验证数据展示
经过测试的应用
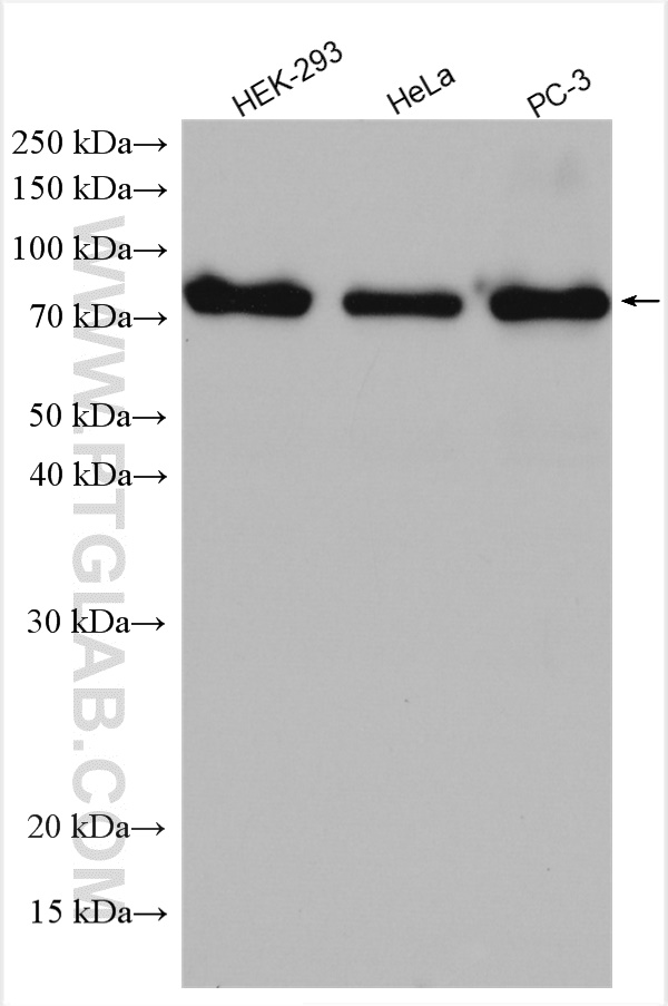
| Positive WB detected in | HEK-293 cells, PC-3 cells, HeLa cells |
| Positive IP detected in | HeLa cells |
| Positive IHC detected in | human stomach cancer tissue Note: suggested antigen retrieval with TE buffer pH 9.0; (*) Alternatively, antigen retrieval may be performed with citrate buffer pH 6.0 |
| Positive IF/ICC detected in | HeLa cells |
推荐稀释比
| 应用 | 推荐稀释比 |
|---|---|
| Western Blot (WB) | WB : 1:2000-1:10000 |
| Immunoprecipitation (IP) | IP : 0.5-4.0 ug for 1.0-3.0 mg of total protein lysate |
| Immunohistochemistry (IHC) | IHC : 1:250-1:1000 |
| Immunofluorescence (IF)/ICC | IF/ICC : 1:50-1:500 |
| It is recommended that this reagent should be titrated in each testing system to obtain optimal results. | |
| Sample-dependent, Check data in validation data gallery. | |
发表文章中的应用
| WB | See 2 publications below |
| IF | See 1 publications below |
产品信息
12826-1-AP targets SUPV3L1 in WB, IHC, IF/ICC, IP, ELISA applications and shows reactivity with human, mouse, rat samples.
| 经测试应用 | WB, IHC, IF/ICC, IP, ELISA Application Description |
| 文献引用应用 | WB, IF |
| 经测试反应性 | human, mouse, rat |
| 文献引用反应性 | human |
| 免疫原 |
CatNo: Ag3542 Product name: Recombinant human SUPV3L1 protein Source: e coli.-derived, PGEX-4T Tag: GST Domain: 441-786 aa of BC036112 Sequence: YSLIKPSINEKGERELEPITTSQALQIAGRAGRFSSRFKEGEVTTMNHEDLSLLKEILKRPVDPIRAAGLHPTAEQIEMFAYHLPDATLSNLIDIFVDFSQVDGQYFVCNMDDFKFSAELIQHIPLSLRVRYVFCTAPINKKQPFVCSSLLQFARQYSRNEPLTFAWLRRYIKWPLLPPKNIKDLMDLEAVHDVLDLYLWLSYRFMDMFPDASLIRDLQKELDGIIQDGVHNITKLIKMSETHKLLNLEGFPSGSQSRLSGTLKSQARRTRGTKALGSKATEPPSPDAGELSLASRLVQQGLLTPDMLKQLEKEWMTQQTEHNKEKTESGTHPKGTRRKKKEPDSD 种属同源性预测 |
| 宿主/亚型 | Rabbit / IgG |
| 抗体类别 | Polyclonal |
| 产品类型 | Antibody |
| 全称 | suppressor of var1, 3-like 1 (S. cerevisiae) |
| 别名 | SUV3-like protein 1, SUV3 like protein 1, SUV3, Suppressor of var1 3-like protein 1, EC:3.6.4.13 |
| 计算分子量 | 786 aa, 88 kDa |
| 观测分子量 | 70-80 kDa |
| GenBank蛋白编号 | BC036112 |
| 基因名称 | SUPV3L1 |
| Gene ID (NCBI) | 6832 |
| RRID | AB_2877885 |
| 偶联类型 | Unconjugated |
| 形式 | Liquid |
| 纯化方式 | Antigen affinity purification |
| UNIPROT ID | Q8IYB8 |
| 储存缓冲液 | PBS with 0.02% sodium azide and 50% glycerol, pH 7.3. |
| 储存条件 | Store at -20°C. Stable for one year after shipment. Aliquoting is unnecessary for -20oC storage. |
背景介绍
SUPV3L1 is a major helicase player in mitochondrial RNA metabolism. It is involved in the degradation of non-coding mitochondrial transcripts (MT-ncRNA) and tRNA-like molecules (PMID: 29967381).
实验方案
| Product Specific Protocols | |
|---|---|
| IF protocol for SUPV3L1 antibody 12826-1-AP | Download protocol |
| IHC protocol for SUPV3L1 antibody 12826-1-AP | Download protocol |
| IP protocol for SUPV3L1 antibody 12826-1-AP | Download protocol |
| WB protocol for SUPV3L1 antibody 12826-1-AP | Download protocol |
| Standard Protocols | |
|---|---|
| Click here to view our Standard Protocols |
发表文章
| Species | Application | Title |
|---|---|---|
J Inherit Metab Dis Mitochondrial RNA processing defect caused by a SUPV3L1 mutation in two siblings with a novel neurodegenerative syndrome. | ||
Biochimie Cathepsin D inhibition during neuronal differentiation selectively affects individual proteins instead of overall protein turnover | ||









