under 40x lens). This data was developed using the same antibody clone with 16263-1-PBS in a different storage buffer formulation.
IHC staining of human liver using 16263-1-AP (same clone as 16263-1-PBS)
Immunohistochemical analysis of paraffin-embedded human liver using 16263-1-AP (TSR2 antibody) at dilution of 1:50 (under 10x lens). This data was developed using the same antibody clone with 16263-1-PBS in a different storage buffer formulation.
IHC staining of human liver using 16263-1-AP (same clone as 16263-1-PBS)
Immunohistochemical analysis of paraffin-embedded human liver using 16263-1-AP (TSR2 antibody) at dilution of 1:50 (under 40x lens). This data was developed using the same antibody clone with 16263-1-PBS in a different storage buffer formulation.
IHC staining of human lung using 16263-1-AP (same clone as 16263-1-PBS)
Immunohistochemical analysis of paraffin-embedded human lung using 16263-1-AP (TSR2 antibody) at dilution of 1:50 (under 10x lens). This data was developed using the same antibody clone with 16263-1-PBS in a different storage buffer formulation.
IHC staining of human lung using 16263-1-AP (same clone as 16263-1-PBS)
Immunohistochemical analysis of paraffin-embedded human lung using 16263-1-AP (TSR2 antibody) at dilution of 1:50 (under 40x lens). This data was developed using the same antibody clone with 16263-1-PBS in a different storage buffer formulation.
IHC staining of human placenta using 16263-1-AP (same clone as 16263-1-PBS)
Immunohistochemical analysis of paraffin-embedded human placenta using 16263-1-AP (TSR2 antibody) at dilution of 1:50 (under 10x lens). This data was developed using the same antibody clone with 16263-1-PBS in a different storage buffer formulation.
IHC staining of human placenta using 16263-1-AP (same clone as 16263-1-PBS)
Immunohistochemical analysis of paraffin-embedded human placenta using 16263-1-AP (TSR2 antibody) at dilution of 1:50 (under 40x lens). This data was developed using the same antibody clone with 16263-1-PBS in a different storage buffer formulation.
IHC staining of human spleen using 16263-1-AP (same clone as 16263-1-PBS)
Immunohistochemical analysis of paraffin-embedded human spleen using 16263-1-AP (TSR2 antibody) at dilution of 1:50 (under 10x lens). This data was developed using the same antibody clone with 16263-1-PBS in a different storage buffer formulation.
IHC staining of human spleen using 16263-1-AP (same clone as 16263-1-PBS)
Immunohistochemical analysis of paraffin-embedded human spleen using 16263-1-AP (TSR2 antibody) at dilution of 1:50 (under 40x lens). This data was developed using the same antibody clone with 16263-1-PBS in a different storage buffer formulation.