验证数据展示
产品信息
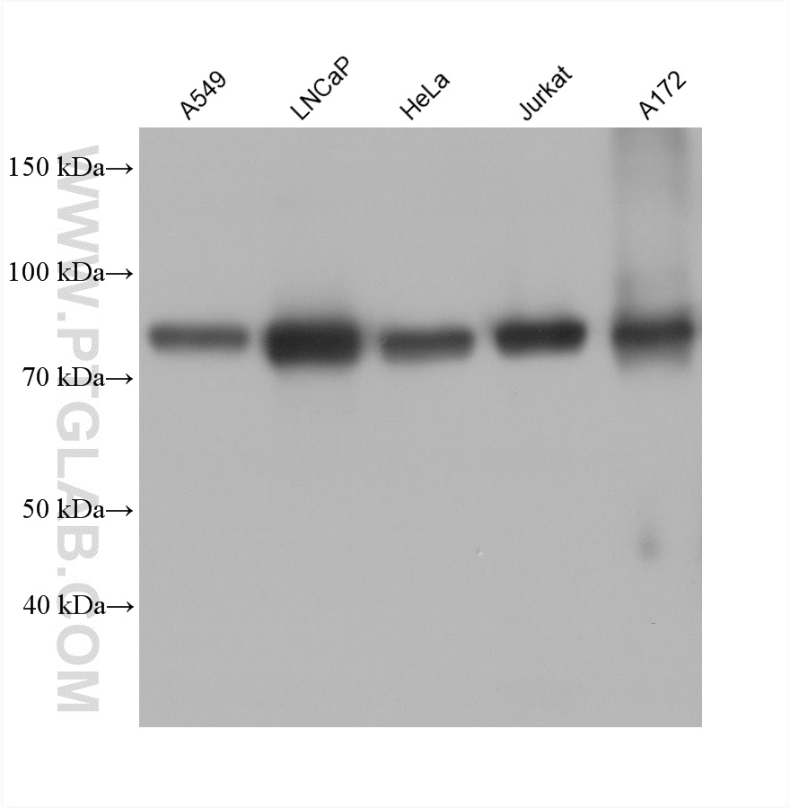
60975-3-PBS targets TBC1D17 in WB, Indirect ELISA applications and shows reactivity with human, pig, rabbit samples.
| 经测试应用 | WB, Indirect ELISA Application Description |
| 经测试反应性 | human, pig, rabbit |
| 免疫原 |
CatNo: Ag14358 Product name: Recombinant human TBC1D17 protein Source: e coli.-derived, PGEX-4T Tag: GST Domain: 1-350 aa of BC003516 Sequence: MEGAGYRVVFEKGGVYLHTSAKKYQDRDSLIAGVIRVVEKDNDVLLHWAPVEEAGDSTQILFSKKDSSGGDSCASEEEPTFDPGYEPDWAVISTVRPQPCHSEPTRGAEPSCPQGSWAFSVSLGELKSIRRSKPGLSWAYLVLVTQAGGSLPALHFHRGGTRALLRVLSRYLLLASSPQDSRLYLVFPHDSSALSNSFHHLQLFDQDSSNVVSRFLQDPYSTTFSSFSRVTNFFRGALQPQPEGAASDLPPPPDDEPEPGFEVISCVELGPRPTVERGPPVTEEEWARHVGPEGRLQQVPELKNRIFSGGLSPSLRREAWKFLLGYLSWEGTAEEHKAHIRKKTDEYFRM 种属同源性预测 |
| 宿主/亚型 | Mouse / IgG2a |
| 抗体类别 | Monoclonal |
| 产品类型 | Antibody |
| 全称 | TBC1 domain family, member 17 |
| 别名 | TBC1 domain family member 17, TBC1 domain family, member 17 |
| 计算分子量 | 648 aa, 73 kDa |
| 观测分子量 | 73 kDa |
| GenBank蛋白编号 | BC003516 |
| 基因名称 | TBC1D17 |
| Gene ID (NCBI) | 79735 |
| RRID | AB_3743257 |
| 偶联类型 | Unconjugated |
| 形式 | Liquid |
| 纯化方式 | Protein A purification |
| UNIPROT ID | Q9HA65 |
| 储存缓冲液 | PBS only, pH 7.3. |
| 储存条件 | Store at -80°C. The product is shipped with ice packs. Upon receipt, store it immediately at -80°C |
背景介绍
TBC1 domain family member 17 (TBC1D17), a Rab GTPase-activating protein, through its catalytic activity, regulates Rab8-mediated endocytic trafficking of transferrin receptor (PMID: 22854040). TBC1D17 also inhibits the trafficking of Shiga toxin from plasma membrane to the Golgi complex through its catalytic activity (PMID: 1756278).

