验证数据展示
经过测试的应用
| Positive WB detected in | A431 cells, HaCaT cells |
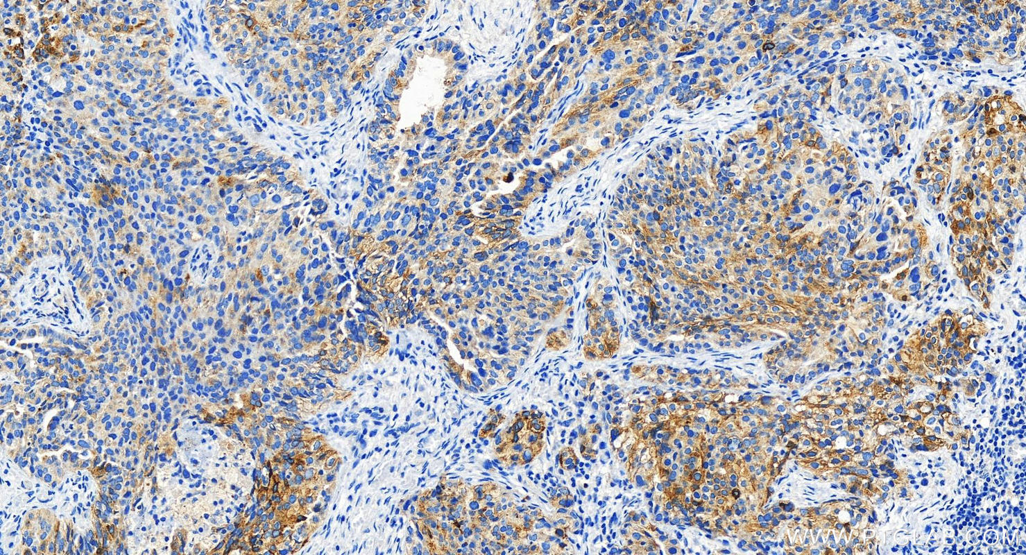
| Positive IHC detected in | human intrahepatic cholangiocarcinoma tissue, human ovary cancer tissue, human skin cancer tissue Note: suggested antigen retrieval with TE buffer pH 9.0; (*) Alternatively, antigen retrieval may be performed with citrate buffer pH 6.0 |
| Positive IF/ICC detected in | HaCaT cells |
推荐稀释比
| 应用 | 推荐稀释比 |
|---|---|
| Western Blot (WB) | WB : 1:5000-1:50000 |
| Immunohistochemistry (IHC) | IHC : 1:50-1:500 |
| Immunofluorescence (IF)/ICC | IF/ICC : 1:200-1:800 |
| It is recommended that this reagent should be titrated in each testing system to obtain optimal results. | |
| Sample-dependent, Check data in validation data gallery. | |
产品信息
29856-1-AP targets TACSTD2/TROP2 in WB, IHC, IF/ICC, ELISA applications and shows reactivity with human samples.
| 经测试应用 | WB, IHC, IF/ICC, ELISA Application Description |
| 经测试反应性 | human |
| 免疫原 |
CatNo: Ag31473 Product name: Recombinant human TACSTD2 protein Source: e coli.-derived, PGEX-4T Tag: GST Domain: 274-323 aa of BC009409 Sequence: TAGLIAVIVVVVVALVAGMAVLVITNRRKSGKYKKVEIKELGELRKEPSL 种属同源性预测 |
| 宿主/亚型 | Rabbit / IgG |
| 抗体类别 | Polyclonal |
| 产品类型 | Antibody |
| 全称 | tumor-associated calcium signal transducer 2 |
| 别名 | TACSTD2, M1S1, GA733-1, GA733 1, GA733 |
| 计算分子量 | 36 kDa |
| 观测分子量 | 45-50 kDa |
| GenBank蛋白编号 | BC009409 |
| 基因名称 | TROP2 |
| Gene ID (NCBI) | 4070 |
| RRID | AB_3086179 |
| 偶联类型 | Unconjugated |
| 形式 | Liquid |
| 纯化方式 | Antigen affinity purification |
| UNIPROT ID | P09758 |
| 储存缓冲液 | PBS with 0.02% sodium azide and 50% glycerol, pH 7.3. |
| 储存条件 | Store at -20°C. Stable for one year after shipment. Aliquoting is unnecessary for -20oC storage. |
背景介绍
Trophoblast cell surface antigen 2 (TROP2), also named as TACSTD2, is a transmembrane glycoprotein. TROP2 plays a role in transducing intracellular calcium signals. It is expressed in trophoblast cells, cornea and multi-stratified epithelia. TROP2 is overexpressed in most carcinomas and is involved in cancer proliferation, migration, invasion, and metastasis. Congenital mutations of TROP2 cause a rare autosomal recessive disease which may lead to blindness-the gelatinous drop-like corneal disease (PMID: 35688908).
实验方案
| Product Specific Protocols | |
|---|---|
| IF protocol for TACSTD2/TROP2 antibody 29856-1-AP | Download protocol |
| IHC protocol for TACSTD2/TROP2 antibody 29856-1-AP | Download protocol |
| WB protocol for TACSTD2/TROP2 antibody 29856-1-AP | Download protocol |
| Standard Protocols | |
|---|---|
| Click here to view our Standard Protocols |







