验证数据展示
经过测试的应用
| Positive WB detected in | HuH-7 cells, SMMC-7721 cells, human placenta tissue |
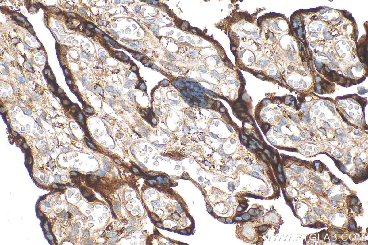
| Positive IHC detected in | human placenta tissue Note: suggested antigen retrieval with TE buffer pH 9.0; (*) Alternatively, antigen retrieval may be performed with citrate buffer pH 6.0 |
推荐稀释比
| 应用 | 推荐稀释比 |
|---|---|
| Western Blot (WB) | WB : 1:500-1:1000 |
| Immunohistochemistry (IHC) | IHC : 1:500-1:2000 |
| It is recommended that this reagent should be titrated in each testing system to obtain optimal results. | |
| Sample-dependent, Check data in validation data gallery. | |
产品信息
31030-1-AP targets SVEP1 in WB, IHC, ELISA applications and shows reactivity with human samples.
| 经测试应用 | WB, IHC, ELISA Application Description |
| 经测试反应性 | human |
| 免疫原 |
CatNo: Ag34316 Product name: Recombinant human SVEP1 protein Source: e coli.-derived, PGEX-4T Tag: GST Domain: 736-900 aa of NM_153366 Sequence: GDFICTPDNTGVNCTLTCLEGYDFTEGSTDKYYCAYEDGVWKPTYTTEWPDCAKKRFANHGFKSFEMFYKAARCDDTDLMKKFSEAFETTLGKMVPSFCSDAEDIDCRLEENLTKKYCLEYNYDYENGFAIGPGGWGAANRLDYSYDDFLDTVQETATSIGNAKS 种属同源性预测 |
| 宿主/亚型 | Rabbit / IgG |
| 抗体类别 | Polyclonal |
| 产品类型 | Antibody |
| 全称 | sushi, von Willebrand factor type A, EGF and pentraxin domain containing 1 |
| 别名 | C9orf13, CCP22, POLYDOM, SEL OB, SELOB |
| 计算分子量 | 390 kDa |
| 观测分子量 | 460 kDa |
| GenBank蛋白编号 | NM_153366 |
| 基因名称 | SVEP1 |
| Gene ID (NCBI) | 79987 |
| 偶联类型 | Unconjugated |
| 形式 | Liquid |
| 纯化方式 | Antigen affinity Purification |
| UNIPROT ID | Q4LDE5 |
| 储存缓冲液 | PBS with 0.02% sodium azide and 50% glycerol, pH 7.3. |
| 储存条件 | Store at -20°C. Stable for one year after shipment. Aliquoting is unnecessary for -20oC storage. |
背景介绍
SVEP1 (C9orf13), which is predicted to be located in the cell membrane, nucleus and cytoplasm. The protein is expressed in the whole epidermis, especially in the basal layer of epidermis, the upper and lower layers of basal layer and dermal fibroblasts in the upper dermis (PMID:27892606). At the same time, it is highly expressed in placenta, lung, adrenal gland and cerebellum, but weakly expressed in heart and skeletal muscle (PMID:11062057, PMID:27892606). The molecular weight of SVEP1 is 390 kDa. At the same time, it also has several isomers of 96kDa, 163kDa and 170kDa, and there are also glycosylation modifications. It is reported that the molecular weight is 460 kDa (PMID: 32371982). The protein may plays a role in initial cell attachment of stromal osteogenic cells.
实验方案
| Product Specific Protocols | |
|---|---|
| IHC protocol for SVEP1 antibody 31030-1-AP | Download protocol |
| WB protocol for SVEP1 antibody 31030-1-AP | Download protocol |
| Standard Protocols | |
|---|---|
| Click here to view our Standard Protocols |


