验证数据展示
经过测试的应用
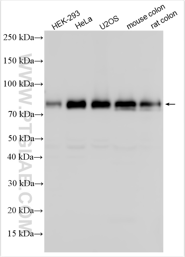
| Positive WB detected in | HEK-293 cells, HeLa cells, U2OS cells, mouse colon tissue, rat colon tissue | 
| Positive IP detected in | U2OS cells | 
| Positive IHC detected in | human colon cancer tissue, human kidney tissue,  mouse colon tissue,  rat kidney tissue Note: suggested antigen retrieval with TE buffer pH 9.0; (*) Alternatively, antigen retrieval may be performed with citrate buffer pH 6.0 | 
推荐稀释比
| 应用 | 推荐稀释比 | 
|---|---|
| Western Blot (WB) | WB : 1:1000-1:6000 | 
| Immunoprecipitation (IP) | IP : 0.5-4.0 ug for 1.0-3.0 mg of total protein lysate | 
| Immunohistochemistry (IHC) | IHC : 1:200-1:800 | 
| It is recommended that this reagent should be titrated in each testing system to obtain optimal results. | |
| Sample-dependent, Check data in validation data gallery. | |
产品信息
26885-1-AP targets TRIM47 in WB, IHC, IF, IP, CoIP, ELISA applications and shows reactivity with human, mouse, rat samples.
| 经测试应用 | WB, IHC, IP, ELISA Application Description | 
| 文献引用应用 | WB, IHC, IF, IP, CoIP | 
| 经测试反应性 | human, mouse, rat | 
| 文献引用反应性 | human, mouse, rat | 
| 免疫原 | CatNo: Ag22868 Product name: Recombinant human TRIM47 protein Source: e coli.-derived, PGEX-4T Tag: GST Domain: 1-400 aa of BC017299 Sequence: MDELGAGIAQSRRTVALIKSAAVAERERVSRLFADAAAALQGFQTQVLGFIEEGEAAMLGRSQGDLRRQEEQRSRLSRARQNLSQVPEADSVSFLQELLALRLALEDGCGPGPGPPRELSFTKSSQAVRAVRDMLAVACVNQWEQLRGPGGNEDGPQKLDSEADAEPQDLESTNLLESEAPRDYFLKFAYIVDLDSDTADKFLQLFGTKGVKRVLCPINYPLSPTRFTHCEQVLGEGALDRGTYYWEVEIIEGWVSMGVMAEDFSPQEPYDRGRLGRNAHSCCLQWNGRSFSVWFHGLEAPLPHPFSPTVGVCLEYADRALAFYAVRDGKMSLLRRLKASRPRRGGIPASPIDPFQSRLDSHFAGLFTHRLKPAFFLESVDAHLQIGPLKKSCISVLKRR种属同源性预测 | 
| 宿主/亚型 | Rabbit / IgG | 
| 抗体类别 | Polyclonal | 
| 产品类型 | Antibody | 
| 全称 | tripartite motif-containing 47 | 
| 别名 | E3 ubiquitin-protein ligase TRIM47, EC:2.3.2.27, GOA, RNF100, tripartite motif containing 47 | 
| 计算分子量 | 638 aa, 70 kDa | 
| 观测分子量 | 70 kDa | 
| GenBank蛋白编号 | BC017299 | 
| 基因名称 | TRIM47 | 
| Gene ID (NCBI) | 91107 | 
| RRID | AB_2880669 | 
| 偶联类型 | Unconjugated | 
| 形式 | Liquid | 
| 纯化方式 | Antigen affinity purification | 
| UNIPROT ID | Q96LD4 | 
| 储存缓冲液 | PBS with 0.02% sodium azide and 50% glycerol, pH 7.3. | 
| 储存条件 | Store at -20°C. Stable for one year after shipment. Aliquoting is unnecessary for -20oC storage. | 
背景介绍
TRIM47/GOA is a member of the tripartite motif RBCC/Trim domain family that contains a RING-finger domain, B-boxes, and an alpha-helical coiled-coil region. TRIM47/GOA was identified as a protein overexpressed in astrocytoma tumor cells and is thought to play a role in dedifferentiation associated with tumorigenesis.
实验方案
| Product Specific Protocols | |
|---|---|
| IHC protocol for TRIM47 antibody 26885-1-AP | Download protocol | 
| IP protocol for TRIM47 antibody 26885-1-AP | Download protocol | 
| WB protocol for TRIM47 antibody 26885-1-AP | Download protocol | 
| Standard Protocols | |
|---|---|
| Click here to view our Standard Protocols | 
发表文章
| Species | Application | Title | 
|---|---|---|
| Signal Transduct Target Ther TRIM47 is a novel endothelial activation factor that aggravates lipopolysaccharide-induced acute lung injury in mice via K63-linked ubiquitination of TRAF2.
 | ||
| In Vitro Cell Dev Biol Anim TRIM47 promotes glioma angiogenesis by suppressing Smad4
 | ||
| Clinics (Sao Paulo) TRIM47 promotes ovarian cancer cell proliferation, migration, and invasion by activating STAT3 signaling
 | ||
| Exp Brain Res Knocking down Trim47 ameliorated sevoflurane-induced neuronal cell injury and cognitive impairment in rats
 | ||
| Comput Struct Biotechnol J Featured interactome of homocysteine-inducible endoplasmic reticulum protein uncovers novel binding partners in response to ER stress | 










