验证数据展示
经过测试的应用
| Positive WB detected in | mouse serum, rat serum, mouse liver tissue |
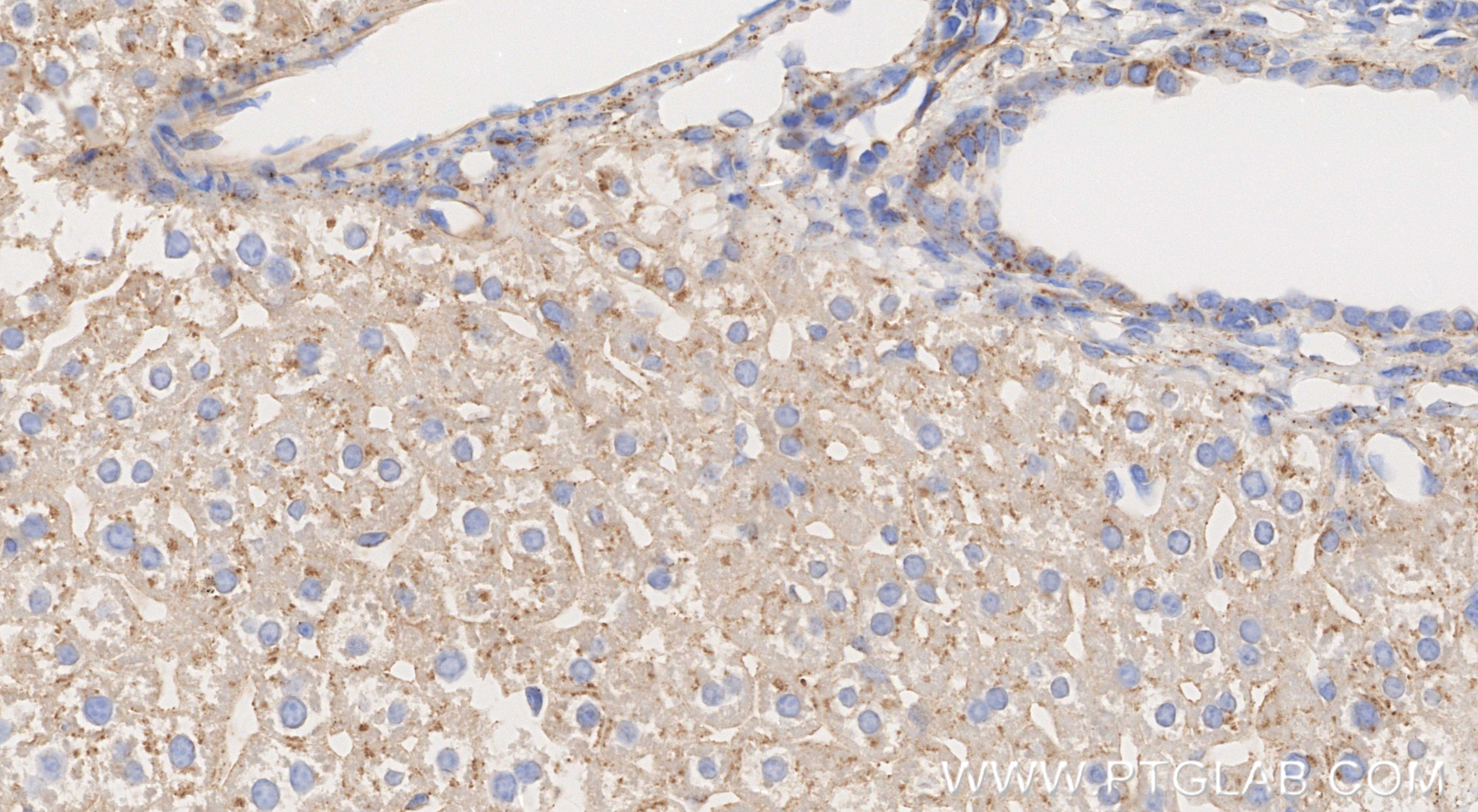
| Positive IHC detected in | mouse liver tissue Note: suggested antigen retrieval with TE buffer pH 9.0; (*) Alternatively, antigen retrieval may be performed with citrate buffer pH 6.0 |
推荐稀释比
| 应用 | 推荐稀释比 |
|---|---|
| Western Blot (WB) | WB : 1:5000-1:50000 |
| Immunohistochemistry (IHC) | IHC : 1:500-1:2000 |
| It is recommended that this reagent should be titrated in each testing system to obtain optimal results. | |
| Sample-dependent, Check data in validation data gallery. | |
产品信息
86029-1-RR targets Serpinc1 in WB, IHC, ELISA applications and shows reactivity with mouse, rat samples.
| 经测试应用 | WB, IHC, ELISA Application Description |
| 经测试反应性 | mouse, rat |
| 免疫原 |
CatNo: Eg2949 Product name: Recombinant Mouse Serpinc1 protein (rFc Tag) Source: mammalian cells-derived, V37 Tag: C-rFc Domain: 33-465 aa of NM_080844.4 Sequence: HGNPVDDICIAKPRDIPVNPLCIYRSPGKKATEEDGSEQKVPEATNRRVWELSKANSRFATNFYQHLADSKNDNDNIFLSPLSISTAFAMTKLGACNDTLKQLMEVFKFDTISEKTSDQIHFFFAKLNCRLYRKANKSSDLVSANRLFGDKSLTFNESYQDVSEVVYGAKLQPLDFKENPEQSRVTINNWVANKTEGRIKDVIPQGAINELTALVLVNTIYFKGLWKSKFSPENTRKEPFYKVDGQSCPVPMMYQEGKFKYRRVAEGTQVLELPFKGDDITMVLILPKPEKSLAKVEQELTPELLQEWLDELSETMLVVHMPRFRTEDGFSLKEQLQDMGLIDLFSPEKSQLPGIVAGGRDDLYVSDAFHKAFLEVNEEGSEAAASTSVVITGRSLNPNRVTFKANRPFLVLIREVALNTIIFMGRVANPCVN 种属同源性预测 |
| 宿主/亚型 | Rabbit / IgG |
| 抗体类别 | Recombinant |
| 产品类型 | Antibody |
| 全称 | serine (or cysteine) peptidase inhibitor, clade C (antithrombin), member 1 |
| 别名 | Antithrombin-III, At3, ATIII, Serpin C1 |
| 计算分子量 | 52 kDa |
| 观测分子量 | 52 kDa |
| GenBank蛋白编号 | NM_080844.4 |
| 基因名称 | Serpinc1 |
| Gene ID (NCBI) | 11905 |
| 偶联类型 | Unconjugated |
| 形式 | Liquid |
| 纯化方式 | Protein A purification |
| UNIPROT ID | P32261 |
| 储存缓冲液 | PBS with 0.02% sodium azide and 50% glycerol, pH 7.3. |
| 储存条件 | Store at -20°C. Stable for one year after shipment. Aliquoting is unnecessary for -20oC storage. |
背景介绍
SERPINC1 is a gene encoding antithrombin, also known as antithrombin III. The main function of antithrombin is to inhibit coagulation proteases such as thrombin and factor Xa, thereby preventing excessive coagulation and maintaining normal hemostasis and blood flow. Mutations in the SERPINC1 gene can lead to antithrombin deficiency (ATD), which is an autosomal dominant genetic disorder. The expression profile/molecular weight observed is consistent with what has been described in the literature (PMID: 3609301, PMID: 25485983, PMID: 35935621).
实验方案
| Product Specific Protocols | |
|---|---|
| IHC protocol for Serpinc1 antibody 86029-1-RR | Download protocol |
| WB protocol for Serpinc1 antibody 86029-1-RR | Download protocol |
| Standard Protocols | |
|---|---|
| Click here to view our Standard Protocols |


