验证数据展示
经过测试的应用
| Positive WB detected in | mouse kidney tissue, rat kidney tissue |
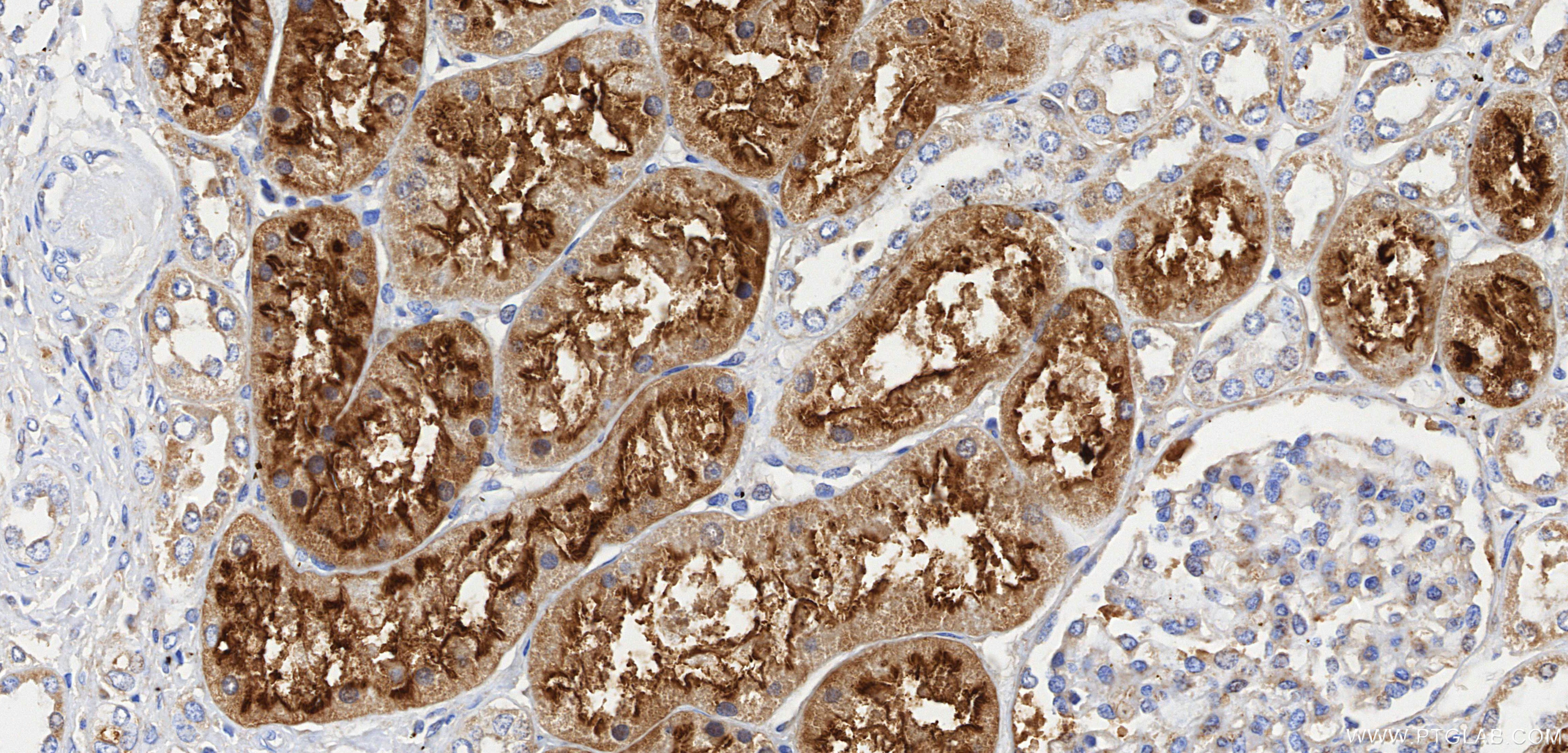
| Positive IHC detected in | human kidney tissue Note: suggested antigen retrieval with TE buffer pH 9.0; (*) Alternatively, antigen retrieval may be performed with citrate buffer pH 6.0 |
推荐稀释比
| 应用 | 推荐稀释比 |
|---|---|
| Western Blot (WB) | WB : 1:5000-1:50000 |
| Immunohistochemistry (IHC) | IHC : 1:400-1:1600 |
| It is recommended that this reagent should be titrated in each testing system to obtain optimal results. | |
| Sample-dependent, Check data in validation data gallery. | |
产品信息
82853-2-RR targets TMEM27 in WB, IHC, ELISA applications and shows reactivity with human samples.
| 经测试应用 | WB, IHC, ELISA Application Description |
| 经测试反应性 | human |
| 免疫原 |
CatNo: Ag7668 Product name: Recombinant human TMEM27 protein Source: e coli.-derived, PGEX-4T Tag: GST Domain: 27-143 aa of BC050606 Sequence: VRLSIRTALGDKAYAWDTNEEYLFKAMVAFSMRKVPNREATEISHVLLCNVTQRVSFWFVVTDPSKNHTLPAVEVQSAIRMNKNRINNAFFLNDQTLEFLKIPSTLAPPMDPSVPIW 种属同源性预测 |
| 宿主/亚型 | Rabbit / IgG |
| 抗体类别 | Recombinant |
| 产品类型 | Antibody |
| 全称 | transmembrane protein 27 |
| 别名 | 240437C2, ACE2, CLTRN, Collectrin, NX 17 |
| 计算分子量 | 25 kDa |
| 观测分子量 | 35-40 kDa |
| GenBank蛋白编号 | BC050606 |
| 基因名称 | TMEM27 |
| Gene ID (NCBI) | 57393 |
| RRID | AB_3670578 |
| 偶联类型 | Unconjugated |
| 形式 | Liquid |
| 纯化方式 | Protein A purfication |
| UNIPROT ID | Q9HBJ8 |
| 储存缓冲液 | PBS with 0.02% sodium azide and 50% glycerol, pH 7.3. |
| 储存条件 | Store at -20°C. Stable for one year after shipment. Aliquoting is unnecessary for -20oC storage. |
背景介绍
TMEM27 (also termed collectrin), a 46 kDa type I transmembrane protein, is a homolog of the noncatalytic domain of angiotensin-converting enzyme-related carboxypeptidase (Ace2). Its expression has only been reported in the brush border membrane of the proximal tubules and collecting ducts of the kidney and in the pancreatic b cell (PMID: 11278314, 16330324). Overexpression of TMEM27 in b cells leads to increased proliferation in vitro and increased pancreatic b cell mass in vivo, and also has been reported to augment glucosestimulated ins secretion (GSIS) (PMID: 16330324, 16330323). The abundance of TMEM27 protein in b cells is furthermore regulated by ectodomain cleavage, which leads to two cleavage products, a 25 kDa N-terminal part that is released into the extracellular space (the shed fragment), and a 22 kDa C-terminal fragment (CTF) remaining in the membrane that is rapidly degraded (PMID: 16330324). TMEM27 is an N-glycosylated protein and can form dimers with MW of 64-75 kDa(patent US 20100119489 A1). TMEM27 can be used as a beta cell mass biomarker (PMID: 20386877, 21907142).
实验方案
| Product Specific Protocols | |
|---|---|
| IHC protocol for TMEM27 antibody 82853-2-RR | Download protocol |
| WB protocol for TMEM27 antibody 82853-2-RR | Download protocol |
| Standard Protocols | |
|---|---|
| Click here to view our Standard Protocols |



