验证数据展示
经过测试的应用
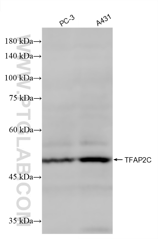
| Positive WB detected in | MCF-7 cells, PC-3 cells, SK-BR-3 cells, A431 cells |
| Positive IF/ICC detected in | MCF-7 cells |
推荐稀释比
| 应用 | 推荐稀释比 |
|---|---|
| Western Blot (WB) | WB : 1:5000-1:50000 |
| Immunofluorescence (IF)/ICC | IF/ICC : 1:400-1:1600 |
| It is recommended that this reagent should be titrated in each testing system to obtain optimal results. | |
| Sample-dependent, Check data in validation data gallery. | |
产品信息
86365-1-RR targets TFAP2C/AP2 gamma in WB, IF/ICC, ELISA applications and shows reactivity with human samples.
| 经测试应用 | WB, IF/ICC, ELISA Application Description |
| 经测试反应性 | human |
| 免疫原 |
CatNo: Ag5648 Product name: Recombinant human TFAP2C protein Source: e coli.-derived, PGEX-4T Tag: GST Domain: 1-450 aa of BC035664 Sequence: MLWKITDNVKYEEDCEDRHDGSSNGNPRVPHLSSAGQHLYSPAPPLSHTGVAEYQPPPYFPPPYQQLAYSQSADPYSHLGEAYAAAINPLHQPAPTGSQQQAWPGRQSQEGAGLPSHHGRPAGLLPHLSGLEAGAVSARRDAYRRSDLLLPHAHALDAAGLAENLGLHDMPHQMDEVQNVDDQHLLLHDQTVIRKGPISMTKNPLNLPCQKELVGAVMNPTEVFCSVPGRLSLLSSTSKYKVTVAEVQRRLSPPECLNASLLGGVLRRAKSKNGGRSLREKLDKIGLNLPAGRRKAAHVTLLTSLVEGEAVHLARDFAYVCEAEFPSKPVAEYLTRPHLGGRNEMAARKNMLLAAQQLCKEFTELLSQDRTPHGTSRLAPVLETNIQNCLSHFSLITHGFGSQAICAAVSALQNYIKEALIVIDKSYMNPGDQSPADSNKTLEKMEKHRK 种属同源性预测 |
| 宿主/亚型 | Rabbit / IgG |
| 抗体类别 | Recombinant |
| 产品类型 | Antibody |
| 全称 | transcription factor AP-2 gamma (activating enhancer binding protein 2 gamma) |
| 别名 | TFAP2C, Activating enhancer-binding protein 2 gamma, ap 2gamma, AP2 GAMMA, AP2-gamma |
| 计算分子量 | 49 kDa |
| 观测分子量 | 48-50 kDa |
| GenBank蛋白编号 | BC035664 |
| 基因名称 | TFAP2C |
| Gene ID (NCBI) | 7022 |
| 偶联类型 | Unconjugated |
| 形式 | Liquid |
| 纯化方式 | Protein A purification |
| UNIPROT ID | Q92754 |
| 储存缓冲液 | PBS with 0.02% sodium azide and 50% glycerol, pH 7.3. |
| 储存条件 | Store at -20°C. Stable for one year after shipment. Aliquoting is unnecessary for -20oC storage. |
背景介绍
TFAP2C (Transcription Factor AP-2 Gamma) is a member of the AP-2 transcription factor family, which plays a crucial role in early embryonic development, specifically in regulating the development of trophoblast cells and maintaining pluripotency. TFAP2C is known to regulate transcription by opening enhancers and is associated with a set of enhancers present in human embryos. It also functions as a regulator of both inner cell mass and trophectoderm differentiation, and controls the expression of cell-polarity genes. This protein binds to specific DNA sequences to activate or repress target genes, making it a key player in cellular processes and a potential therapeutic target in oncology research.
实验方案
| Product Specific Protocols | |
|---|---|
| IF protocol for TFAP2C/AP2 gamma antibody 86365-1-RR | Download protocol |
| WB protocol for TFAP2C/AP2 gamma antibody 86365-1-RR | Download protocol |
| Standard Protocols | |
|---|---|
| Click here to view our Standard Protocols |


