验证数据展示
经过测试的应用
| Positive WB detected in | HEK-293 cells, mouse pancreas tissue, mouse skin tissue, HeLa cells, mouse liver tissue, rat kidney tissue |
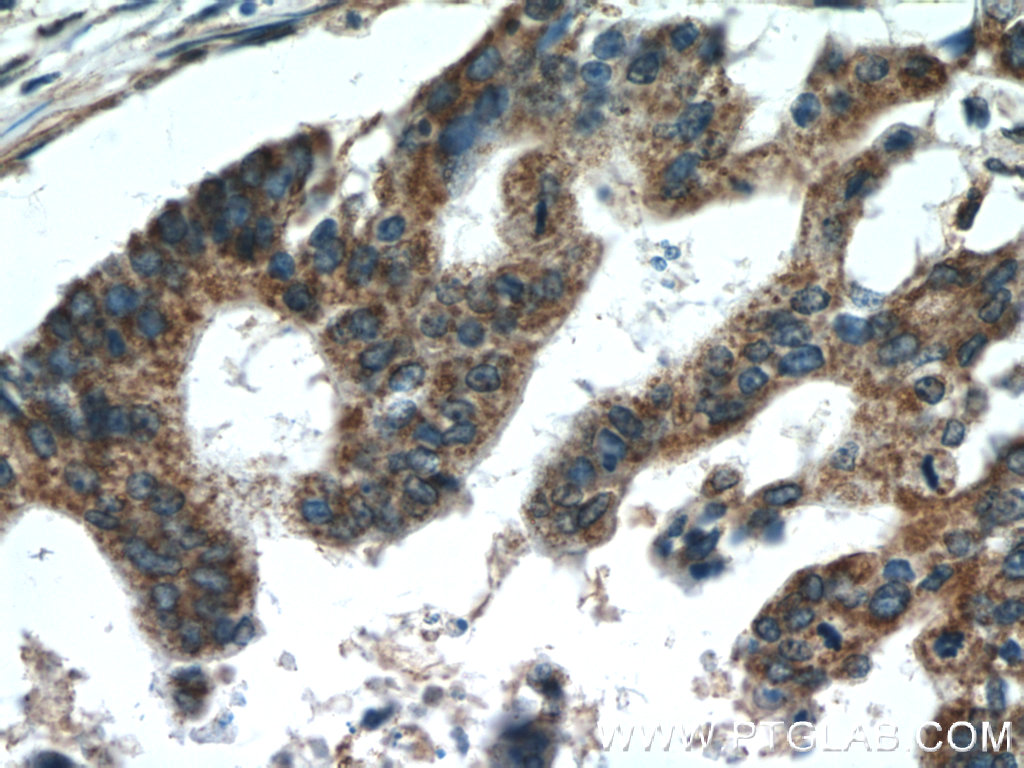
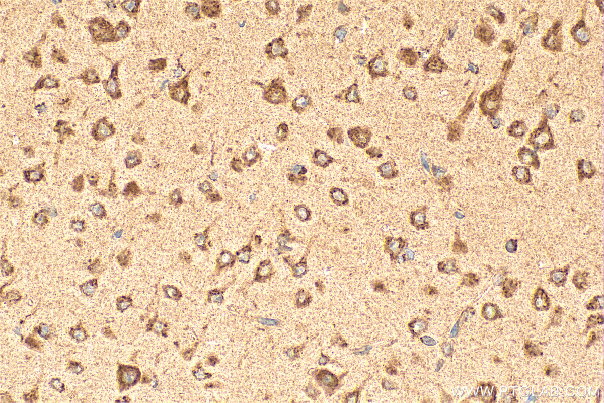
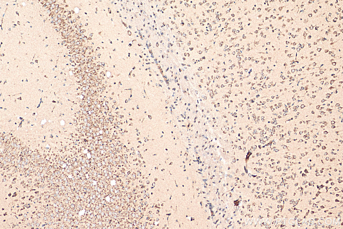
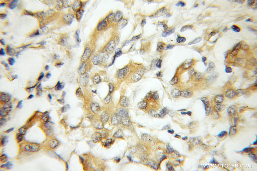
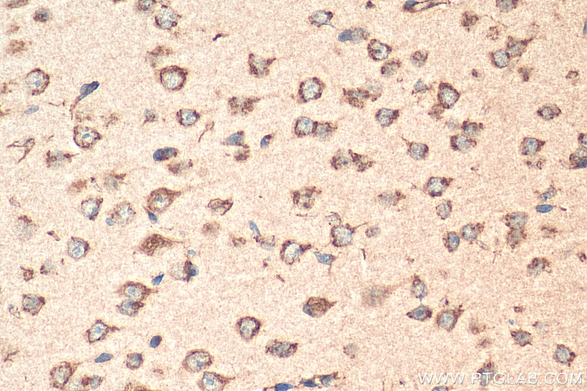
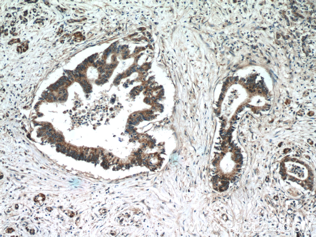
| Positive IHC detected in | mouse brain tissue, human pancreas cancer tissue Note: suggested antigen retrieval with TE buffer pH 9.0; (*) Alternatively, antigen retrieval may be performed with citrate buffer pH 6.0 |
| Positive IF/ICC detected in | HeLa cells |
推荐稀释比
| 应用 | 推荐稀释比 |
|---|---|
| Western Blot (WB) | WB : 1:1000-1:4000 |
| Immunohistochemistry (IHC) | IHC : 1:200-1:1000 |
| Immunofluorescence (IF)/ICC | IF/ICC : 1:500-1:2000 |
| It is recommended that this reagent should be titrated in each testing system to obtain optimal results. | |
| Sample-dependent, Check data in validation data gallery. | |
产品信息
11981-1-AP targets TMED2 in WB, IHC, IF/ICC, ELISA applications and shows reactivity with human, mouse, rat samples.
| 经测试应用 | WB, IHC, IF/ICC, ELISA Application Description |
| 文献引用应用 | WB, IHC, IF |
| 经测试反应性 | human, mouse, rat |
| 文献引用反应性 | human, mouse, rat |
| 免疫原 |
CatNo: Ag2607 Product name: Recombinant human TMED2 protein Source: e coli.-derived, PGEX-4T Tag: GST Domain: 1-201 aa of BC025957 Sequence: MVTLAELLVLLAALLATVSGYFVSIDAHAEECFFERVTSGTKMGLIFEVAEGGFLDIDVEITGPDNKGIYKGDRESSGKYTFAAHMDGTYKFCFSNRMSTMTPKIVMFTIDIGEAPKGQDMETEAHQNKLEEMINELAVAMTAVKHEQEYMEVRERIHRAINDNTNSRVVLWSFFEALVLVAMTLGQIYYLKRFFEVRRVV 种属同源性预测 |
| 宿主/亚型 | Rabbit / IgG |
| 抗体类别 | Polyclonal |
| 产品类型 | Antibody |
| 全称 | transmembrane emp24 domain trafficking protein 2 |
| 别名 | RNP24, Membrane protein p24A, p24, p24 family protein beta-1, p24beta1 |
| 计算分子量 | 201 aa, 23 kDa |
| 观测分子量 | 20-23 kDa |
| GenBank蛋白编号 | BC025957 |
| 基因名称 | TMED2 |
| Gene ID (NCBI) | 10959 |
| RRID | AB_2204353 |
| 偶联类型 | Unconjugated |
| 形式 | Liquid |
| 纯化方式 | Antigen affinity purification |
| UNIPROT ID | Q15363 |
| 储存缓冲液 | PBS with 0.02% sodium azide and 50% glycerol, pH 7.3. |
| 储存条件 | Store at -20°C. Stable for one year after shipment. Aliquoting is unnecessary for -20oC storage. |
背景介绍
Transmembrane emp24 domain-containing protein 2 (TMED2) belongs to the p24 receptor family, being mainly involved in vesicular trafficking of proteins between the endoplasmic reticulum and Golgi apparatus.
实验方案
| Product Specific Protocols | |
|---|---|
| IF protocol for TMED2 antibody 11981-1-AP | Download protocol |
| IHC protocol for TMED2 antibody 11981-1-AP | Download protocol |
| WB protocol for TMED2 antibody 11981-1-AP | Download protocol |
| Standard Protocols | |
|---|---|
| Click here to view our Standard Protocols |
发表文章
| Species | Application | Title |
|---|---|---|
Cell Res A new type of ERGIC-ERES membrane contact mediated by TMED9 and SEC12 is required for autophagosome biogenesis. | ||
PLoS Biol TMED9 coordinates the clearance of misfolded GPI-anchored proteins out of the ER and into the Golgi | ||
BMC Biol ACBD3 modulates KDEL receptor interaction with PKA for its trafficking via tubulovesicular carrier. | ||
J Cell Biol TMEDs mediate versatile cargo transport in vesicle-dependent unconventional secretion | ||
Adv Sci (Weinh) TMED3 Complex Mediates ER Stress-Associated Secretion of CFTR, Pendrin, and SARS-CoV-2 Spike. |







