验证数据展示
经过测试的应用
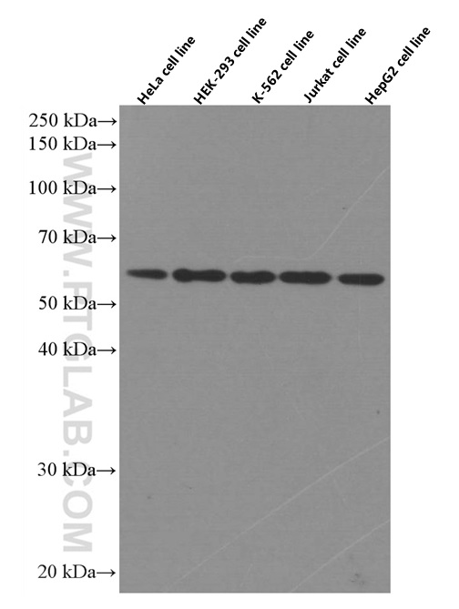
| Positive WB detected in | A431 cells, HeLa cells, HEK-293 cells, K-562 cells, Jurkat cells, HepG2 cells, U2OS cells |
| Positive IF/ICC detected in | HeLa cells |
推荐稀释比
| 应用 | 推荐稀释比 |
|---|---|
| Western Blot (WB) | WB : 1:5000-1:20000 |
| Immunofluorescence (IF)/ICC | IF/ICC : 1:200-1:800 |
| It is recommended that this reagent should be titrated in each testing system to obtain optimal results. | |
| Sample-dependent, Check data in validation data gallery. | |
产品信息
66498-1-Ig targets TRAF6 in WB, IHC, IF/ICC, IP, CoIP, ELISA applications and shows reactivity with human samples.
| 经测试应用 | WB, IF/ICC, ELISA Application Description |
| 文献引用应用 | WB, IHC, IF, IP, CoIP |
| 经测试反应性 | human |
| 文献引用反应性 | human, pig, fish |
| 免疫原 |
CatNo: Ag24696 Product name: Recombinant human TRAF6 protein Source: e coli.-derived, PET30a Tag: 6*His Domain: 1-274 aa of BC031052 Sequence: MSLLNCENSCGFSQSESDCCVAMASSCSAVTKDDSVGGTASTGNLSSSFMEEIQGYDVEFDPPLESKYECPICLMALREAVQTPCGHRFCKACIIKSIRDAGHKCPVDNEILLENQLFPDNFAKREILSLMVKCPNEGCLHKMELRHLEDHQAHCEFALMDCPQCQRPFQKFHINIHILKDCPRRQVSCDNCAASMAFEDKEIHDQNCPLANVICEYCNTILIREQMPNHYDLDCPTAPIPCTFSTFGCHEKMQRNHLARHLQENTQSHMRMLA 种属同源性预测 |
| 宿主/亚型 | Mouse / IgG1 |
| 抗体类别 | Monoclonal |
| 产品类型 | Antibody |
| 全称 | TNF receptor-associated factor 6 |
| 别名 | E3 ubiquitin-protein ligase TRAF6, EC:2.3.2.27, Interleukin-1 signal transducer, RING-type E3 ubiquitin transferase TRAF6, RNF85 |
| 计算分子量 | 522 aa, 60 kDa |
| 观测分子量 | 60 kDa |
| GenBank蛋白编号 | BC031052 |
| 基因名称 | TRAF6 |
| Gene ID (NCBI) | 7189 |
| RRID | AB_2881862 |
| 偶联类型 | Unconjugated |
| 形式 | Liquid |
| 纯化方式 | Protein G purification |
| UNIPROT ID | Q9Y4K3 |
| 储存缓冲液 | PBS with 0.02% sodium azide and 50% glycerol, pH 7.3. |
| 储存条件 | Store at -20°C. Stable for one year after shipment. Aliquoting is unnecessary for -20oC storage. |
背景介绍
TRAF6 is a member of the TNF receptor associated factor (TRAF) protein family. TRAF6 is recognized as a signal transducer, which activates the NF-κB pathway in response to pro-inflammatory cytokines. TRAF6 has E3 ligase activity and is responsible for inducing Lys-63 (K63)-linked poly-ubiquitination chains, functioning together with E2 Ubc13/Uev1A complex to mediate IKK activation TRAF6 plays a crucial role in the regulation of the innate and adaptive immune responses.
实验方案
| Product Specific Protocols | |
|---|---|
| IF protocol for TRAF6 antibody 66498-1-Ig | Download protocol |
| IHC protocol for TRAF6 antibody 66498-1-Ig | Download protocol |
| WB protocol for TRAF6 antibody 66498-1-Ig | Download protocol |
| Standard Protocols | |
|---|---|
| Click here to view our Standard Protocols |
发表文章
| Species | Application | Title |
|---|---|---|
Autophagy Increased alveolar epithelial TRAF6 via autophagy-dependent TRIM37 degradation mediates particulate matter-induced lung metastasis | ||
Cell Death Differ Glycoprotein PTGDS promotes tumorigenesis of diffuse large B-cell lymphoma by MYH9-mediated regulation of Wnt-β-catenin-STAT3 signaling | ||
J Immunother Cancer Helicobacter pylori infection disturbs the tumor immune microenvironment and is associated with a discrepant prognosis in gastric de novo diffuse large B-cell lymphoma. | ||
Br J Pharmacol Allicin ameliorates imiquimod-induced psoriasis-like skin inflammation via disturbing the interaction of keratinocytes with IL-17A | ||
Theranostics Fibrinogen-like protein 2 aggravates nonalcoholic steatohepatitis via interaction with TLR4, eliciting inflammation in macrophages and inducing hepatic lipid metabolism disorder. |






