验证数据展示
经过测试的应用
| Positive WB detected in | HT-29 cells, Caco-2 cells, COLO 320 cells, HepG2 cells, HuH-7 cells, MCF-7 cells |
| Positive IP detected in | COLO 320 cells |
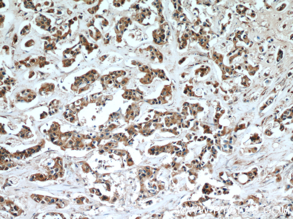
| Positive IHC detected in | human hepatocirrhosis tissue, human breast cancer tissue Note: suggested antigen retrieval with TE buffer pH 9.0; (*) Alternatively, antigen retrieval may be performed with citrate buffer pH 6.0 |
推荐稀释比
| 应用 | 推荐稀释比 |
|---|---|
| Western Blot (WB) | WB : 1:1000-1:4000 |
| Immunoprecipitation (IP) | IP : 0.5-4.0 ug for 1.0-3.0 mg of total protein lysate |
| Immunohistochemistry (IHC) | IHC : 1:20-1:200 |
| It is recommended that this reagent should be titrated in each testing system to obtain optimal results. | |
| Sample-dependent, Check data in validation data gallery. | |
发表文章中的应用
| WB | See 1 publications below |
| IHC | See 1 publications below |
产品信息
19499-1-AP targets SULT1A3 in WB, IHC, IP, ELISA applications and shows reactivity with human samples.
| 经测试应用 | WB, IHC, IP, ELISA Application Description |
| 文献引用应用 | WB, IHC |
| 经测试反应性 | human |
| 文献引用反应性 | human |
| 免疫原 |
Peptide 种属同源性预测 |
| 宿主/亚型 | Rabbit / IgG |
| 抗体类别 | Polyclonal |
| 产品类型 | Antibody |
| 全称 | sulfotransferase family, cytosolic, 1A, phenol-preferring, member 3 |
| 别名 | Sulfotransferase 1A3/1A4, SULT1 A3, SULT1A 3, SULT1A4 |
| 计算分子量 | 34 kDa |
| 观测分子量 | 30-34 kDa |
| GenBank蛋白编号 | NM_177552 |
| 基因名称 | SULT1A3 |
| Gene ID (NCBI) | 6818 |
| RRID | AB_10642560 |
| 偶联类型 | Unconjugated |
| 形式 | Liquid |
| 纯化方式 | Antigen affinity purification |
| UNIPROT ID | P0DMM9 |
| 储存缓冲液 | PBS with 0.02% sodium azide and 50% glycerol, pH 7.3. |
| 储存条件 | Store at -20°C. Stable for one year after shipment. Aliquoting is unnecessary for -20oC storage. |
背景介绍
SULT1A3, also named as STM and SULT1A4, belongs to the sulfotransferase 1 family. SULT1A3 catalyzes the sulfate conjugation of phenolic monoamines (neurotransmitters such as dopamine, norepinephrine and serotonin) and phenolic and catechol drugs.
实验方案
| Product Specific Protocols | |
|---|---|
| IHC protocol for SULT1A3 antibody 19499-1-AP | Download protocol |
| IP protocol for SULT1A3 antibody 19499-1-AP | Download protocol |
| WB protocol for SULT1A3 antibody 19499-1-AP | Download protocol |
| Standard Protocols | |
|---|---|
| Click here to view our Standard Protocols |
发表文章
| Species | Application | Title |
|---|---|---|
Cancer Lett Expression of sulfotransferases and sulfatases in human breast cancer: impact on resveratrol metabolism. | ||
Nat Metab Altered propionate metabolism contributes to tumour progression and aggressiveness. |













