验证数据展示
经过测试的应用
| Positive WB detected in | HEK-293 cells, mouse brain tissue, rat brain tissue |
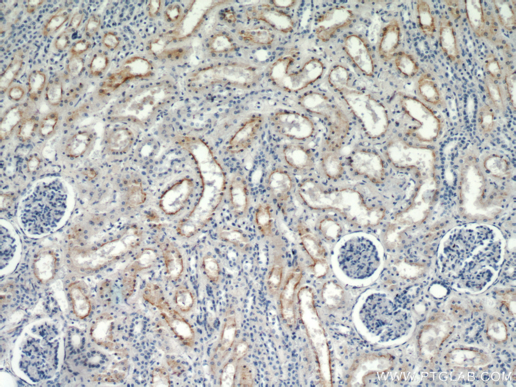
| Positive IHC detected in | human kidney tissue Note: suggested antigen retrieval with TE buffer pH 9.0; (*) Alternatively, antigen retrieval may be performed with citrate buffer pH 6.0 |
推荐稀释比
| 应用 | 推荐稀释比 |
|---|---|
| Western Blot (WB) | WB : 1:500-1:3000 |
| Immunohistochemistry (IHC) | IHC : 1:20-1:200 |
| It is recommended that this reagent should be titrated in each testing system to obtain optimal results. | |
| Sample-dependent, Check data in validation data gallery. | |
发表文章中的应用
| WB | See 1 publications below |
产品信息
21349-1-AP targets TRPC4 in WB, IHC, ELISA applications and shows reactivity with human, mouse, rat samples.
| 经测试应用 | WB, IHC, ELISA Application Description |
| 文献引用应用 | WB |
| 经测试反应性 | human, mouse, rat |
| 文献引用反应性 | human |
| 免疫原 |
CatNo: Ag15698 Product name: Recombinant human TRPC4 protein Source: e coli.-derived, PGEX-4T Tag: GST Domain: 746-977 aa of BC104725 Sequence: FRFEVLGLLRGSKLSTIQSANASKESSNSADSDEKSDSEGNSKDKKKNFSLFDLTTLIHPRSAAIASERHNISNGSALVVQEPPREKQRKVNFVTDIKNFGLFHRRSKQNAAEQNANQIFSVSEEVARQQAAGPLERNIQLESRGLASRGDLSIPGLSEQCVLVDHRERNTDTLGLQVGKRVCPFKSEKVVVEDTVPIIPKEKHAKEEDSSIDYDLNLPDTVTHEDYVTTRL 种属同源性预测 |
| 宿主/亚型 | Rabbit / IgG |
| 抗体类别 | Polyclonal |
| 产品类型 | Antibody |
| 全称 | transient receptor potential cation channel, subfamily C, member 4 |
| 别名 | Trp-related protein 4, TRP4, Trp related protein 4, hTrp-4, HTRP4 |
| 计算分子量 | 977 aa, 112 kDa |
| 观测分子量 | 100-120 kDa |
| GenBank蛋白编号 | BC104725 |
| 基因名称 | TRPC4 |
| Gene ID (NCBI) | 7223 |
| RRID | AB_10734426 |
| 偶联类型 | Unconjugated |
| 形式 | Liquid |
| 纯化方式 | Antigen affinity purification |
| UNIPROT ID | Q9UBN4 |
| 储存缓冲液 | PBS with 0.02% sodium azide and 50% glycerol, pH 7.3. |
| 储存条件 | Store at -20°C. Stable for one year after shipment. Aliquoting is unnecessary for -20oC storage. |
背景介绍
TRPC4 (Transient Receptor Potential Paradigm 4) is a non-selective calcium channel protein widely found in the nervous system and cardiovascular system. TRPC4 regulates intracellular calcium levels through the activation of signaling pathways mediated by Gq/11 and Gi/o-coupled receptors, and is involved in neurotransmission, neuronal excitability, and vascular endothelial cell function. In the nervous system, TRPC4 is associated with neuropsychiatric disorders such as depression and anxiety, and its inhibitors show antidepressant and anxiolytic potential. In the cardiovascular system, TRPC4 affects vascular permeability and diastolic function by regulating calcium ion inward flow and plays an important role in hypoxia-induced pulmonary hypertension. In addition, TRPC4 is involved in thermoregulation, sensing changes in internal temperature to regulate the drop in body temperature. aberrant expression of TRPC4 is associated with a variety of diseases, making it a potential therapeutic target!
实验方案
| Product Specific Protocols | |
|---|---|
| IHC protocol for TRPC4 antibody 21349-1-AP | Download protocol |
| WB protocol for TRPC4 antibody 21349-1-AP | Download protocol |
| Standard Protocols | |
|---|---|
| Click here to view our Standard Protocols |
发表文章
| Species | Application | Title |
|---|---|---|
Sci Adv Cryo-EM structure of TRPC5 at 2.8-Å resolution reveals unique and conserved structural elements essential for channel function. | ||
Cancer Lett TRPC3 promotes tumorigenesis of gastric cancer via the CNB2/GSK3β/NFATc2 signaling pathway. |


