验证数据展示
产品信息
85138-3-PBS targets TANK as part of a matched antibody pair:
MP01820-1: 85138-1-PBS capture and 85138-3-PBS detection (validated in Cytometric bead array)
Unconjugated rabbit recombinant monoclonal antibody in PBS only (BSA and azide free) storage buffer at a concentration of 1 mg/mL, ready for conjugation. Created using Proteintech’s proprietary in-house recombinant technology. Recombinant production enables unrivalled batch-to-batch consistency, easy scale-up, and future security of supply.
This conjugation ready format makes antibodies ideal for use in many applications including: ELISAs, multiplex assays requiring matched pairs, mass cytometry, and multiplex imaging applications.Antibody use should be optimized by the end user for each application and assay.
| 经测试应用 | WB, IP, Cytometric bead array, Indirect ELISA Application Description |
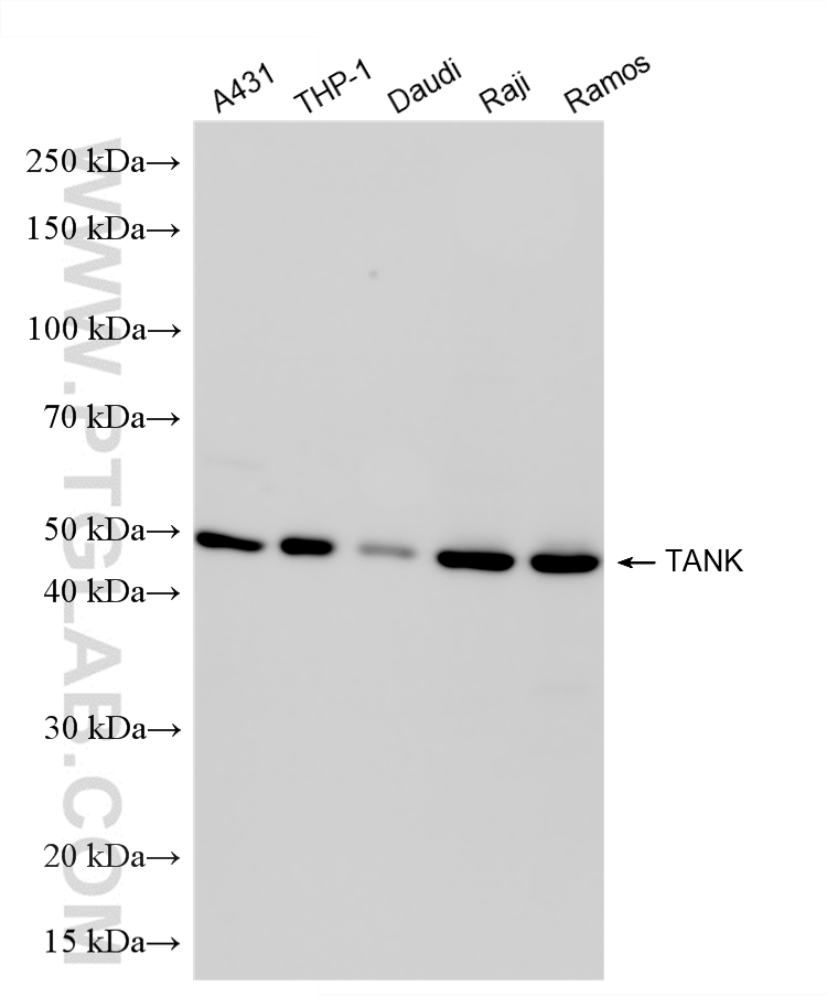
| 经测试反应性 | human |
| 免疫原 |
CatNo: Ag25740 Product name: Recombinant human TANK protein Source: e coli.-derived, PGEX-4T Tag: GST Domain: 1-119 aa of BC003388 Sequence: MDKNIGEQLNKAYEAFRQACMDRDSAVKELQQKTENYEQRIREQQEQLSLQQTIIDKLKSQLLLVNSTQDNNYGCVPLLEDSETRKNNLTLDQPQDKVISGIAREKLPKVDIASAESSI 种属同源性预测 |
| 宿主/亚型 | Rabbit / IgG |
| 抗体类别 | Recombinant |
| 产品类型 | Antibody |
| 全称 | TRAF family member-associated NFKB activator |
| 别名 | I TRAF, ITRAF, I-TRAF, TRAF family member-associated NF-kappa-B activator, TRAF interacting protein |
| 计算分子量 | 14 kDa |
| 观测分子量 | 48 kDa |
| GenBank蛋白编号 | BC003388 |
| 基因名称 | TANK |
| Gene ID (NCBI) | 10010 |
| 偶联类型 | Unconjugated |
| 形式 | Liquid |
| 纯化方式 | Protein A purification |
| UNIPROT ID | Q92844 |
| 储存缓冲液 | PBS only, pH 7.3. |
| 储存条件 | Store at -80°C. The product is shipped with ice packs. Upon receipt, store it immediately at -80°C |



