验证数据展示
经过测试的应用
| Positive WB detected in | HepG2 cells, HEK-293 cells, HeLa cells |
| Positive IP detected in | HepG2 cells |
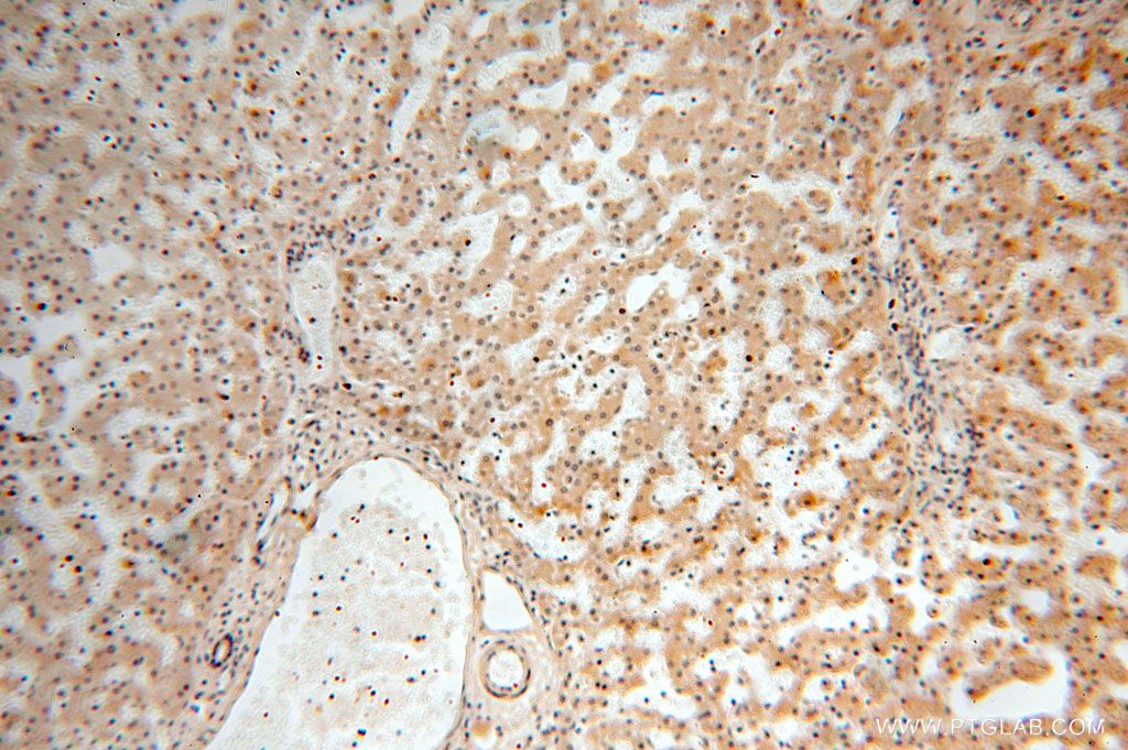
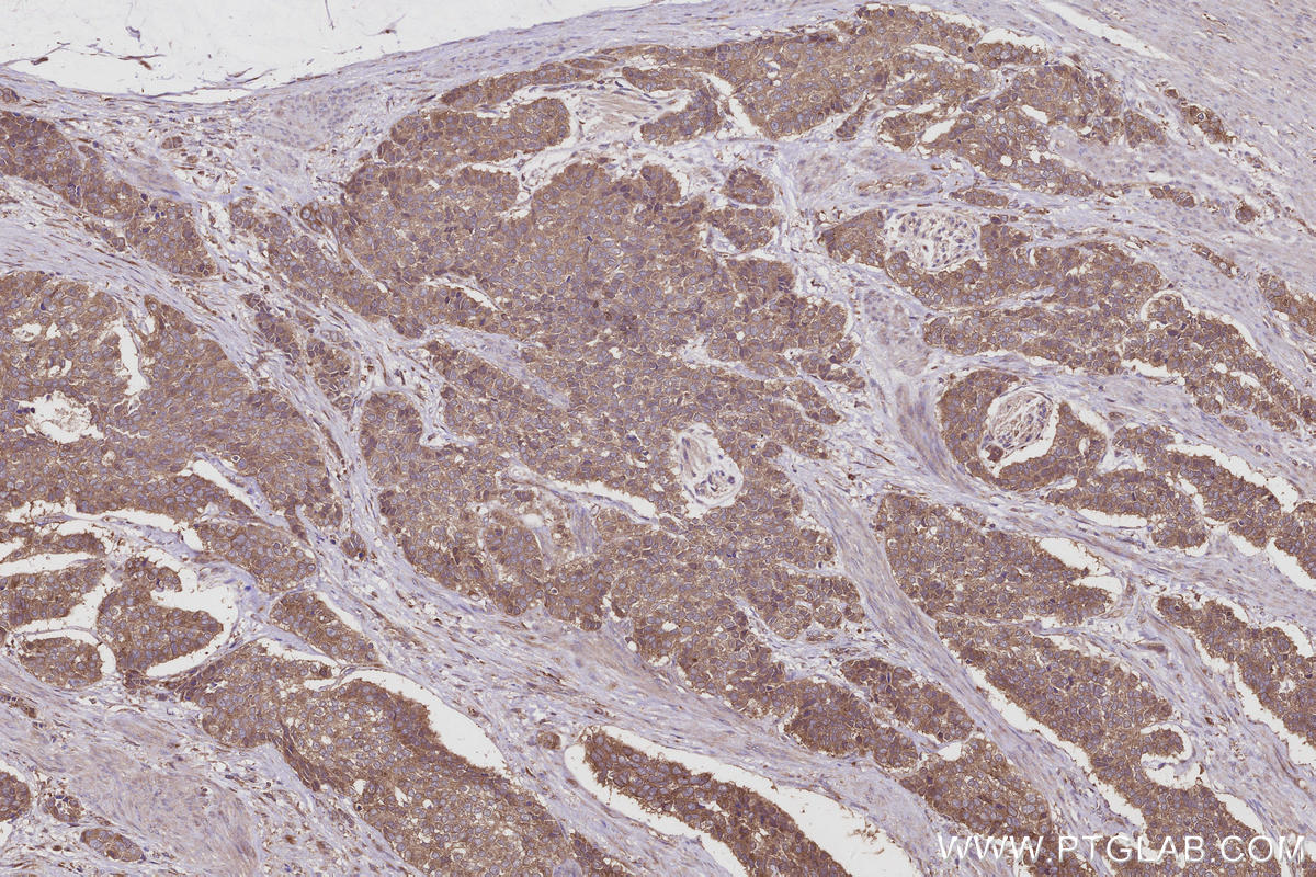
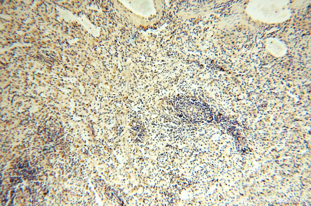
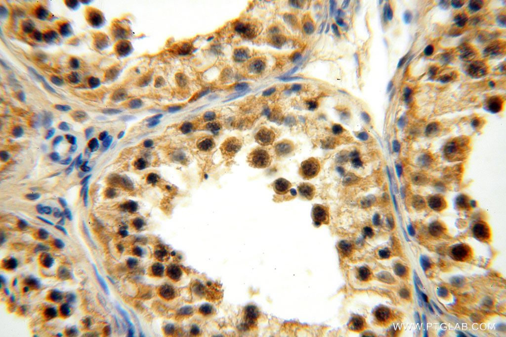
| Positive IHC detected in | human stomach cancer tissue, human kidney tissue, human liver tissue, human ovary tissue, human spleen tissue, human testis tissue Note: suggested antigen retrieval with TE buffer pH 9.0; (*) Alternatively, antigen retrieval may be performed with citrate buffer pH 6.0 |
| Positive IF/ICC detected in | U2OS cells, HeLa cells |
推荐稀释比
| 应用 | 推荐稀释比 |
|---|---|
| Western Blot (WB) | WB : 1:500-1:2000 |
| Immunoprecipitation (IP) | IP : 0.5-4.0 ug for 1.0-3.0 mg of total protein lysate |
| Immunohistochemistry (IHC) | IHC : 1:100-1:1000 |
| Immunofluorescence (IF)/ICC | IF/ICC : 1:50-1:500 |
| It is recommended that this reagent should be titrated in each testing system to obtain optimal results. | |
| Sample-dependent, Check data in validation data gallery. | |
产品信息
17002-1-AP targets TBC1D23 in WB, IHC, IF/ICC, IP, ELISA applications and shows reactivity with human samples.
| 经测试应用 | WB, IHC, IF/ICC, IP, ELISA Application Description |
| 文献引用应用 | WB, IHC, IF, IP |
| 经测试反应性 | human |
| 文献引用反应性 | human, mouse |
| 免疫原 |
CatNo: Ag10697 Product name: Recombinant human TBC1D23 protein Source: e coli.-derived, PGEX-4T Tag: GST Domain: 1-320 aa of BC010221 Sequence: MLQNPSEFAQSVKSLLEAQKQSIESGSIAGGEHLCFMGSGREEEDMYMNMVLAHFLQKNKEYVSIASGGFMALQQHLADINVDGPENGYGHWIASTSGSRSSINSVDGESPNGSSDRGMKSLVNKMTVALKTKSVNVREKVISFIENTSTPVDRHVSSSDRVGKPYRGVKPVFSIGDEEEYDTDEIDSSSMSDDDRKEVVNIQTWINKPDVKHHFPCKEVKESGHMFPSHLLVTATHMYCLREIVSRKGLAYIQSRQALNSVVKITSKKKHPELITFKYGNSSASGIEILAIERYLIPNAGDATKAIKQQIMKVLDALES 种属同源性预测 |
| 宿主/亚型 | Rabbit / IgG |
| 抗体类别 | Polyclonal |
| 产品类型 | Antibody |
| 全称 | TBC1 domain family, member 23 |
| 别名 | HCV non-structural protein 4A-transactivated protein 1, NS4ATP1, TBC1 domain family member 23, TBC1 domain family, member 23 |
| 计算分子量 | 699 aa, 78 kDa |
| 观测分子量 | 70-78 kDa |
| GenBank蛋白编号 | BC010221 |
| 基因名称 | TBC1D23 |
| Gene ID (NCBI) | 55773 |
| RRID | AB_2240206 |
| 偶联类型 | Unconjugated |
| 形式 | Liquid |
| 纯化方式 | Antigen affinity purification |
| UNIPROT ID | Q9NUY8 |
| 储存缓冲液 | PBS with 0.02% sodium azide and 50% glycerol, pH 7.3. |
| 储存条件 | Store at -20°C. Stable for one year after shipment. Aliquoting is unnecessary for -20oC storage. |
背景介绍
TBC1D23, also named as NS4ATP1, is a gene down-regulated by Pneumocystis infection. Pneumocystis pneumonia is a common opportunistic disease in AIDS patients. (PMID: 20377877) Recently it has been found that TBC1D23 gene is the most frequently mutated in MSI-H cell lines and protein expressions of TBC1D23 in tumors with mutation were down regulated.(PMID: 20824714) This antibody is specific to TBC1D23.
实验方案
| Product Specific Protocols | |
|---|---|
| IF protocol for TBC1D23 antibody 17002-1-AP | Download protocol |
| IHC protocol for TBC1D23 antibody 17002-1-AP | Download protocol |
| IP protocol for TBC1D23 antibody 17002-1-AP | Download protocol |
| WB protocol for TBC1D23 antibody 17002-1-AP | Download protocol |
| Standard Protocols | |
|---|---|
| Click here to view our Standard Protocols |
发表文章
| Species | Application | Title |
|---|---|---|
Am J Hum Genet Homozygous Mutations in TBC1D23 Lead to a Non-degenerative Form of Pontocerebellar Hypoplasia. | ||
Am J Hum Genet Homozygous Truncating Variants in TBC1D23 Cause Pontocerebellar Hypoplasia and Alter Cortical Development. | ||
Int J Cancer Identification of frequently mutated genes with relevance to nonsense mediated mRNA decay in the high microsatellite instability cancers. | ||
J Cell Mol Med TBC1 domain family member 23 interacts with Ras-related protein Rab-11A to promote poor prognosis of non-small-cell lung cancer via β1-integrin. |
















