验证数据展示
经过测试的应用
| Positive WB detected in | human peripheral blood leukocyte |
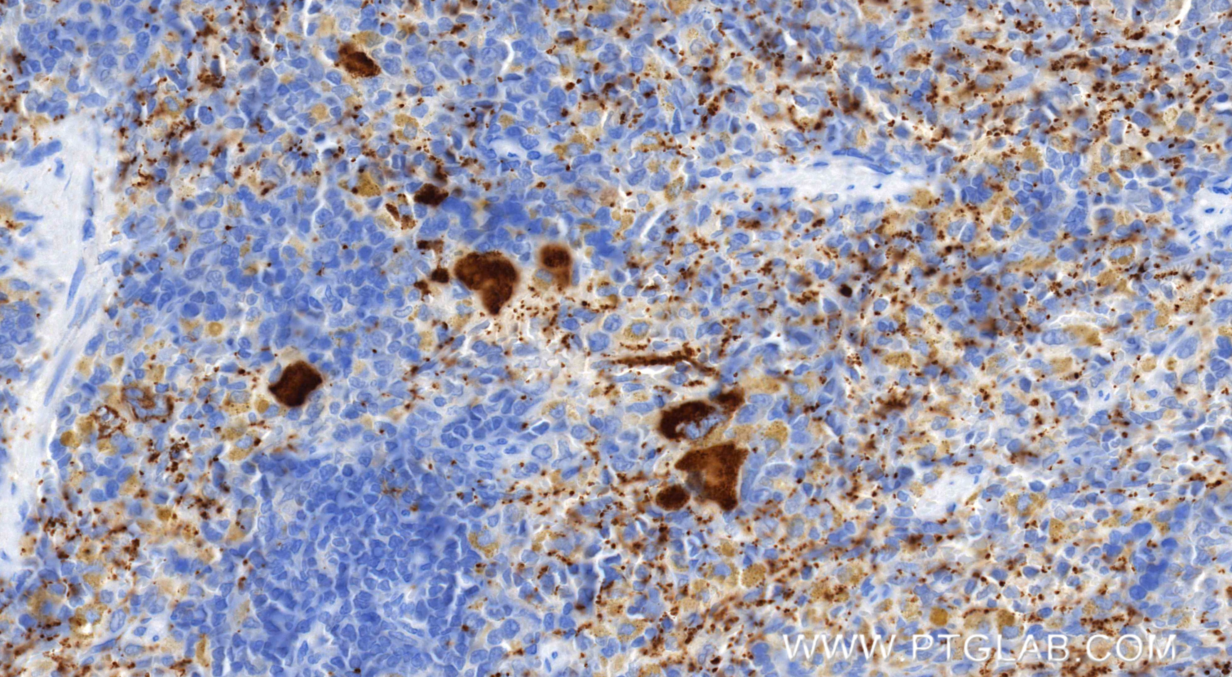
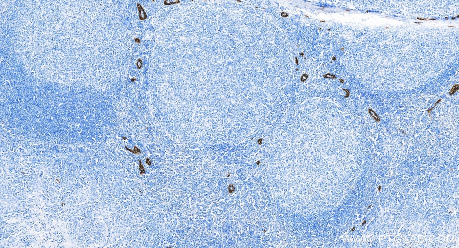
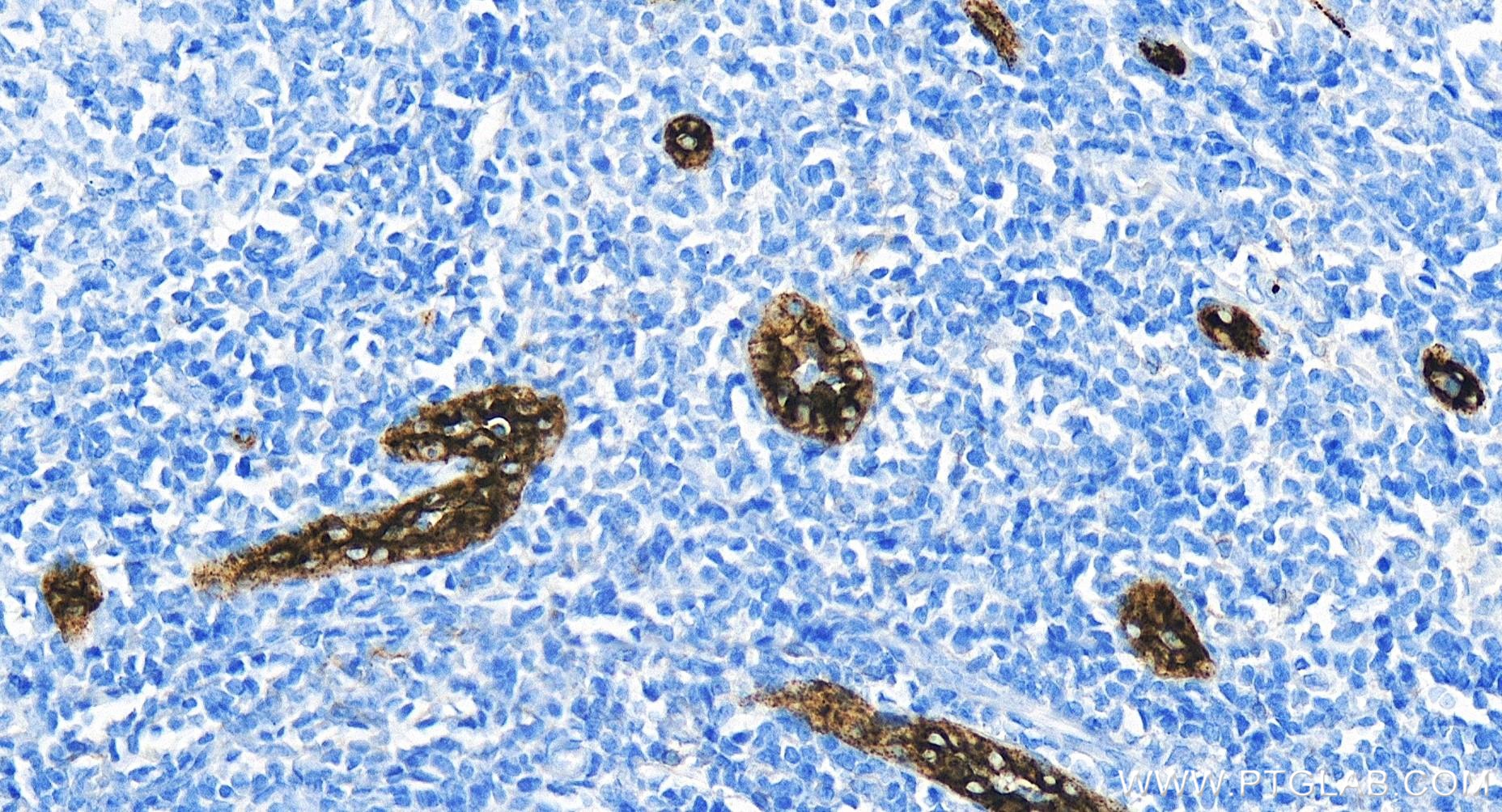
| Positive IHC detected in | human tonsillitis tissue, mouse spleen tissue, rat spleen tissue Note: suggested antigen retrieval with TE buffer pH 9.0; (*) Alternatively, antigen retrieval may be performed with citrate buffer pH 6.0 |
| Positive IF-P detected in | human tonsillitis tissue |
推荐稀释比
| 应用 | 推荐稀释比 |
|---|---|
| Western Blot (WB) | WB : 1:5000-1:50000 |
| Immunohistochemistry (IHC) | IHC : 1:400-1:1600 |
| Immunofluorescence (IF)-P | IF-P : 1:250-1:1000 |
| It is recommended that this reagent should be titrated in each testing system to obtain optimal results. | |
| Sample-dependent, Check data in validation data gallery. | |
产品信息
83947-5-RR targets P-Selectin/CD62P in WB, IHC, IF-P, ELISA applications and shows reactivity with human, mouse, rat samples.
| 经测试应用 | WB, IHC, IF-P, ELISA Application Description |
| 经测试反应性 | human, mouse, rat |
| 免疫原 |
CatNo: Eg0691 Product name: Recombinant Mouse Selp/P-selectin protein (His Tag) Source: mammalian cells-derived, pHZ-KIsec-C-6*HIS Tag: C-6*HIS Domain: 42-709 aa of NM_011347.2 Sequence: WTYNYSTKAYSWNNSRVFCRRHFTDLVAIQNKNEIAHLNDVIPFFNSYYWIGIRKINNKWTWVGTNKTLTEEAENWADNEPNNKKNNQDCVEIYIKSNSAPGKWNDEPCFKRKRALCYTASCQDMSCSNQGECIETIGSYTCSCYPGFYGPECEYVKECGKVNIPQHVLMNCSHPLGEFSFNSQCTFSCAEGYELDGPGELQCLASGIWTNNPPKCDAVQCQSLEAPPHGTMACMHPIAAFAYDSSCKFECQPGYRARGSNTLHCTGSGQWSEPLPTCEAIACEPPEIPIHGSMDCVPSTGTFGYNSSCTFLCAEGFVLKGNDAIQCADSGQWTAPAPFCEALQCPEFPVPSKAQVNCSDPFGTLTYQSVCSFSCDEGSLLVGASVIRCLATGHWNGAPPECQAVSCAPMLSPENGSMTCVQPLGNSTYKSTCQFMCDEGFYLSGPERLDCSPSGHWTGTPPTCEAIKCPGIFAPEQGNLDCSHVHGEFGVGSICHFSCNEDFELLGSENVECTVSGRWSAPPPTCKGITSLPAPAVRCPALTTPGQGTMSCQHHLGSFGPNTTCYFGCKTGFTLRGANSLRCRASGQWTAVTPMCRAVKCSELHMDTAVAMNCSNPWGNFSYGSTCTFQCPEGQSLNGSVRATCREDGHWSDAMPTCQAGTLTIQEA 种属同源性预测 |
| 宿主/亚型 | Rabbit / IgG |
| 抗体类别 | Recombinant |
| 产品类型 | Antibody |
| 全称 | selectin, platelet |
| 别名 | CD62P, P-selectin, 240766D3, Grmp, P selectin |
| 计算分子量 | 83 kDa |
| 观测分子量 | 140 kDa |
| GenBank蛋白编号 | NM_011347.2 |
| 基因名称 | Selp |
| Gene ID (NCBI) | 20344 |
| RRID | AB_3671527 |
| 偶联类型 | Unconjugated |
| 形式 | Liquid |
| 纯化方式 | Protein A purfication |
| UNIPROT ID | Q01102 |
| 储存缓冲液 | PBS with 0.02% sodium azide and 50% glycerol, pH 7.3. |
| 储存条件 | Store at -20°C. Stable for one year after shipment. Aliquoting is unnecessary for -20oC storage. |
背景介绍
P-selectin, also known as GMP140 or CD62P, is a transmembrane glycoprotein that mediates the interaction of activated endothelial cells or platelets with leukocytes. It is an adhesion molecule involved in the pathogenesis of inflammation, thrombosis, and oncogenesis. P-selectin is stored in the alpha-granules of platelets and Weibel-Palade bodies of endothelial cells. Upon cell activation by agonists, P-selectin is transported rapidly to the cell surface.
实验方案
| Product Specific Protocols | |
|---|---|
| IF protocol for P-Selectin/CD62P antibody 83947-5-RR | Download protocol |
| IHC protocol for P-Selectin/CD62P antibody 83947-5-RR | Download protocol |
| WB protocol for P-Selectin/CD62P antibody 83947-5-RR | Download protocol |
| Standard Protocols | |
|---|---|
| Click here to view our Standard Protocols |











