IHCeasy® TRIM47 Ready-To-Use IHC Kit
TRIM47 Ready-to-use reagent kit for IHC.
Reactivity
Human, Mouse, Rat
Sample Type
FFPE tissue
Cat no : KHC0966
Synonyms
GOA, RING finger protein 100, RNF100, TRIM47, tripartite motif containing 47
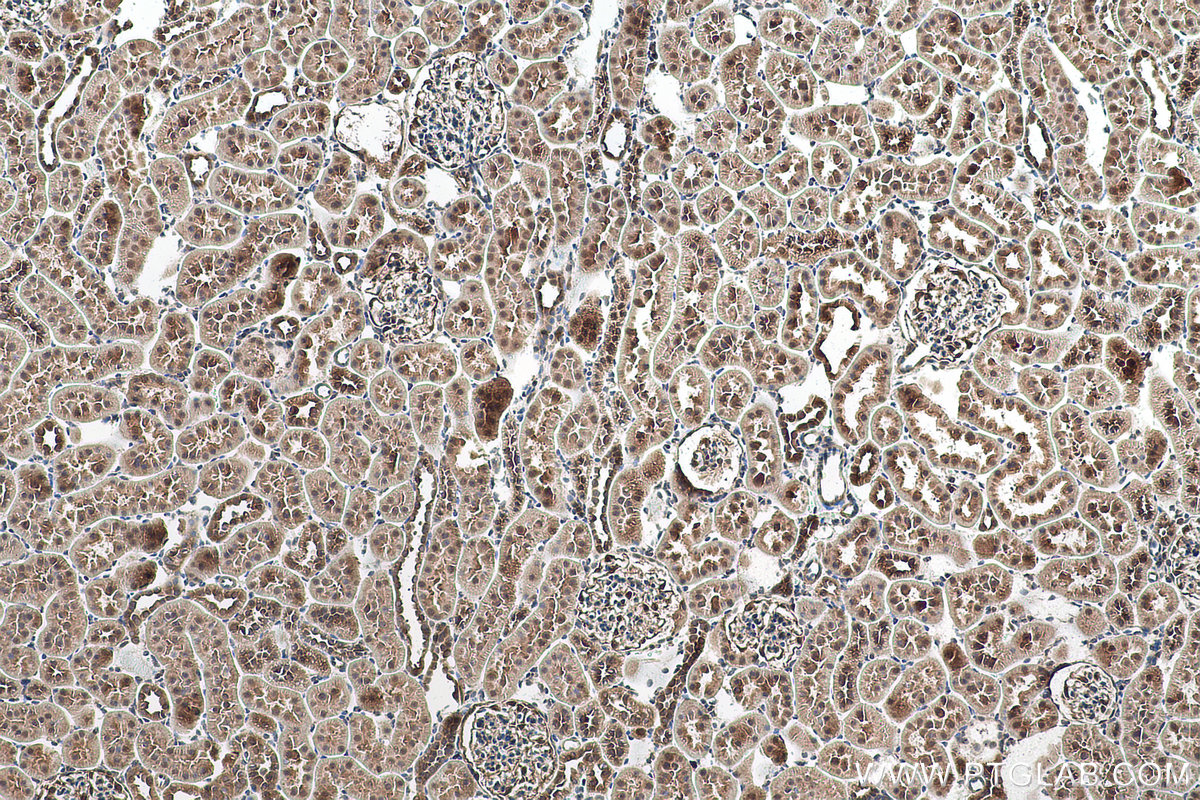
Validation Data Gallery
Product Information
KHC0966 is a ready-to-use IHC kit for staining of TRIM47. The kit provides all reagents, from antigen retrieval to cover slip mounting, that require little to no diluting or handling prior to use. Simply apply the reagents to your sample slide according to the protocol and you're steps away from obtaining high-quality IHC data.
| Product name | IHCeasy TRIM47 Ready-To-Use IHC Kit |
| Sample type | FFPE tissue |
| Assay type | Immunohistochemistry |
| Primary antibody type | Rabbit Polyclonal |
| Secondary antibody type | Polymer-HRP-Goat anti-Rabbit |
| Reactivity | Human, Mouse, Rat |
Kit components
| Component | Size | Concentration |
|---|---|---|
| Antigen Retrieval Buffer | 100 mL | 50× |
| Washing Buffer | 100 mL ×2 | 20× |
| Blocking Buffer | 5 mL | RTU |
| Primary Antibody | 5 mL | RTU |
| Secondary Antibody | 5 mL | RTU |
| Chromogen Component A | 0.2 mL | RTU |
| Chromogen Component B | 4 mL | RTU |
| Signal Enhancer | 5 mL | RTU |
| Counter Staining Reagent | 5 mL | RTU |
| Mounting Media | 5 mL | RTU |
| Datasheet | 1 Copy | |
| Manual | 1 Copy |
Background Information
TRIM47/GOA is a member of the tripartite motif RBCC/Trim domain family that contains a RING-finger domain, B-boxes, and an alpha-helical coiled-coil region. TRIM47/GOA was identified as a protein overexpressed in astrocytoma tumor cells and is thought to play a role in dedifferentiation associated with tumorigenesis.
Properties
| Storage Instructions | All the reagents are stored at 2-8°C. The kit is stable for 6 months from the date of receipt. |
| Synonyms | GOA, RING finger protein 100, RNF100, TRIM47, tripartite motif containing 47 |







