验证数据展示
产品信息
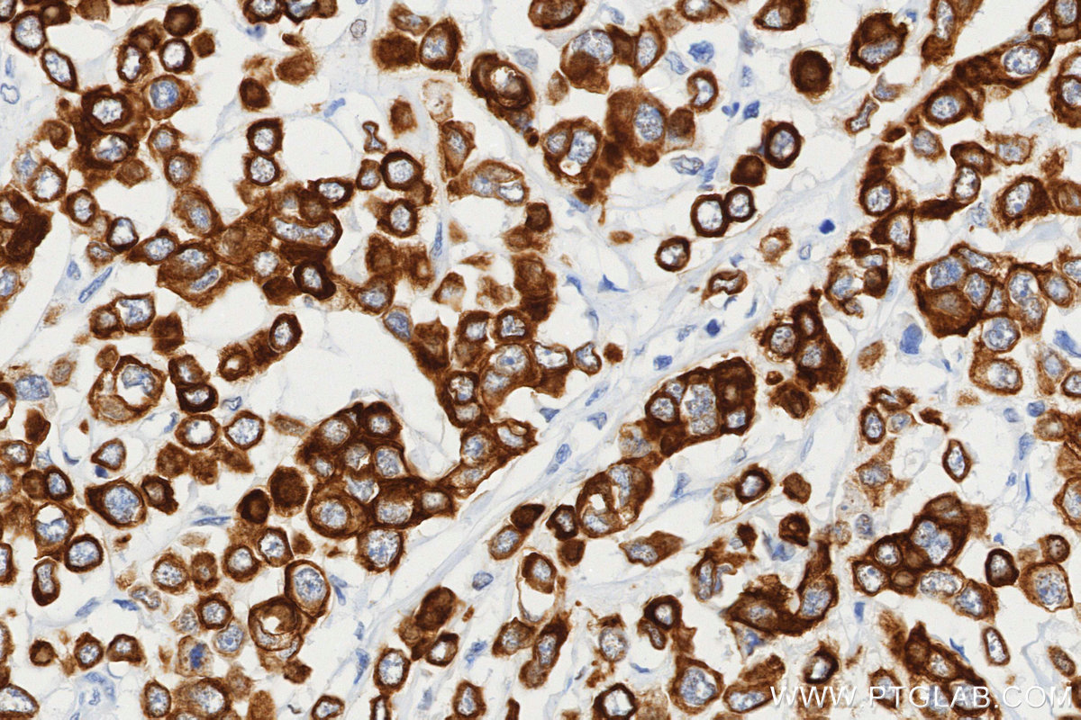
86808-1-PBS targets TRAIP in WB, IHC, Indirect ELISA applications and shows reactivity with human samples.
| 经测试应用 | WB, IHC, Indirect ELISA Application Description |
| 经测试反应性 | human |
| 免疫原 |
CatNo: Ag0491 Product name: Recombinant human TRAIP protein Source: e coli.-derived, PGEX-4T Tag: GST Domain: 1-204 aa of BC000310 Sequence: MPIRALCTICSDFFDHSRDVAAIHCGHTFHLQCLIQWFETAPSRTCPQCRIQVGKRTIINKLFFDLAQEEENVLDAEFLKNELDNVRAQLSQKDKEKRDSQVIIDTLRDTLEERNATVVSLQQALGKAEMLCSTLKKQMKYLEQQQDETKQAQEEARRLRSKMKTMEQIELLLQSQRPEVEEMIRDMGVGQSAVEQLAVYCVSL 种属同源性预测 |
| 宿主/亚型 | Rabbit / IgG |
| 抗体类别 | Recombinant |
| 产品类型 | Antibody |
| 全称 | TRAF interacting protein |
| 别名 | TRIP, EC:2.3.2.27, RING finger protein 206, RNF206, TRAF interacting protein |
| 计算分子量 | 53 kDa |
| 观测分子量 | 53 kDa |
| GenBank蛋白编号 | BC000310 |
| 基因名称 | TRAIP |
| Gene ID (NCBI) | 10293 |
| 偶联类型 | Unconjugated |
| 形式 | Liquid |
| 纯化方式 | Protein A purification |
| UNIPROT ID | Q9BWF2 |
| 储存缓冲液 | PBS only, pH 7.3. |
| 储存条件 | Store at -80°C. The product is shipped with ice packs. Upon receipt, store it immediately at -80°C |
背景介绍
E3 ubiquitin-protein ligase TRAIP (TRAIP) is also named RING finger protein 206 (RNF206) and TRAF-interacting protein (TRIP). TRAIP, an E3 ligase containing a RING domain, has emerged as a significant contributor to maintaining genome integrity and TRAIP inhibits proliferation and migration of BLCA cells (PMID: 38123820). TRAIP helps replisomes overcome DNA interstrand crosslinks and DNA-protein crosslinks, whereas in mitosis it triggers disassembly of all replisomes that remain on chromatin (PMID: 33317933, PMID: 30842657).



