验证数据展示
经过测试的应用
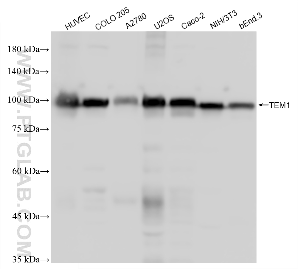
| Positive WB detected in | HUVEC cells, COLO 205 cells, A2780 cells, U2OS cells, Caco-2 cells, NIH/3T3 cells, bEnd.3 cells |
| Positive IF-P detected in | human placenta tissue |
推荐稀释比
| 应用 | 推荐稀释比 |
|---|---|
| Western Blot (WB) | WB : 1:5000-1:50000 |
| Immunofluorescence (IF)-P | IF-P : 1:50-1:500 |
| It is recommended that this reagent should be titrated in each testing system to obtain optimal results. | |
| Sample-dependent, Check data in validation data gallery. | |
产品信息
87247-1-RR targets TEM1/CD248 in WB, IF-P, ELISA applications and shows reactivity with human, mouse samples.
| 经测试应用 | WB, IF-P, ELISA Application Description |
| 经测试反应性 | human, mouse |
| 免疫原 |
CatNo: Eg4427 Product name: recombinant human CD248 protein Source: mammalian cells-derived, pHZ-KIsec-C-rFc Tag: C-rFc Domain: 18-360 aa of BC051340 Sequence: QDPWAAEPRAACGPSSCYALFPRRRTFLEAWRACRELGGDLATPRTPEEAQRVDSLVGAGPASRLLWIGLQRQARQCQLQRPLRGFTWTTGDQDTAFTNWAQPASGGPCPAQRCVALEASGEHRWLEGSCTLAVDGYLCQFGFEGACPALQDEAGQAGPAVYTTPFHLVSTEFEWLPFGSVAAVQCQAGRGASLLCVKQPEGGVGWSRAGPLCLGTGCSPDNGGCEHECVEEVDGHVSCRCTEGFRLAADGRSCEDPCAQAPCEQQCEPGGPQGYSCHCRLGFRPAEDDPHRCVDTDECQIAGVCQQMCVNYVGGFECYCSEGHELEADGISCSPAGAMGAQA 种属同源性预测 |
| 宿主/亚型 | Rabbit / IgG |
| 抗体类别 | Recombinant |
| 产品类型 | Antibody |
| 全称 | CD248 molecule, endosialin |
| 别名 | CD248, TEM1, CD164L1, CD248 molecule, endosialin, Endosialin |
| 计算分子量 | 757 aa, 81 kDa |
| 观测分子量 | 100 kDa |
| GenBank蛋白编号 | BC051340 |
| 基因名称 | TEM1 |
| Gene ID (NCBI) | 57124 |
| 偶联类型 | Unconjugated |
| 形式 | Liquid |
| 纯化方式 | Protein A purification |
| UNIPROT ID | Q9HCU0 |
| 储存缓冲液 | PBS with 0.02% sodium azide and 50% glycerol, pH 7.3. |
| 储存条件 | Store at -20°C. Stable for one year after shipment. Aliquoting is unnecessary for -20oC storage. |
背景介绍
TEM1 (Tumor endothelial marker 1), also named as CD248, Endosialin and CD164L1, is a C-type lectin-like domain (CTLD) containing type I transmembrane glycoprotein. It is now considered to be a highly selective marker for activated perivascular and stromal cells, detected in most cancers and at least some inflammatory disorders. CD248 plays a role in tumor angiogenesis. It is a potential diagnostic tool and therapeutic target of inflammatory and malignant diseases. Two isoforms of human TEM1 exist. The calculated molecular weights of the two isoforms are 81 kDa and 46 kDa, respectively. Native TEM1 can be glycosylated, and the glycosylated form has a larger apparent molecular weight than 81 kDa.
实验方案
| Product Specific Protocols | |
|---|---|
| IF protocol for TEM1/CD248 antibody 87247-1-RR | Download protocol |
| WB protocol for TEM1/CD248 antibody 87247-1-RR | Download protocol |
| Standard Protocols | |
|---|---|
| Click here to view our Standard Protocols |


