验证数据展示
经过测试的应用
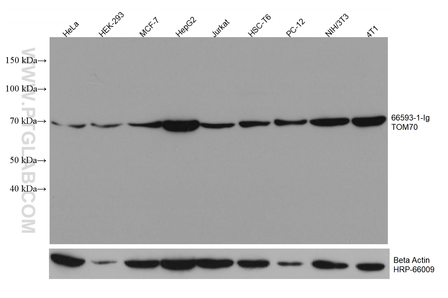
| Positive WB detected in | HeLa cells, HepG2 cells, MCF-7 cells, HEK-293 cells, Jurkat cells, HSC-T6 cells, PC-12 cells, NIH/3T3 cells, 4T1 cells |
| Positive IHC detected in | mouse brain tissue, human brain tissue Note: suggested antigen retrieval with TE buffer pH 9.0; (*) Alternatively, antigen retrieval may be performed with citrate buffer pH 6.0 |
| Positive IF/ICC detected in | HeLa cells |
推荐稀释比
| 应用 | 推荐稀释比 |
|---|---|
| Western Blot (WB) | WB : 1:5000-1:50000 |
| Immunohistochemistry (IHC) | IHC : 1:150-1:600 |
| Immunofluorescence (IF)/ICC | IF/ICC : 1:50-1:500 |
| It is recommended that this reagent should be titrated in each testing system to obtain optimal results. | |
| Sample-dependent, Check data in validation data gallery. | |
产品信息
66593-1-Ig targets TOM70 in WB, IHC, IF/ICC, ELISA applications and shows reactivity with Human, Mouse, Rat, Pig samples.
| 经测试应用 | WB, IHC, IF/ICC, ELISA Application Description |
| 文献引用应用 | WB, IF |
| 经测试反应性 | Human, Mouse, Rat, Pig |
| 文献引用反应性 | human, mouse |
| 免疫原 |
CatNo: Ag6027 Product name: Recombinant human TOM70 protein Source: e coli.-derived, PGEX-4T Tag: GST Domain: 245-608 aa of BC052994 Sequence: KNREPLMPSPQFIKSYFSSFTDDIISQPMLKGEKSDEDKDKEGEALEVKENSGYLKAKQYMEEENYDKIISECSKEIDAEGKYMAEALLLRATFYLLIGNANAAKPDLDKVISLKEANVKLRANALIKRGSMYMQQQQPLLSTQDFNMAADIDPQNADVYHHRGQLKILLDQVEEAVADFDECIRLRPESALAQAQKCFALYRQAYTGNNSSQIQAAMKGFEEVIKKFPRCAEGYALYAQALTDQQQFGKADEMYDKCIDLEPDNATTYVHKGLLQLQWKQDLDRGLELISKAIEIDNKCDFAYETMGTIEVQRGNMEKAIDMFNKAINLAKSEMEMAHLYSLCDAAHAQTEVAKKYGLKPPTL 种属同源性预测 |
| 宿主/亚型 | Mouse / IgG2a |
| 抗体类别 | Monoclonal |
| 产品类型 | Antibody |
| 全称 | translocase of outer mitochondrial membrane 70 homolog A (S. cerevisiae) |
| 别名 | KIAA0719, KIAA0719, TOM70, TOM70, TOMM70A |
| 计算分子量 | 67 kDa |
| 观测分子量 | 70 kDa |
| GenBank蛋白编号 | BC052994 |
| 基因名称 | TOM70 |
| Gene ID (NCBI) | 9868 |
| RRID | AB_2881953 |
| 偶联类型 | Unconjugated |
| 形式 | Liquid |
| 纯化方式 | Protein A purification |
| UNIPROT ID | O94826 |
| 储存缓冲液 | PBS with 0.02% sodium azide and 50% glycerol, pH 7.3. |
| 储存条件 | Store at -20°C. Stable for one year after shipment. Aliquoting is unnecessary for -20oC storage. |
背景介绍
TOM70 is a mitochondrial import receptor responsible for the import of cytosol synthesized precursor proteins into the mitochondria. Tom70 is a member of the tetratricopeptide repeat (TPR) co-chaperone family and contains a conserved TPR clamp domain for interaction with Hsc70 and Hsp90. Recently overexpression of TOM70 has been linked to chemoresistance to drugs in breast cancer cell lines. It is also believed that Tom70 is significantly associated with breast cancer relapse and may predict the recurrence of ovarian cancer.
实验方案
| Product Specific Protocols | |
|---|---|
| IF protocol for TOM70 antibody 66593-1-Ig | Download protocol |
| IHC protocol for TOM70 antibody 66593-1-Ig | Download protocol |
| WB protocol for TOM70 antibody 66593-1-Ig | Download protocol |
| Standard Protocols | |
|---|---|
| Click here to view our Standard Protocols |
发表文章
| Species | Application | Title |
|---|---|---|
Science Structural insight into the SAM-mediated assembly of the mitochondrial TOM core complex. | ||
Physiol Rep TOM complex-independent transport pathway of myoglobin into mitochondria in C2C12 myotubes | ||
Asian J Androl Caseinolytic mitochondrial matrix peptidase X is essential for homologous chromosome synapsis and recombination during meiosis of male mouse germ cells
| ||
Mol Cell Reactive oxygen species control protein degradation at the mitochondrial import gate |





