验证数据展示
经过测试的应用
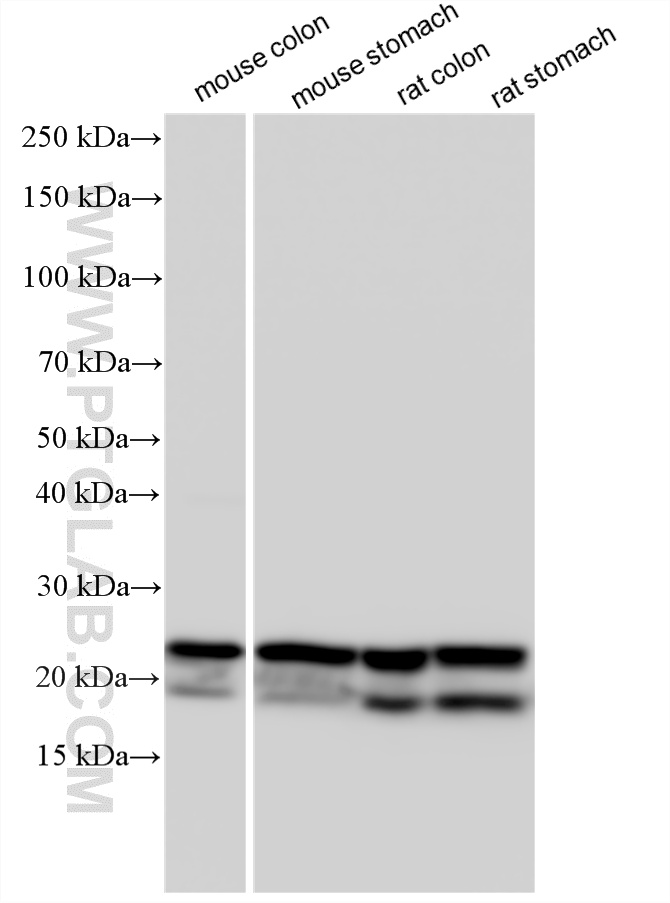
| Positive WB detected in | mouse colon tissue, mouse stomach tissue, rat colon tissue, rat stomach tissue |
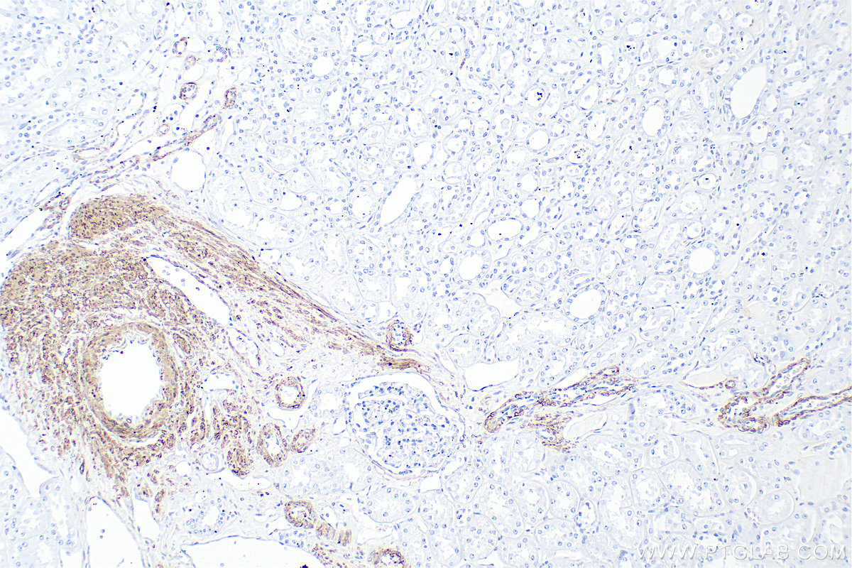
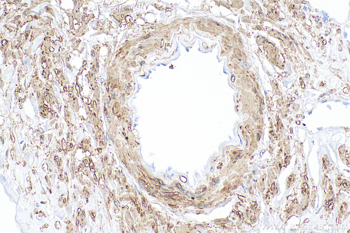
| Positive IHC detected in | mouse heart tissue, human kidney tissue Note: suggested antigen retrieval with TE buffer pH 9.0; (*) Alternatively, antigen retrieval may be performed with citrate buffer pH 6.0 |
| Positive IF-P detected in | mouse heart tissue |
推荐稀释比
| 应用 | 推荐稀释比 |
|---|---|
| Western Blot (WB) | WB : 1:20000-1:100000 |
| Immunohistochemistry (IHC) | IHC : 1:2000-1:8000 |
| Immunofluorescence (IF)-P | IF-P : 1:50-1:500 |
| It is recommended that this reagent should be titrated in each testing system to obtain optimal results. | |
| Sample-dependent, Check data in validation data gallery. | |
产品信息
RMX00045 targets TAGLN in WB, IHC, IF-P, ELISA applications and shows reactivity with human, mouse, rat samples.
| 经测试应用 | WB, IHC, IF-P, ELISA Application Description |
| 经测试反应性 | human, mouse, rat |
| 免疫原 |
Recombinant protein 种属同源性预测 |
| 宿主/亚型 | Rabbit / IgG |
| 抗体类别 | Multi-Recombinant |
| 产品类型 | Antibody |
| 全称 | transgelin |
| 别名 | SM22, transgelin, 22 kDa actin-binding protein, Protein WS3-10, SM22-a |
| 计算分子量 | 22 kDa |
| 观测分子量 | 19-22 kDa |
| GenBank蛋白编号 | BC004927 |
| 基因名称 | transgelin/SM22 |
| Gene ID (NCBI) | 6876 |
| 偶联类型 | Unconjugated |
| 形式 | Liquid |
| 纯化方式 | N/A |
| UNIPROT ID | Q01995 |
| 储存缓冲液 | PBS with 0.02% sodium azide and 50% glycerol. |
| 储存条件 | Store at -20°C. Stable for one year after shipment. Aliquoting is unnecessary for -20oC storage. |
背景介绍
The transgelin family is a protein group belonging to the 22kd actin-related calponin superfamily. Of all three isoforms, transgelin 1 is the best characterized. Transgelin 1, or SM22alpha, is a specific marker for differentiated smooth muscle cells. Transgelin 2, also known as SM22 beta, is expressed by both smooth and non-smooth muscle cells in a temporally and spatially regulated pattern. Trangenlin 3, also known as NP25, is only found in highly differentiated neuronal cells. This antibody can cross-react with other two transgenes based on the sequence similarity.
实验方案
| Product Specific Protocols | |
|---|---|
| IF protocol for TAGLN antibody RMX00045 | Download protocol |
| IHC protocol for TAGLN antibody RMX00045 | Download protocol |
| WB protocol for TAGLN antibody RMX00045 | Download protocol |
| Standard Protocols | |
|---|---|
| Click here to view our Standard Protocols |




