验证数据展示
产品信息
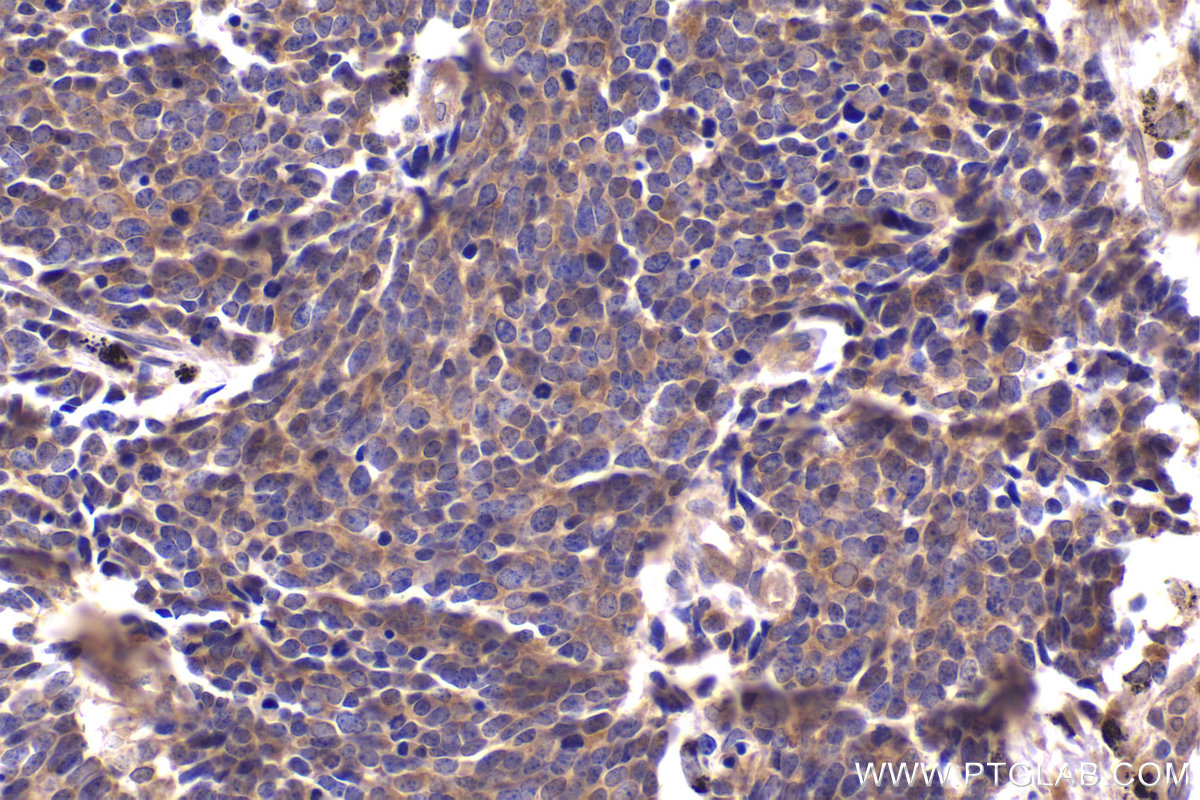
68380-1-PBS targets Tuberin/TSC2 in WB, IHC, IF/ICC, ELISA applications and shows reactivity with human, mouse, rat samples.
| 经测试应用 | WB, IHC, IF/ICC, ELISA Application Description | 
| 经测试反应性 | human, mouse, rat | 
| 免疫原 | Peptide种属同源性预测 | 
| 宿主/亚型 | Mouse / IgG1 | 
| 抗体类别 | Monoclonal | 
| 产品类型 | Antibody | 
| 全称 | tuberous sclerosis 2 | 
| 别名 | TSC2, Tuberin, 1A10B2, TSC4, tuberous sclerosis 2 | 
| 计算分子量 | 1807 aa, 201 kDa | 
| 观测分子量 | 200 kDa | 
| GenBank蛋白编号 | BC150300 | 
| 基因名称 | TSC2 | 
| Gene ID (NCBI) | 7249 | 
| 偶联类型 | Unconjugated | 
| 形式 | Liquid | 
| 纯化方式 | Protein G purification | 
| UNIPROT ID | P49815 | 
| 储存缓冲液 | PBS only, pH 7.3. | 
| 储存条件 | Store at -80°C. The product is shipped with ice packs. Upon receipt, store it immediately at -80°C | 
背景介绍
TSC2, also named Tuberin, plays an essential role in the cellular energy response pathway. TSC2 forms a physical and functional complex with TSC1 that can inhibit the nutrient-mediated or growth factor-stimulated phosphorylation of S6K1 and EIF4EBP1 by negatively regulating mTORC1 signaling.











