验证数据展示
经过测试的应用
| Positive WB detected in | NIH/3T3 cells, C2C12 cells, mouse ovary tissue |
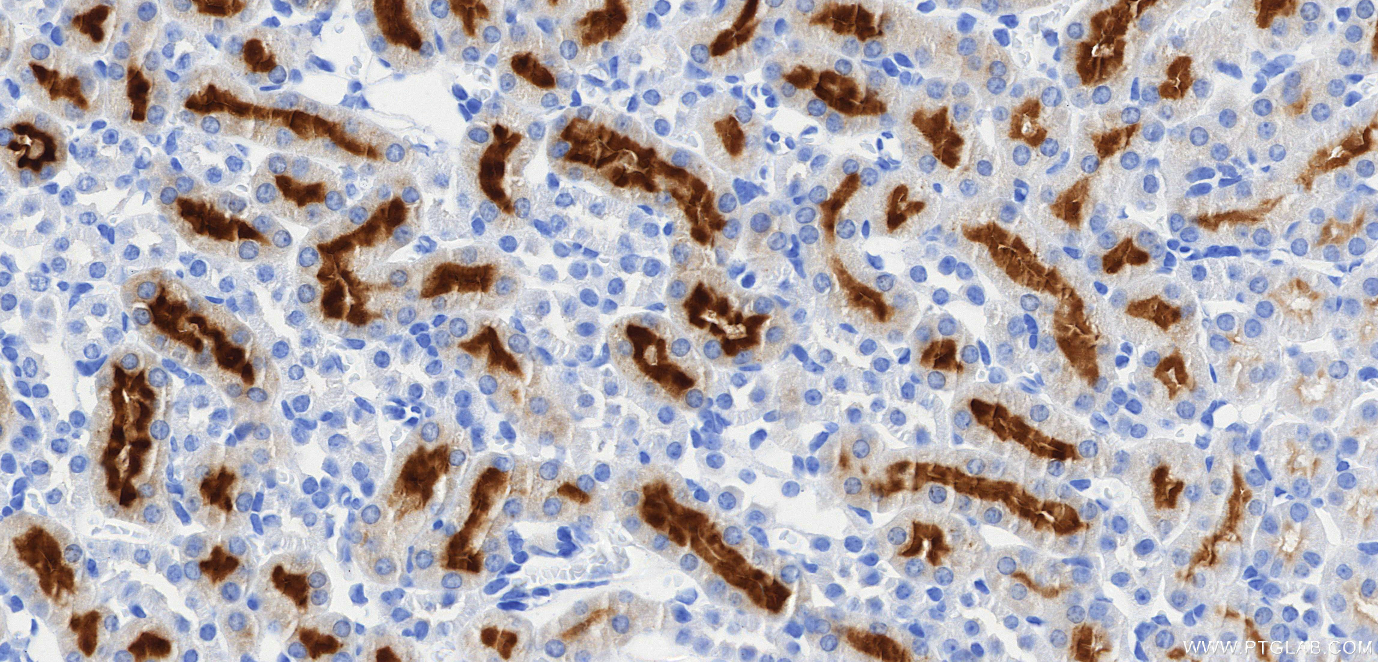
| Positive IHC detected in | mouse kidney tissue Note: suggested antigen retrieval with TE buffer pH 9.0; (*) Alternatively, antigen retrieval may be performed with citrate buffer pH 6.0 |
| Positive IF/ICC detected in | C2C12 cells, NIH/3T3 cells |
推荐稀释比
| 应用 | 推荐稀释比 |
|---|---|
| Western Blot (WB) | WB : 1:5000-1:50000 |
| Immunohistochemistry (IHC) | IHC : 1:500-1:2000 |
| Immunofluorescence (IF)/ICC | IF/ICC : 1:50-1:500 |
| It is recommended that this reagent should be titrated in each testing system to obtain optimal results. | |
| Sample-dependent, Check data in validation data gallery. | |
产品信息
85959-1-RR targets TIMP1 in WB, IHC, IF/ICC, ELISA applications and shows reactivity with mouse samples.
| 经测试应用 | WB, IHC, IF/ICC, ELISA Application Description |
| 经测试反应性 | mouse |
| 免疫原 |
CatNo: Eg0630 Product name: Recombinant mouse Timp1 protein Source: mammalian cells-derived, pHZ-KIsec-C-6*HIS Tag: C-6*HIS Domain: 25-205 aa of NM_001044384.1 Sequence: CSCAPPHPQTAFCNSDLVIRAKFMGSPEINETTLYQRYKIKMTKMLKGFKAVGNAADIRYAYTPVMESLCGYAHKSQNRSEEFLITGRLRNGNLHISACSFLVPWRTLSPAQQRAFSKTYSAGCGVCTVFPCLSIPCKLESDTHCLWTDQVLVGSEDYQSRHFACLPRNPGLCTWRSLGAR 种属同源性预测 |
| 宿主/亚型 | Rabbit / IgG |
| 抗体类别 | Recombinant |
| 产品类型 | Antibody |
| 全称 | tissue inhibitor of metalloproteinase 1 |
| 别名 | Clgi, Timp, TIMP 1 |
| 计算分子量 | 23KD |
| 观测分子量 | 20-23 kDa |
| GenBank蛋白编号 | NM_001044384.1 |
| 基因名称 | Timp1 |
| Gene ID (NCBI) | 21857 |
| 偶联类型 | Unconjugated |
| 形式 | Liquid |
| 纯化方式 | Protein A purification |
| UNIPROT ID | P12032 |
| 储存缓冲液 | PBS with 0.02% sodium azide and 50% glycerol, pH 7.3. |
| 储存条件 | Store at -20°C. Stable for one year after shipment. Aliquoting is unnecessary for -20oC storage. |
背景介绍
TIMP1 is a member of the family of matrix metalloproteinase inhibitors, which contains four members (TIMP1, TIMP2, TIMP3, and TIMP4). Tissue inhibitors of metalloproteinases (TIMPs) are multifaceted molecules that exhibit properties beyond their classical proteinase inhibitory function. TIMP1 has several MMP-independent functions such as modulation of angiogenesis, promotion of cell proliferation, and inhibition of apoptosis. TIMP1 plays important role in cell cycle regulation and cancer progression. Recently, clinical studies have shown that the aberrant expression of TIMP1 is associated with an unfavorable prognosis in a series of tumors, such as gastric cancer, papillary thyroid carcinoma, cutaneous melanoma and breast cancer. In pregnancy, TIMP1 plays a regulatory role in the process of implantation, particularly the cytotrophoblast invasion of the uterine endometrium. In pregnancy, TIMP1 plays a regulatory role in the process of implantation, particularly the cytotrophoblast invasion of the uterine endometrium.
实验方案
| Product Specific Protocols | |
|---|---|
| IF protocol for TIMP1 antibody 85959-1-RR | Download protocol |
| IHC protocol for TIMP1 antibody 85959-1-RR | Download protocol |
| WB protocol for TIMP1 antibody 85959-1-RR | Download protocol |
| Standard Protocols | |
|---|---|
| Click here to view our Standard Protocols |






