验证数据展示
经过测试的应用
| Positive WB detected in | human peripheral blood platelets, A549 cells, human placenta tissue, pig blood |
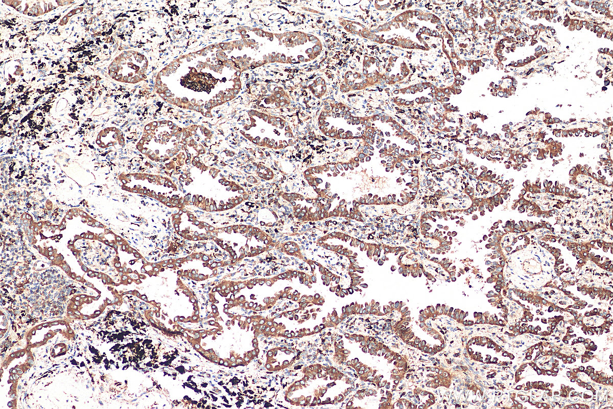
| Positive IHC detected in | human lung cancer tissue Note: suggested antigen retrieval with TE buffer pH 9.0; (*) Alternatively, antigen retrieval may be performed with citrate buffer pH 6.0 |
| Positive FC (Intra) detected in | A549 cells |
推荐稀释比
| 应用 | 推荐稀释比 |
|---|---|
| Western Blot (WB) | WB : 1:5000-1:50000 |
| Immunohistochemistry (IHC) | IHC : 1:1000-1:4000 |
| Flow Cytometry (FC) (INTRA) | FC (INTRA) : 0.80 ug per 10^6 cells in a 100 µl suspension |
| It is recommended that this reagent should be titrated in each testing system to obtain optimal results. | |
| Sample-dependent, Check data in validation data gallery. | |
发表文章中的应用
| WB | See 1 publications below |
| IHC | See 1 publications below |
产品信息
67371-1-Ig targets TBXAS1 in WB, IHC, FC (Intra), ELISA applications and shows reactivity with human, mouse, pig samples.
| 经测试应用 | WB, IHC, FC (Intra), ELISA Application Description |
| 文献引用应用 | WB, IHC |
| 经测试反应性 | human, mouse, pig |
| 文献引用反应性 | mouse |
| 免疫原 |
CatNo: Ag29177 Product name: Recombinant human TBXAS1 protein Source: e coli.-derived, PET28a Tag: 6*His Domain: 178-466 aa of BC014117 Sequence: NKNRDELNGFFNKLIRNVIALRDQQAAEERRRDFLQMVLDARHSASPMGVQDFDIVRDVFSSTGCKPNPSRQHQPSPMARPLTVDEIVGQAFIFLIAGYEIITNTLSFATYLLATNPDCQEKLLREVDVFKEKHMAPEFCSLEEGLPYLDMVIAETLRMYPPAFRFTREAAQDCEVLGQRIPAGAVLEMAVGALHHDPEHWPSPETFNPERFTAEARQQHRPFTYLPFGAGPRSCLGVRLGLLEVKLTLLHVLHKFRFQACPETQVPLQLESKSALGPKNGVYIKIVSR 种属同源性预测 |
| 宿主/亚型 | Mouse / IgG2a |
| 抗体类别 | Monoclonal |
| 产品类型 | Antibody |
| 全称 | thromboxane A synthase 1 (platelet) |
| 别名 | 1F6G6, CYP5, CYP5A1, EC:4.2.1.152, EC:5.3.99.5 |
| 计算分子量 | 60 kDa |
| 观测分子量 | 52 kDa |
| GenBank蛋白编号 | BC014117 |
| 基因名称 | TBXAS1 |
| Gene ID (NCBI) | 6916 |
| RRID | AB_2918487 |
| 偶联类型 | Unconjugated |
| 形式 | Liquid |
| 纯化方式 | Protein A purification |
| UNIPROT ID | P24557 |
| 储存缓冲液 | PBS with 0.02% sodium azide and 50% glycerol, pH 7.3. |
| 储存条件 | Store at -20°C. Stable for one year after shipment. Aliquoting is unnecessary for -20oC storage. |
背景介绍
TBXAS1 catalyzes the conversion of the prostaglandin endoperoxide into thromboxane A2 as a potent vasoconstrictor and inducer of platelet aggregation.It was identified as novel airway fibroblast-specific markers with integrin-8 (ITGA8) (PMID:20435685). It was observed in the epithelium.It is a monomer with the molecular weight of 60 KDa. It also has two variants with 60.5 kDa and 52.3 kDa (PMID:1730669). It also reavels a molecular weight of 55 kDa in human uterus (PMID:1386258).
实验方案
| Product Specific Protocols | |
|---|---|
| FC protocol for TBXAS1 antibody 67371-1-Ig | Download protocol |
| IHC protocol for TBXAS1 antibody 67371-1-Ig | Download protocol |
| WB protocol for TBXAS1 antibody 67371-1-Ig | Download protocol |
| Standard Protocols | |
|---|---|
| Click here to view our Standard Protocols |







